Golgi Glycoprotein 1/GLG1 Antibody - BSA Free
Novus Biologicals, part of Bio-Techne | Catalog # NBP1-90636
Key Product Details
Species Reactivity
Validated:
Cited:
Predicted:
Applications
Validated:
Cited:
Label
Antibody Source
Format
Concentration
Product Specifications
Immunogen
Reactivity Notes
Clonality
Host
Isotype
Description
Scientific Data Images for Golgi Glycoprotein 1/GLG1 Antibody - BSA Free
Immunocytochemistry/ Immunofluorescence: Golgi Glycoprotein 1/GLG1 Antibody [NBP1-90636]
Immunocytochemistry/Immunofluorescence: Golgi Glycoprotein 1/GLG1 Antibody [NBP1-90636] - Staining of human cell line U-251 MG shows localization to the Golgi apparatus. Antibody staining is shown in green.Immunohistochemistry-Paraffin: Golgi Glycoprotein 1/GLG1 Antibody [NBP1-90636]
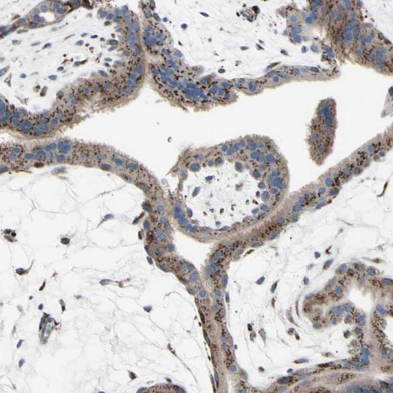
Immunohistochemistry-Paraffin: Golgi Glycoprotein 1/GLG1 Antibody [NBP1-90636] - Staining of human placenta shows strong dot like cytoplasmic positivity in trophoblastic and decidual cells.Immunohistochemistry: Golgi Glycoprotein 1/GLG1 Antibody - BSA Free [NBP1-90636]
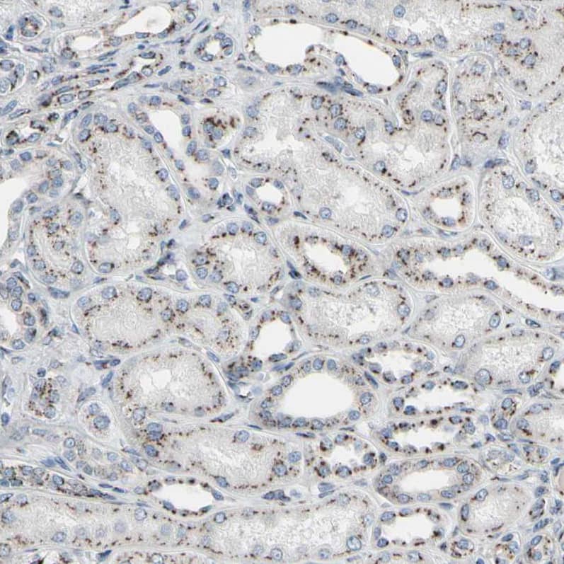
Staining of human kidney shows strong granular cytoplasmic positivity in cells in tubules.Applications for Golgi Glycoprotein 1/GLG1 Antibody - BSA Free
Immunocytochemistry/ Immunofluorescence
Immunohistochemistry
Immunohistochemistry-Paraffin
Western Blot
Formulation, Preparation, and Storage
Purification
Formulation
Format
Preservative
Concentration
Shipping
Stability & Storage
Background: Golgi Glycoprotein 1/GLG1
FGF activity is mediated by a family of type I transmembrane tyrosine kinases, which undergo dimerization and autophosphorylation after ligand binding. Five distinct genes encode closely related FGF receptors, FGF R1 through 5. FGF Rs contain three Ig-like domains and a stretch of acidic residues between the first and second Ig-like domains. FGF R1, 2, 3, and -4 have a cytoplasmic split tyrosine-kinase domain, but FGF R5 does not. Multiple forms of FGF R1, 2, and 3 are generated by alternative splicing
Alternate Names
Gene Symbol
Additional Golgi Glycoprotein 1/GLG1 Products
Product Documents for Golgi Glycoprotein 1/GLG1 Antibody - BSA Free
Product Specific Notices for Golgi Glycoprotein 1/GLG1 Antibody - BSA Free
This product is for research use only and is not approved for use in humans or in clinical diagnosis. Primary Antibodies are guaranteed for 1 year from date of receipt.