Skip to main content

Granzyme B Antibody (GZMB/6530R) - Azide and BSA Free

Novus Biologicals, part of Bio-Techne | Catalog # NBP3-49657

Recombinant Monoclonal Antibody
Novus Biologicals, part of Bio-Techne
Catalog #
Availability
Size / Price
Qty
Loading...
NBP3-49657

Key Product Details

Species Reactivity

Human

Applications

Immunohistochemistry

Label

Unconjugated

Antibody Source

Recombinant Monoclonal Rabbit IgG Kappa Clone # GZMB/6530R

Format

Azide and BSA Free

Concentration

Please see the vial label for concentration. If unlisted please contact technical services.

Product Specifications

Immunogen

Recombinant fragment of human GZMB protein (around aa 73-187) (exact sequence is proprietary) (Uniprot: P10144)

Localization

Cytolytic granule, Secreted

Clonality

Monoclonal

Host

Rabbit

Isotype

IgG Kappa

Description

Prepared in 10mM PBS WITHOUT BSA & azide at 1.0mg/ml. Also available with 0.05% BSA & 0.05% azide.

Antibody with azide - store at 2 to 8 C. Antibody without azide - store at -20 to -80 C. Antibody is stable for 24 months. Non-hazardous.

Scientific Data Images for Granzyme B Antibody (GZMB/6530R) - Azide and BSA Free

Granzyme B Antibody (GZMB/6530R) - Azide and BSA Free

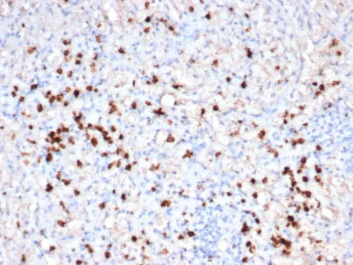
Immunohistochemistry-Paraffin: Granzyme B Antibody (GZMB/6530R) - Azide and BSA Free [NBP3-49657] -

Formalin-fixed, paraffin-embedded human tonsil stained with Granzyme B Antibody (GZMB/6530R) - Azide and BSA Free.
Granzyme B Antibody (GZMB/6530R) - Azide and BSA Free

Immunohistochemistry-Paraffin: Granzyme B Antibody (GZMB/6530R) - Azide and BSA Free [NBP3-49657] -

Formalin-fixed, paraffin-embedded human spleen stained with Granzyme B Antibody (GZMB/6530R) - Azide and BSA Free.

Applications for Granzyme B Antibody (GZMB/6530R) - Azide and BSA Free

Application
Recommended Usage

Immunohistochemistry

Optimal dilutions of this antibody should be experimentally determined.

Formulation, Preparation, and Storage

Purification

Protein A or G purified

Formulation

10 mM PBS

Format

Azide and BSA Free

Preservative

No Preservative

Concentration

Please see the vial label for concentration. If unlisted please contact technical services.

Shipping

The product is shipped with polar packs. Upon receipt, store it immediately at the temperature recommended below.

Stability & Storage

Store at -20 to -80C. Avoid freeze-thaw cycles.

Background: Granzyme B

Granzyme family serine proteases are stored in the granules of cytotoxic T lymphocytes and natural killer cells. Granzymes contain one S1 protease domain and are synthesized as preproproteins. Granzymes are released toward pathogen infected or transformed target cells during cellular immune reactions. Target cell entry by granzymes is through perforin channels. Granzymes trigger apoptosis by caspase-dependent and -independent mechanisms. There are five granzymes (A, B, G, H and K) in human and many more in mouse and rat.

Alternate Names

CGL-1, CGL1, CSPB, CTLA-1, CTLA1, CTSGL1, Fragmentin-2, Granzyme-2, GRB, GrzB, GZMB, HLP, SECT

Gene Symbol

GZMB

Additional Granzyme B Products

Product Documents for Granzyme B Antibody (GZMB/6530R) - Azide and BSA Free

Certificate of Analysis

To download a Certificate of Analysis, please enter a lot number in the search box below.

Product Specific Notices for Granzyme B Antibody (GZMB/6530R) - Azide and BSA Free

This product is for research use only and is not approved for use in humans or in clinical diagnosis. Primary Antibodies are guaranteed for 1 year from date of receipt.

Loading...
Loading...
Loading...
Loading...