Golgi Complex Antibody (371-4)
Novus Biologicals, part of Bio-Techne | Catalog # NBP2-32852
Conjugate
Catalog #
Forumulation
Catalog #
Key Product Details
Species Reactivity
Human, Mouse (Negative), Rat (Negative)
Applications
Immunohistochemistry, Immunohistochemistry-Paraffin, Western Blot, Flow Cytometry, Immunocytochemistry/ Immunofluorescence
Label
Unconjugated
Antibody Source
Monoclonal Mouse IgG1 kappa Clone # 371-4
Concentration
0.2 mg/ml
Product Specifications
Immunogen
SU-DHL-1 large cell lymphoma cells.
Reactivity Notes
Does not react with Mouse or Rat.
Localization
Golgi complex in cytoplasm
Specificity
This monoclonal antibody recognizes an antigen associated with the Golgi complex in human cells only. It can be used to stain the Golgi complex in cell or tissue preparations and can be used as a Golgi marker in subcellular fractions. It produces a diffuse staining pattern of the Golgi zone in normal and malignant cells. This monoclonal antibody is an excellent marker for human cells in xenographic model research. It reacts specifically with human cells. The Golgi apparatus is an organelle present in all eukaryotic cells that forms a part of the endomembrane system. The primary function of the Golgi apparatus is to process and package macromolecules synthesized by the cell for exocytosis or use within the cell. The Golgi is made up of a stack of flattened, membrane-bound sacs known as cisternae, with three functional regions: the cis face, medial region and trans face. Each region consists of various enzymes that selectively modify the macromolecules passing though them, depending on where they are destined to reside. Several spherical vesicles that have budded off of the Golgi are present surrounding the main cisternae.
Marker
Marker for Human Cells
Clonality
Monoclonal
Host
Mouse
Isotype
IgG1 kappa
Description
200ug/ml of antibody purified from Bioreactor Concentrate by Protein A or G. Prepared in 10 mM PBS with 0.05% BSA & 0.05% azide. Also available WITHOUT BSA at 1.0 mg/ml. (NBP2-34534)
Antibody with azide - store at 2 to 8C. Antibody without azide - store at -20 to -80C.
Antibody with azide - store at 2 to 8C. Antibody without azide - store at -20 to -80C.
Scientific Data Images for Golgi Complex Antibody (371-4)
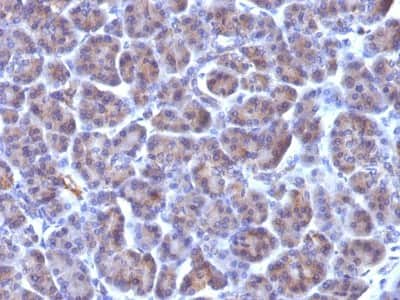
Immunohistochemistry-Paraffin: Golgi Complex Antibody (371-4) [NBP2-32852]
Immunohistochemistry-Paraffin: Golgi Complex Antibody (371-4) [NBP2-32852] - Formalin-fixed, paraffin-embedded human Pancreas stained with Golgi Complex Antibody (371-4).Applications for Golgi Complex Antibody (371-4)
Application
Recommended Usage
Flow Cytometry
0.5-1.0 ug/million cells
Immunocytochemistry/ Immunofluorescence
1-2 ug/ml
Immunohistochemistry-Paraffin
1-2 ug/ml
Western Blot
1-2 ug/ml
Application Notes
Immunocytochemistry (Acetone or paraformaldehyde fixed): 1-2ug/ml for 30 min.
Immunohistochemistry (Formalin-fixed): 1-2ug/ml for 30 minutes at RT. Staining of formalin-fixed tissues requires heating tissue sections in 10mM Tris with 1mM EDTA, pH 9.0, for 45 min at 95C followed by cooling at RT for 20 minutes.
Optimal dilution for a specific application should be determined.
Immunohistochemistry (Formalin-fixed): 1-2ug/ml for 30 minutes at RT. Staining of formalin-fixed tissues requires heating tissue sections in 10mM Tris with 1mM EDTA, pH 9.0, for 45 min at 95C followed by cooling at RT for 20 minutes.
Optimal dilution for a specific application should be determined.
Formulation, Preparation, and Storage
Purification
Protein A or G purified
Formulation
10 mM PBS with 0.05% BSA
Preservative
0.05% Sodium Azide
Concentration
0.2 mg/ml
Shipping
The product is shipped with polar packs. Upon receipt, store it immediately at the temperature recommended below.
Stability & Storage
Store at 4C.
Background: Golgi Complex
Alternate Names
AI593353;AW537898;CFR;CFR1;CFR-1;ESL1;ESL-1;GLG1;MG160;MG-160;Selel
Additional Golgi Complex Products
Product Documents for Golgi Complex Antibody (371-4)
Product Specific Notices for Golgi Complex Antibody (371-4)
This product is for research use only and is not approved for use in humans or in clinical diagnosis. Primary Antibodies are guaranteed for 1 year from date of receipt.
Loading...
Loading...
Loading...
Loading...
Loading...