Skip to main content

gp96/HSP90B1/GRP94 Antibody (CL2647) - Azide and BSA Free

Novus Biologicals, part of Bio-Techne | Catalog # NBP3-44433

Novus Biologicals, part of Bio-Techne

Key Product Details

Validated by

Knockout/Knockdown, Orthogonal Validation

Species Reactivity

Human

Applications

Immunohistochemistry-Paraffin, Western Blot, Immunocytochemistry/ Immunofluorescence

Label

Unconjugated

Antibody Source

Monoclonal Mouse IgG2B Clone # CL2647

Format

Azide and BSA Free

Concentration

LYOPH mg/ml

Product Specifications

Immunogen

This antibody was generated using a recombinant protein sequence of P14625, with the exact immunogen sequence remaining proprietary.

Clonality

Monoclonal

Host

Mouse

Isotype

IgG2B

Description

Novus Biologicals Mouse gp96/HSP90B1/GRP94 Antibody (CL2647) - Azide and BSA Free (NBP2-42379) is a monoclonal antibody validated for use in IHC, WB and ICC/IF. All Novus Biologicals antibodies are covered by our 100% guarantee.

Scientific Data Images for gp96/HSP90B1/GRP94 Antibody (CL2647) - Azide and BSA Free

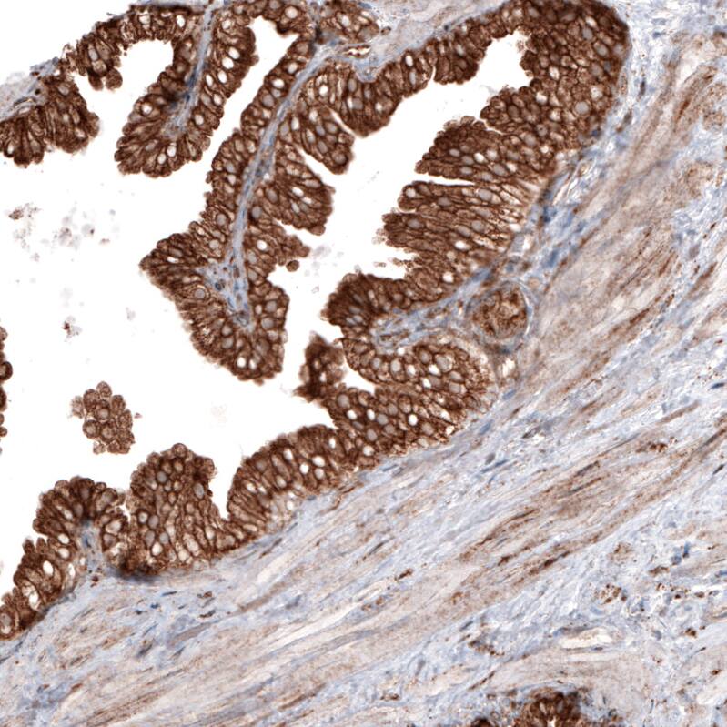
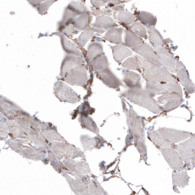
gp96/HSP90B1/GRP94 Antibody (CL2647) - Azide and BSA Free Immunohistochemistry-Paraffin: gp96/HSP90B1/GRP94 Antibody [NBP3-44433]

Immunohistochemistry-Paraffin: gp96/HSP90B1/GRP94 Antibody [NBP3-44433]

Analysis in human prostate and skeletal muscle tissues using NBP3-44433 antibody. Corresponding gp96/HSP90B1/GRP94 RNA-seq data are presented for the same tissues.
gp96/HSP90B1/GRP94 Antibody (CL2647) - Azide and BSA Free Immunocytochemistry/ Immunofluorescence: gp96/HSP90B1/GRP94 Antibody [NBP3-44433]

Immunocytochemistry/ Immunofluorescence: gp96/HSP90B1/GRP94 Antibody [NBP3-44433]

Staining in U2OS cell line with Anti-gp96/HSP90B1/GRP94 monoclonal antibody) .
gp96/HSP90B1/GRP94 Antibody (CL2647) - Azide and BSA Free Immunocytochemistry/ Immunofluorescence: gp96/HSP90B1/GRP94 Antibody [NBP3-44433]

Immunocytochemistry/ Immunofluorescence: gp96/HSP90B1/GRP94 Antibody [NBP3-44433]

Staining in MCF7 cell line with Anti-gp96/HSP90B1/GRP94 monoclonal antibody) .

Applications for gp96/HSP90B1/GRP94 Antibody (CL2647) - Azide and BSA Free

Application
Recommended Usage

Immunocytochemistry/ Immunofluorescence

2-10 ug/ml

Immunohistochemistry-Paraffin

1:20000 - 1:50000

Western Blot

1 ug/ml
Application Notes
For IHC-Paraffin, HIER pH 6 retrieval is recommended. Immunocytochemistry/ Immunofluorescence/IF Fixation Permeabilization: Use PFA/Triton X-100.

Formulation, Preparation, and Storage

Purification

Protein A purified

Reconstitution

Centrifuge the vial of lyophilized antibody at 12,000 x g for 20 seconds. Reconstitute by adding sterile, distilled water to achieve a final antibody concentration of 1mg/ml.

Formulation

Lyophilized from a 0.2 um filtered solution in PBS with Trehalose

Format

Azide and BSA Free

Preservative

No Preservative

Concentration

LYOPH mg/ml

Shipping

The product is shipped at ambient temperature. Upon receipt, store it immediately at the temperature recommended below.

Stability & Storage

Store at 4C short term. Aliquot and store at -20C long term. Avoid freeze-thaw cycles.

Background: gp96/HSP90B1

Glucose-regulated protein 94, also known as Grp94 or gp96, is an abundant resident endoplasmic reticulum (ER) lumenal stress protein which together with cytosolic Hsp90 belongs to the Hsp90 family of molecular chaperones. Grp94 and other resident soluble proteins of the ER such as members of the Ca(2+) binding protein subfamily (CaBP), CaBPI and CaBP2 as well as calreticulin, possess the COOH-terminal tetrapeptide Lys-Asp-Glu-Leu (KDEL) which is a sorting signal that is thought to lead to the retention of these proteins in the pre-Golgi compartments (1). Grp94 expression is upregulated by stress conditions such as lucose starvation and heat shock, which promote protein misfolding or unfolding (2). In addition to a homeostatic role in protein folding and assembly, Grp94 can function in the intracellular trafficking of peptides from the extracellular space to the MHC class I antigen processing pathway of antigen presentation cells (3,4). Grp94 and Hsp90 share high sequence identity and presumably identical adenosine nucleotide-dependent modes of regulation. Earlier data suggests that Hsp90 and Grp94 may differ in their nucleotide binding properties. The N-terminal domain of eukaryotic Hsp90 proteins contains a conserved adenosine nucleotide binding pocket which also serves as the inding site for the Hsp90 inhibitors geldanamycin and radicicol. However, the molecular basis for adenosine nucleotide-dependent regulation of Grp94remains to be established. Recent data has entified a ligand dependent regulation of Grp94 function and suggest a model whereby Grp94 function is regulated through a ligand-dependent conversion of Grp94 from an inactive to an active conformation (5, 6).

Long Name

Heat Shock Protein 90 beta 1

Alternate Names

ECGP, Endoplasmin, Grp94, HSP90B1

Gene Symbol

HSP90B1

Additional gp96/HSP90B1 Products

Product Documents for gp96/HSP90B1/GRP94 Antibody (CL2647) - Azide and BSA Free

Certificate of Analysis

To download a Certificate of Analysis, please enter a lot number in the search box below.

Product Specific Notices for gp96/HSP90B1/GRP94 Antibody (CL2647) - Azide and BSA Free

This product is for research use only and is not approved for use in humans or in clinical diagnosis. Primary Antibodies are guaranteed for 1 year from date of receipt.

Loading...
Loading...
Loading...
Loading...
Loading...