Skip to main content

GPR4 Antibody - BSA Free

Novus Biologicals, part of Bio-Techne | Catalog # NLS145

Novus Biologicals, part of Bio-Techne
Catalog #
Availability
Size / Price
Qty
Loading...
NLS145

Key Product Details

Species Reactivity

Validated:

Human, Canine, Monkey, Primate

Predicted:

Bat (95%), Bovine (95%), Mouse (95%), Rat (95%). Backed by our 100% Guarantee.

Applications

Immunocytochemistry/ Immunofluorescence, Immunohistochemistry, Immunohistochemistry-Paraffin

Label

Unconjugated

Antibody Source

Polyclonal Rabbit IgG

Format

BSA Free

Concentration

1.0 mg/ml

Product Specifications

Immunogen

Synthetic 19 amino acid peptide from C-terminus of human GPR4.

Epitope

C-Terminus

Reactivity Notes

Predicted cross-reactivity based on sequence identity: Gorilla (100%), Gibbon (100%), Rabbit (89%).

Specificity

Human GPR4. BLAST analysis of the peptide immunogen showed no homology with other human proteins.

Clonality

Polyclonal

Host

Rabbit

Isotype

IgG

Description

Product can be stored undiluted at 4C for up to 1 month.

Scientific Data Images for GPR4 Antibody - BSA Free

Immunocytochemistry/ Immunofluorescence: GPR4 Antibody - BSA Free [NLS145]

Immunocytochemistry/ Immunofluorescence: GPR4 Antibody - BSA Free [NLS145]

Immunocytochemistry/Immunofluorescence: GPR4 Antibody [NLS145] - Analysis of anti-GPR4 antibody with HEK293 human embryonic kidney cells transfected with GPR4.
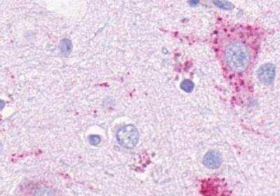
Immunohistochemistry-Paraffin: GPR4 Antibody - BSA Free [NLS145]

Immunohistochemistry-Paraffin: GPR4 Antibody - BSA Free [NLS145]

Immunohistochemistry-Paraffin: GPR4 Antibody [NLS145] - Brain Cortex Neurons and Glia
Immunocytochemistry/ Immunofluorescence: GPR4 Antibody - BSA Free [NLS145]

Immunocytochemistry/ Immunofluorescence: GPR4 Antibody - BSA Free [NLS145]

Immunocytochemistry/Immunofluorescence: GPR4 Antibody [NLS145] - Analysis of anti-GPR4 antibody with untransfected HEK293 human embryonic kidney cells.

Applications for GPR4 Antibody - BSA Free

Application
Recommended Usage

Immunohistochemistry-Paraffin

24 ug/ml
Application Notes
.

Formulation, Preparation, and Storage

Purification

Immunogen affinity purified

Formulation

PBS

Format

BSA Free

Preservative

0.1% Sodium Azide

Concentration

1.0 mg/ml

Shipping

The product is shipped with polar packs. Upon receipt, store it immediately at the temperature recommended below.

Stability & Storage

Keep as concentrated solution. Aliquot and store at -20C or below. Avoid multiple freeze-thaw cycles.

Background: GPR4

GPR4 is a Lysophospholipid/Lysosphingolipid receptor. Recently, GPR4 has been shown to act as a proton-sensing receptor stimulating inositol phosphate formation (Ludwig et al. 2003). GPR4 has been reported in kidney, heart, and especially lung, where it is at least five-fold greater than in other tissues (Mahadevan et al., 1995). ESTs have been isolated from brain, colon, kidney, lung, and melanocyte/uterus/fetal heart libraries.

Long Name

G Protein-coupled Receptor 4

Alternate Names

GPR19

Entrez Gene IDs

2828 (Human)

Gene Symbol

GPR4

UniProt

Additional GPR4 Products

Product Documents for GPR4 Antibody - BSA Free

Certificate of Analysis

To download a Certificate of Analysis, please enter a lot number in the search box below.

Product Specific Notices for GPR4 Antibody - BSA Free

This product is for research use only and is not approved for use in humans or in clinical diagnosis. Primary Antibodies are guaranteed for 1 year from date of receipt.

Loading...
Loading...
Loading...
Loading...