Skip to main content

Glucose 6 Phosphate Dehydrogenase Antibody - BSA Free

Novus Biologicals, part of Bio-Techne | Catalog # NBP1-89804

Novus Biologicals, part of Bio-Techne
Catalog #
Availability
Size / Price
Qty
Loading...
NBP1-89804-25ul
NBP1-89804

Key Product Details

Validated by

Orthogonal Validation, Independent Antibodies

Species Reactivity

Validated:

Human

Predicted:

Mouse (92%), Rat (90%). Backed by our 100% Guarantee.

Applications

Immunohistochemistry, Immunohistochemistry-Paraffin, Western Blot, Immunocytochemistry/ Immunofluorescence

Label

Unconjugated

Antibody Source

Polyclonal Rabbit IgG

Format

BSA Free

Concentration

Concentrations vary lot to lot. See vial label for concentration. If unlisted please contact technical services.

Product Specifications

Immunogen

This antibody was developed against Recombinant Protein corresponding to amino acids: FQGDAFHQSDTHIFIIMGASGDLAKKKIYPTIWWLFRDGLLPENTFIVGYARSRLTVADIRKQSEPFFKATPEEKLKLEDFFARNSYVAGQYDDAASYQRLNSHMNALH

Marker

Cytosol Marker

Clonality

Polyclonal

Host

Rabbit

Isotype

IgG

Theoretical MW

59 kDa.
Disclaimer note: The observed molecular weight of the protein may vary from the listed predicted molecular weight due to post translational modifications, post translation cleavages, relative charges, and other experimental factors.

Scientific Data Images for Glucose 6 Phosphate Dehydrogenase Antibody - BSA Free

Glucose 6 Phosphate Dehydrogenase Antibody - BSA Free Immunocytochemistry/ Immunofluorescence: Glucose 6 Phosphate Dehydrogenase Antibody - BSA Free [NBP1-89804]

Immunocytochemistry/ Immunofluorescence: Glucose 6 Phosphate Dehydrogenase Antibody - BSA Free [NBP1-89804]

Staining of human cell line U-2 OS shows positivity in cytoplasm.
Glucose 6 Phosphate Dehydrogenase Antibody - BSA Free Immunohistochemistry-Paraffin: Glucose 6 Phosphate Dehydrogenase Antibody - BSA Free [NBP1-89804]

Immunohistochemistry-Paraffin: Glucose 6 Phosphate Dehydrogenase Antibody - BSA Free [NBP1-89804]

Analysis in human testis and skeletal muscle tissues using NBP1-89804 antibody. Corresponding G6PD RNA-seq data are presented for the same tissues.
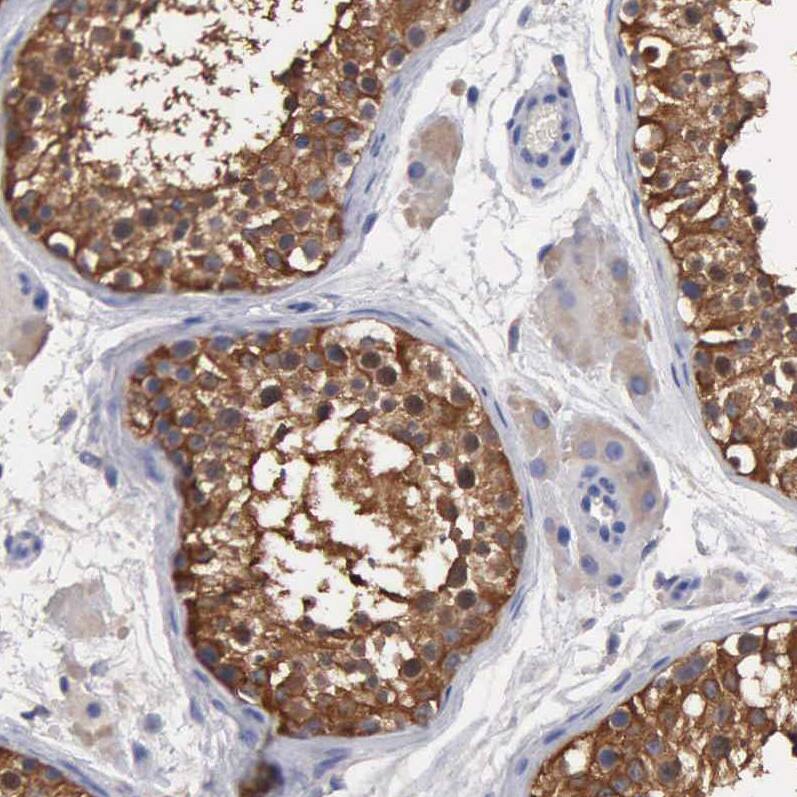
Glucose 6 Phosphate Dehydrogenase Antibody - BSA Free Immunohistochemistry-Paraffin: Glucose 6 Phosphate Dehydrogenase Antibody - BSA Free [NBP1-89804]

Immunohistochemistry-Paraffin: Glucose 6 Phosphate Dehydrogenase Antibody - BSA Free [NBP1-89804]

Staining of human testis shows strong cytoplasmic positivity in cells in seminiferous ducts.

Applications for Glucose 6 Phosphate Dehydrogenase Antibody - BSA Free

Application
Recommended Usage

Immunocytochemistry/ Immunofluorescence

0.25-2 ug/ml

Immunohistochemistry

1:2500 - 1:5000

Immunohistochemistry-Paraffin

1:2500 - 1:5000

Western Blot

0.04-0.4 ug/ml
Application Notes
For IHC-Paraffin, HIER pH 6 retrieval is recommended. ICC/IF Fixation Permeabilization: Use PFA/Triton X-100.

Formulation, Preparation, and Storage

Purification

Affinity purified

Formulation

PBS (pH 7.2) and 40% Glycerol

Format

BSA Free

Preservative

0.02% Sodium Azide

Concentration

Concentrations vary lot to lot. See vial label for concentration. If unlisted please contact technical services.

Shipping

The product is shipped with polar packs. Upon receipt, store it immediately at the temperature recommended below.

Stability & Storage

Store at 4C short term. Aliquot and store at -20C long term. Avoid freeze-thaw cycles.

Background: G6PD

Glucose-6-phosphate dehydrogenase (G6PD) is a cytosolic enzyme that catalyzes the conversion of glucose-6-phosphate into 6-phosphgluconolactone and maintains the levels of the electron donor, NADPH. G6PD is an x-linked housekeeping gene whose deficiency can result in neonatal jaundice, acute hemolysis, or chronic non-spherocytic hemolytic anemia.

Long Name

Glucose-6-Phosphate Dehydrogenase

Alternate Names

G6PDH

Entrez Gene IDs

2539 (Human)

Gene Symbol

G6PD

UniProt

Additional G6PD Products

Product Documents for Glucose 6 Phosphate Dehydrogenase Antibody - BSA Free

Certificate of Analysis

To download a Certificate of Analysis, please enter a lot number in the search box below.

Product Specific Notices for Glucose 6 Phosphate Dehydrogenase Antibody - BSA Free

This product is for research use only and is not approved for use in humans or in clinical diagnosis. Primary Antibodies are guaranteed for 1 year from date of receipt.

Loading...
Loading...
Loading...
Loading...