Skip to main content

gp96/HSP90B1/GRP94 Antibody (9G10.F8.2) - Azide and BSA Free

Novus Biologicals, part of Bio-Techne | Catalog # NBP3-11511

Novus Biologicals, part of Bio-Techne
Catalog #
Availability
Size / Price
Qty
Loading...
NBP3-11511
Conjugate
Catalog #

Key Product Details

Species Reactivity

Human, Mouse, Rat, Porcine, Bovine, Canine, Chicken, Equine, Guinea Pig, Hamster, Monkey, Rabbit, Sheep, Xenopus

Applications

Immunohistochemistry, Immunohistochemistry-Paraffin, Western Blot, Flow Cytometry, Immunocytochemistry/ Immunofluorescence

Label

Unconjugated

Antibody Source

Monoclonal Rat IgG2a Kappa Clone # 9G10.F8.2

Format

Azide and BSA Free

Concentration

1 mg/ml

Product Specifications

Immunogen

Purified glucose regulated protein 94 (grp94) from chicken oviducts (Uniprot: P14625)

Localization

Cytoplasmic and nuclear

Specificity

Recognizes a protein of 94kDa, which is identified as the glucose-regulated protein 94 (grp94) and also tumor rejection antigen (gp96). Grp94 shows a high degree of sequence homology with the heat shock protein 90 (hsp90). This monoclonal antibody is highly specific to grp94 and shows minimal cross-reaction with other members of the HSP90 family. Grps are a class of proteins unresponsive to heat shock and are induced by glucose deprivation. Grp94 has been briefly studied as a prognostic factor in breast cancer.

Marker

Endoplasmic Reticulum Marker

Clonality

Monoclonal

Host

Rat

Isotype

IgG2a Kappa

Theoretical MW

94 kDa.
Disclaimer note: The observed molecular weight of the protein may vary from the listed predicted molecular weight due to post translational modifications, post translation cleavages, relative charges, and other experimental factors.

Description

1.0 mg/ml of antibody purified from Bioreactor Concentrate by Protein A/G. Prepared in 10mM PBS WITHOUT BSA. Also available at 200 ug/ml WITH BSA & azide (NBP2-44689).

Antibody with azide - store at 2 to 8C. Antibody without azide - store at -20 to -80C.

Scientific Data Images for gp96/HSP90B1/GRP94 Antibody (9G10.F8.2) - Azide and BSA Free

gp96/HSP90B1/GRP94 Antibody (9G10.F8.2) - Azide and BSA Free Immunohistochemistry-Paraffin: gp96/HSP90B1/GRP94 Antibody (9G10.F8.2) - Azide and BSA Free [NBP3-11511] -

Immunohistochemistry-Paraffin: gp96/HSP90B1/GRP94 Antibody (9G10.F8.2) - Azide and BSA Free [NBP3-11511] -

Immunohistochemistry-Paraffin: gp96/HSP90B1/GRP94 Antibody (9G10.F8.2) - Azide and BSA Free [NBP3-11511] - Human Breast Carcinoma stained with GRP94 Monoclonal Antibody (9G10.F8.2).
gp96/HSP90B1/GRP94 Antibody (9G10.F8.2) - Azide and BSA Free Flow Cytometry: gp96/HSP90B1/GRP94 Antibody (9G10.F8.2) - Azide and BSA Free [NBP3-11511] -

Flow Cytometry: gp96/HSP90B1/GRP94 Antibody (9G10.F8.2) - Azide and BSA Free [NBP3-11511] -

Flow Cytometry: gp96/HSP90B1/GRP94 Antibody (9G10.F8.2) - Azide and BSA Free [NBP3-11511] - Flow Cytometric Analysis of PFA-fixed HePG2 cells using gp96/HSP90B1/GRP94 Antibody (9G10.F8.2) followed by Goat anti-Rat- IgG-CF488 (Blue); Isotype Control (Red).
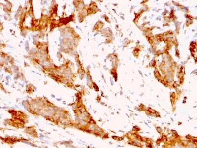
gp96/HSP90B1/GRP94 Antibody (9G10.F8.2) - Azide and BSA Free Immunohistochemistry-Paraffin: gp96/HSP90B1/GRP94 Antibody (9G10.F8.2) - Azide and BSA Free [NBP3-11511] -

Immunohistochemistry-Paraffin: gp96/HSP90B1/GRP94 Antibody (9G10.F8.2) - Azide and BSA Free [NBP3-11511] -

Immunohistochemistry-Paraffin: gp96/HSP90B1/GRP94 Antibody (9G10.F8.2) - Azide and BSA Free [NBP3-11511] - Formalin-fixed, paraffin-embedded human Breast Carcinoma stained with gp96/HSP90B1/GRP94 Antibody (9G10.F8.2).

Applications for gp96/HSP90B1/GRP94 Antibody (9G10.F8.2) - Azide and BSA Free

Application
Recommended Usage

Flow Cytometry

0.5 - 1 ug/million cells in 0.1 ml

Immunohistochemistry-Paraffin

0.5 - 1.0 ug/ml

Western Blot

0.5 - 1.0 ug/ml
Application Notes
Immunohistochemistry (Formalin-fixed): 1-2ug/ml for 30 minutes at RT. Staining of formalin-fixed tissues requires heating tissue sections in 10mM Tris with 1mM EDTA, pH 9.0, for 45 min at 95C followed by cooling at RT for 20 minutes.
Optimal dilution for a specific application should be determined.

Formulation, Preparation, and Storage

Purification

Protein A or G purified

Formulation

10 mM PBS

Format

Azide and BSA Free

Preservative

No Preservative

Concentration

1 mg/ml

Shipping

The product is shipped with polar packs. Upon receipt, store it immediately at the temperature recommended below.

Stability & Storage

Store at -20 to -80C. Avoid freeze-thaw cycles.

Background: gp96/HSP90B1

Glucose-regulated protein 94, also known as Grp94 or gp96, is an abundant resident endoplasmic reticulum (ER) lumenal stress protein which together with cytosolic Hsp90 belongs to the Hsp90 family of molecular chaperones. Grp94 and other resident soluble proteins of the ER such as members of the Ca(2+) binding protein subfamily (CaBP), CaBPI and CaBP2 as well as calreticulin, possess the COOH-terminal tetrapeptide Lys-Asp-Glu-Leu (KDEL) which is a sorting signal that is thought to lead to the retention of these proteins in the pre-Golgi compartments (1). Grp94 expression is upregulated by stress conditions such as lucose starvation and heat shock, which promote protein misfolding or unfolding (2). In addition to a homeostatic role in protein folding and assembly, Grp94 can function in the intracellular trafficking of peptides from the extracellular space to the MHC class I antigen processing pathway of antigen presentation cells (3,4). Grp94 and Hsp90 share high sequence identity and presumably identical adenosine nucleotide-dependent modes of regulation. Earlier data suggests that Hsp90 and Grp94 may differ in their nucleotide binding properties. The N-terminal domain of eukaryotic Hsp90 proteins contains a conserved adenosine nucleotide binding pocket which also serves as the inding site for the Hsp90 inhibitors geldanamycin and radicicol. However, the molecular basis for adenosine nucleotide-dependent regulation of Grp94remains to be established. Recent data has entified a ligand dependent regulation of Grp94 function and suggest a model whereby Grp94 function is regulated through a ligand-dependent conversion of Grp94 from an inactive to an active conformation (5, 6).

Long Name

Heat Shock Protein 90 beta 1

Alternate Names

ECGP, Endoplasmin, Grp94, HSP90B1

Gene Symbol

HSP90B1

Additional gp96/HSP90B1 Products

Product Documents for gp96/HSP90B1/GRP94 Antibody (9G10.F8.2) - Azide and BSA Free

Certificate of Analysis

To download a Certificate of Analysis, please enter a lot number in the search box below.

Product Specific Notices for gp96/HSP90B1/GRP94 Antibody (9G10.F8.2) - Azide and BSA Free

This product is for research use only and is not approved for use in humans or in clinical diagnosis. Primary Antibodies are guaranteed for 1 year from date of receipt.

Loading...
Loading...
Loading...
Loading...
Loading...