GPR97 Antibody (CL11474) - Azide and BSA Free
Novus Biologicals, part of Bio-Techne | Catalog # NBP3-44149
Conjugate
Catalog #
Forumulation
Catalog #
Key Product Details
Validated by
Orthogonal Validation
Species Reactivity
Human
Applications
Immunohistochemistry-Paraffin
Label
Unconjugated
Antibody Source
Monoclonal Mouse IgG1 Clone # CL11474
Format
Azide and BSA Free
Concentration
LYOPH mg/ml
Product Specifications
Immunogen
This antibody was generated using a recombinant protein sequence of Q86Y34, with the exact immunogen sequence remaining proprietary.
Clonality
Monoclonal
Host
Mouse
Isotype
IgG1
Scientific Data Images for GPR97 Antibody (CL11474) - Azide and BSA Free
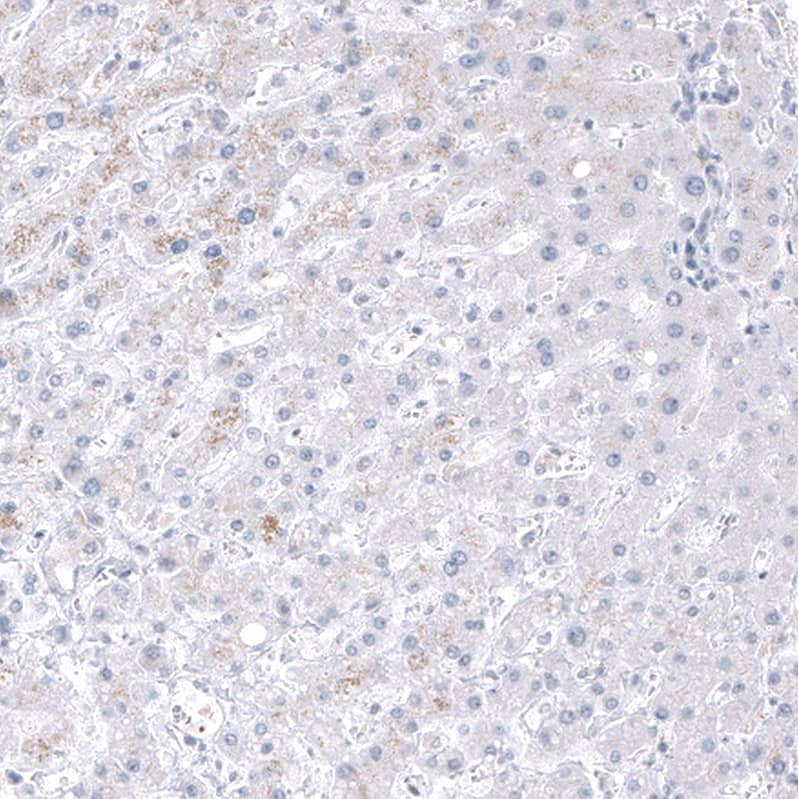
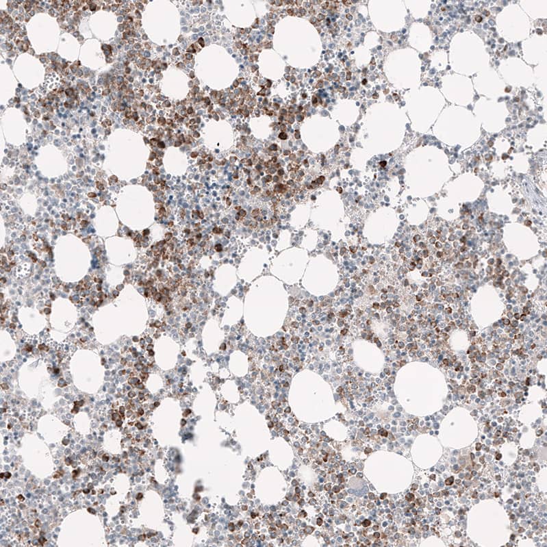
Immunohistochemistry-Paraffin: GPR97 Antibody [NBP3-44149]
Staining of human Bone marrow shows strong membranous positivity in hematopoietic cells.Immunohistochemistry-Paraffin: GPR97 Antibody [NBP3-44149]
Staining of human Liver shows no positivity in hepatocytes as expected.Applications for GPR97 Antibody (CL11474) - Azide and BSA Free
Application
Recommended Usage
Immunohistochemistry-Paraffin
1:200- 1:500
Application Notes
For IHC-Paraffin, HIER pH 6 retrieval is recommended.
Formulation, Preparation, and Storage
Purification
Protein A purified
Reconstitution
Centrifuge the vial of lyophilized antibody at 12,000 x g for 20 seconds. Reconstitute by adding sterile, distilled water to achieve a final antibody concentration of 1mg/ml.
Formulation
Lyophilized from a 0.2 um filtered solution in PBS with Trehalose
Format
Azide and BSA Free
Preservative
No Preservative
Concentration
LYOPH mg/ml
Shipping
The product is shipped at ambient temperature. Upon receipt, store it immediately at the temperature recommended below.
Stability & Storage
Store at 4C short term. Aliquot and store at -20C long term. Avoid freeze-thaw cycles.
Background: GPR97
Long Name
G Protein-coupled Receptor 97
Alternate Names
PB99, PGR26
Gene Symbol
ADGRG3
Additional GPR97 Products
Product Documents for GPR97 Antibody (CL11474) - Azide and BSA Free
Product Specific Notices for GPR97 Antibody (CL11474) - Azide and BSA Free
This product is for research use only and is not approved for use in humans or in clinical diagnosis. Primary Antibodies are guaranteed for 1 year from date of receipt.
Loading...
Loading...
Loading...
Loading...
Loading...