Skip to main content

Glypican 3 Antibody (GPC3/8127R)

Novus Biologicals, part of Bio-Techne | Catalog # NBP3-20281

Recombinant Monoclonal Antibody
Novus Biologicals, part of Bio-Techne
Catalog #
Availability
Size / Price
Qty
Loading...
NBP3-20281-100ug
NBP3-20281-20ug
Conjugate
Catalog #

Key Product Details

Species Reactivity

Human

Applications

Immunohistochemistry-Paraffin

Label

Unconjugated

Antibody Source

Recombinant Monoclonal Rabbit IgG Kappa Clone # GPC3/8127R

Concentration

0.2 mg/ml

Product Specifications

Immunogen

Recombinant fragment (around aa400-550) of human Glypican 3 protein (exact sequence is proprietary)

Localization

Cytoplasm.

Clonality

Monoclonal

Host

Rabbit

Isotype

IgG Kappa

Description

Positive Controls: Human placenta or hepatocellular carcinoma.

Antibody with azide - store at 2 to 8C. Antibody without azide - store at -20 to -80C. Non-hazardous. No MSDS required.

Scientific Data Images for Glypican 3 Antibody (GPC3/8127R)

Glypican 3 Antibody (GPC3/8127R)

Glypican 3 Antibody (GPC3/8127R)

Formalin-fixed, paraffin-embedded human hepatocellular carcinoma stained with Glypican 3 antibody (GPC3/8127R). HIER: Tris/EDTA, pH9.0, 45min. 2: HRP-polymer, 30min. DAB, 5min.
Glypican 3 Antibody (GPC3/8127R)

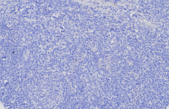
Glypican 3 Antibody (GPC3/8127R)

IHC analysis of formalin-fixed, paraffin-embedded human brain. Negative tissue control using Glypican 3 antibody (GPC3/8127R) at 2ug/ml in PBS for 30min RT. HIER: Tris/EDTA, pH9.0, 45min. 2: HRP-polymer, 30min. DAB, 5min.

Applications for Glypican 3 Antibody (GPC3/8127R)

Application
Recommended Usage

Immunohistochemistry-Paraffin

1-2 ug/ml
Application Notes
Immunohistochemistry (Formalin-fixed): 1-2ug/ml for 30 minutes. at RT. Staining of formalin-fixed tissues requires heating tissue sections in 10mM Tris with 1mM EDTA, pH 9.0, for 45 min at 95C followed by cooling at RT for 20 minutes.

Optimal dilution for a specific application should be determined.

Formulation, Preparation, and Storage

Purification

Protein A purified

Formulation

10mM PBS with 0.05% BSA

Preservative

0.05% Sodium Azide

Concentration

0.2 mg/ml

Shipping

The product is shipped with polar packs. Upon receipt, store it immediately at the temperature recommended below.

Stability & Storage

Store at 4C. Do not freeze.

Background: Glypican 3

The Glypican 3 (GPC3) gene encodes for a member of the glypican-related integral membrane proteoglycan family (GRIPS). Two isoforms of the protein exist, isoform 1 at a length of 580 amino acids long and 65 kDA while isoform 2 is 526 amino acids long at 59 kDA. The protein encoded by GPC3 is thought to prevent the dipeptidyl peptidase activity of DPP4 and may participate in the suppression and regulation of growth in the predominately mesodermal tissues and organs. The GPC3 gene participates in the Wnt signaling pathway, metabolism, and visual phototransduction through interactions with genes FGF2, WNT3A, WNT7B, BCAN, and BGN. GPC3 has been researched in various diseases such as paine syndrome, horner's sundrome, liver cirrhosis, simpson-golabi-behmel syndrome, germ cell tumors, wilms tumors, complex regional pain syndrome, and hepatocellulcar carcinoma.

Alternate Names

GPC3

Gene Symbol

GPC3

Additional Glypican 3 Products

Product Documents for Glypican 3 Antibody (GPC3/8127R)

Certificate of Analysis

To download a Certificate of Analysis, please enter a lot number in the search box below.

Product Specific Notices for Glypican 3 Antibody (GPC3/8127R)

This product is for research use only and is not approved for use in humans or in clinical diagnosis. Primary Antibodies are guaranteed for 1 year from date of receipt.

Loading...
Loading...
Loading...
Loading...