Skip to main content

GRAMD1A Antibody - BSA Free

Novus Biologicals, part of Bio-Techne | Catalog # NBP1-93730

Novus Biologicals, part of Bio-Techne
Catalog #
Availability
Size / Price
Qty
Loading...
NBP1-93730-25ul
NBP1-93730

Key Product Details

Validated by

Orthogonal Validation

Species Reactivity

Validated:

Human

Cited:

Human

Predicted:

Mouse (96%), Rat (97%). Backed by our 100% Guarantee.

Applications

Validated:

Immunohistochemistry, Immunohistochemistry-Paraffin, Western Blot

Cited:

Western Blot

Label

Unconjugated

Antibody Source

Polyclonal Rabbit IgG

Format

BSA Free

Concentration

Concentrations vary lot to lot. See vial label for concentration. If unlisted please contact technical services.

Product Specifications

Immunogen

This antibody was developed against Recombinant Protein corresponding to amino acids: SSTGEEADLAALLPDLSGRLLINSVFHVGAERLQQMLFSDSPFLQGFLQQCKFTDVTLSPWSGDSKCHQRRVLTYTIPISNPLGPKSASVVETQTLFRRGPQAGGCVVDSEVLTQGIPYQDYFYTAHRY

Clonality

Polyclonal

Host

Rabbit

Isotype

IgG

Scientific Data Images for GRAMD1A Antibody - BSA Free

Western Blot: GRAMD1A Antibody [NBP1-93730]

Western Blot: GRAMD1A Antibody [NBP1-93730]

Western Blot: GRAMD1A Antibody [NBP1-93730] - Analysis in human cell lines A-549 and MCF-7 using anti-GRAMD1A antibody. Corresponding GRAMD1A RNA-seq data are presented for the same cell lines. Loading control: anti-HSP90B1.
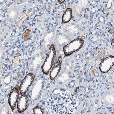
Immunohistochemistry-Paraffin: GRAMD1A Antibody [NBP1-93730]

Immunohistochemistry-Paraffin: GRAMD1A Antibody [NBP1-93730]

Immunohistochemistry-Paraffin: GRAMD1A Antibody [NBP1-93730] - Staining of human kidney shows strong cytoplasmic positivity in cells in tubules.
GRAMD1A Antibody - BSA Free

Western Blot: GRAMD1A Antibody - BSA Free [NBP1-93730] -

Functional Characterization of GRAMD1A in WiT-49 Wilms Tumor Cells. (A) GRAMD1A expression levels in WiT-49 cells, demonstrating baseline expression prior to gene silencing. (B) Verification of GRAMD1A knockdown efficiency in WiT-49 cells transfected with GRAMD1A-specific siRNA (siGRAMD1A) or negative control siRNA (siNC). GRAMD1A mRNA levels were measured using RT-qPCR, while protein levels were assessed via Western blot analysis. (C) Colony formation assay showing the effects of GRAMD1A silencing on the proliferation capability of WiT-49 cells, highlighting reduced colony formation in GRAMD1A knockdown cells compared to siNC. (D) CCK-8 assay results depicting the effect of GRAMD1A knockdown on cell viability over time in WiT-49 cells. Cells transfected with siGRAMD1A exhibited significantly reduced viability compared to control cells, indicating GRAMD1A’s role in promoting cell proliferation. (E) Transwell migration and invasion assays used to assess the impact of GRAMD1A silencing on the migratory and invasive behavior of WiT-49 cells. GRAMD1A knockdown led to a marked reduction in both migration and invasion compared to the negative control group. These results collectively demonstrate the role of GRAMD1A in regulating the proliferation, migration, and invasion of WiT-49 cells, further supporting its potential as a therapeutic target in Wilms Tumor. (*p < 0.05, **p < 0.01, ***p < 0.001). Image collected and cropped by CiteAb from the following open publication (https://pubmed.ncbi.nlm.nih.gov/39659787), licensed under a CC-BY license. Not internally tested by Novus Biologicals.

Applications for GRAMD1A Antibody - BSA Free

Application
Recommended Usage

Immunohistochemistry

1:20 - 1:50

Immunohistochemistry-Paraffin

1:20 - 1:50

Western Blot

0.04-0.4 ug/ml
Application Notes
For IHC-Paraffin, HIER pH 6 retrieval is recommended.

Formulation, Preparation, and Storage

Purification

Affinity purified

Formulation

PBS (pH 7.2) and 40% Glycerol

Format

BSA Free

Preservative

0.02% Sodium Azide

Concentration

Concentrations vary lot to lot. See vial label for concentration. If unlisted please contact technical services.

Shipping

The product is shipped with polar packs. Upon receipt, store it immediately at the temperature recommended below.

Stability & Storage

Store at 4C short term. Aliquot and store at -20C long term. Avoid freeze-thaw cycles.

Background: GRAMD1A

Alternate Names

FLJ22411, FLJ90346, GRAM domain containing 1A, GRAM domain-containing protein 1A, KIAA1533

Gene Symbol

GRAMD1A

Additional GRAMD1A Products

Product Documents for GRAMD1A Antibody - BSA Free

Certificate of Analysis

To download a Certificate of Analysis, please enter a lot number in the search box below.

Product Specific Notices for GRAMD1A Antibody - BSA Free

This product is for research use only and is not approved for use in humans or in clinical diagnosis. Primary Antibodies are guaranteed for 1 year from date of receipt.

Loading...
Loading...
Loading...
Loading...