Skip to main content

Granzyme B Antibody - BSA Free

Novus Biologicals, part of Bio-Techne | Catalog # NBP2-59678

Novus Biologicals, part of Bio-Techne

Key Product Details

Species Reactivity

Human

Applications

Immunohistochemistry, Immunohistochemistry-Paraffin, Western Blot, Flow Cytometry

Label

Unconjugated

Antibody Source

Polyclonal Rabbit IgG

Format

BSA Free

Concentration

1.0 mg/ml

Product Specifications

Immunogen

Partial recombinant protein made to the human Granzyme B protein (amino acids 19-247) [UniProt P10144]

Clonality

Polyclonal

Host

Rabbit

Isotype

IgG

Description

Novus Biologicals Rabbit Granzyme B Antibody - BSA Free (NBP2-59678) is a polyclonal antibody validated for use in IHC, WB and Flow. All Novus Biologicals antibodies are covered by our 100% guarantee.

Scientific Data Images for Granzyme B Antibody - BSA Free

Western Blot: Granzyme B AntibodyBSA Free [NBP2-59678]

Western Blot: Granzyme B AntibodyBSA Free [NBP2-59678]

Western Blot: Granzyme B Antibody [NBP2-59678] - Total protein from human spleen was separated on a 7.5% gel by SDS-PAGE, transferred to PVDF membrane and blocked in 5% non-fat milk in TBST. The membrane was probed with 1.0 ug/ml anti-Granzyme B in 1% non-fat milk in TBST and detected with an anti-rabbit HRP secondary antibody using chemiluminescence.
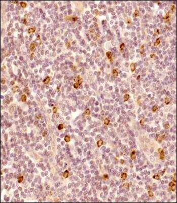
Immunohistochemistry-Paraffin: Granzyme B Antibody - BSA Free [NBP2-59678]

Immunohistochemistry-Paraffin: Granzyme B Antibody - BSA Free [NBP2-59678]

Immunohistochemistry-Paraffin: Granzyme B Antibody [NBP2-59678] - IHC analysis of a formalin fixed and paraffin embedded tissue section of human tonsil (NBP2-30207) using Granzyme B antibody at 1:500 dilution. The primary antibody bound to antigens was detected using HRP conjugated secondary antibody which followed staining with DAB and counterstained with hematoxylin. The antibody generated a specific punctate staining pattern in the cytoplasm of a subset of cells (apparently cytotoxic lymphocytes) in the tested tonsil tissue.
Flow Cytometry: Granzyme B Antibody - BSA Free [NBP2-59678]

Flow Cytometry: Granzyme B Antibody - BSA Free [NBP2-59678]

Flow Cytometry: Granzyme B Antibody [NBP2-59678] - An intracellular stain was performed on U937 cells with NBP2-59678 (blue) and a matched isotype control (orange). Cells were fixed with 4% PFA and then permeabilized with 0.1% saponin. Cells were incubated in an antibody dilution of 5.0 ug/mL for 30 minutes at room temperature, followed by Rabbit IgG (H+L) Cross-Adsorbed Secondary Antibody.

Applications for Granzyme B Antibody - BSA Free

Application
Recommended Usage

Flow Cytometry

1-5 ug/ml

Immunohistochemistry

1:500

Immunohistochemistry-Paraffin

1:500

Western Blot

0.5 - 1.0 ug/ml

Formulation, Preparation, and Storage

Purification

Immunogen affinity purified

Formulation

PBS

Format

BSA Free

Preservative

0.02% Sodium Azide

Concentration

1.0 mg/ml

Shipping

The product is shipped with polar packs. Upon receipt, store it immediately at the temperature recommended below.

Stability & Storage

Store at 4C short term. Aliquot and store at -20C long term. Avoid freeze-thaw cycles.

Background: Granzyme B

Granzyme B is a serine protease that is expressed in cytoplasmic granules of cytotoxic T lymphocytes and NK cells. Vectorial secretion of perforin and granzymes is responsible for their granule-mediated cytotoxicity. Granzyme B plays a pivotal role in the induction of apoptosis in the target cells by activation of caspases. Moreover, granzyme B was reported to cleave directly alpha-tubulin, leading to perturbation of microtubule networks during the induced cell death.

Alternate Names

CGL-1, CGL1, CSPB, CTLA-1, CTLA1, CTSGL1, Fragmentin-2, Granzyme-2, GRB, GrzB, GZMB, HLP, SECT

Gene Symbol

GZMB

Additional Granzyme B Products

Product Documents for Granzyme B Antibody - BSA Free

Certificate of Analysis

To download a Certificate of Analysis, please enter a lot number in the search box below.

Product Specific Notices for Granzyme B Antibody - BSA Free

This product is for research use only and is not approved for use in humans or in clinical diagnosis. Primary Antibodies are guaranteed for 1 year from date of receipt.

Loading...
Loading...
Loading...
Loading...
Loading...