Skip to main content

GLP-1R Antibody - BSA Free

Novus Biologicals, part of Bio-Techne | Catalog # NBP1-97308

Novus Biologicals, part of Bio-Techne
Catalog #
Availability
Size / Price
Qty
Loading...
NBP1-97308SS
NBP1-97308
Conjugate
Catalog #

Key Product Details

Validated by

Knockout/Knockdown, Biological Validation

Species Reactivity

Validated:

Human, Mouse, Rat, Canine

Cited:

Human, Mouse, Rat

Applications

Validated:

Immunohistochemistry, Immunohistochemistry-Paraffin, Western Blot, Immunocytochemistry/ Immunofluorescence, Simple Western, Dot Blot, Knockdown Validated

Cited:

Immunohistochemistry-Paraffin, Western Blot, Immunocytochemistry/ Immunofluorescence, Cytometric Bead Assay Standard, IF/IHC, Knockdown Validated

Label

Unconjugated

Antibody Source

Polyclonal Rabbit IgG

Format

BSA Free

Concentration

1.0 mg/ml

Product Specifications

Immunogen

A synthetic peptide made to an internal portion of the human GLP1R protein (between residues 250-350) [UniProt P43220]

Reactivity Notes

Rat reactivity reported in scientific literature (PMID: 27435156). Canine reactivity reported in scientific literature (PMID: 25747753).

Localization

Cell membrane; Multi-pass membrane protein.

Clonality

Polyclonal

Host

Rabbit

Isotype

IgG

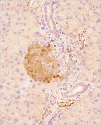
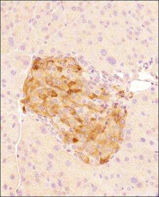
Scientific Data Images for GLP-1R Antibody - BSA Free

Immunohistochemistry: GLP-1R Antibody - BSA Free [NBP1-97308]

Immunohistochemistry: GLP-1R Antibody - BSA Free [NBP1-97308]

Immunohistochemistry: GLP-1R Antibody [NBP1-97308] - Analysis of GLP1R in mouse pancreas using DAB with hematoxylin counterstain.
Knockdown Validated: GLP-1R Antibody - BSA Free [NBP1-97308]

Western Blot: GLP-1R Antibody - BSA Free [NBP1-97308]

GLP-1R-Antibody-Western-Blot-NBP1-97308-img0015.jpg
Simple Western: GLP-1R AntibodyBSA Free [NBP1-97308]

Simple Western: GLP-1R AntibodyBSA Free [NBP1-97308]

Simple Western: GLP-1R Antibody [NBP1-97308] - Simple Western lane view shows a specific band for GLP-1R in 0.5 mg/ml of Human Pancreas (left) and Mouse Pancreas (right) lysate. This experiment was performed under reducing conditions using the 12-230 kDa separation system. * Non-specific interaction with the 230 kDa Simple Western standard may be seen with this antibody

Applications for GLP-1R Antibody - BSA Free

Application
Recommended Usage

Dot Blot

reported in scientific literature (PMID 27435156)

Immunocytochemistry/ Immunofluorescence

1:100

Immunohistochemistry

1:200

Immunohistochemistry-Paraffin

1:200 - 1:400

Knockdown Validated

reported in scientific literature (PMID 31900217)

Simple Western

1:100

Western Blot

1:1000
Application Notes
In WB, a band is seen ~53kDa representing GLP1R. In ICC/IF, membrane staining was observed in HeLa cells. In IHC-P, strong membrane staining was observed in mouse pancreas tissue. Prior to immunostaining paraffin tissues, antigen retrieval with sodium citrate buffer (pH 6.0) is recommended. In Simple Western only 10 - 15 uL of the recommended dilution is used per data point.
See Simple Western Antibody Database for Simple Western validation: Tested in Human Pancreas and Mouse Pancreas lysate 0.5 mg/mL, separated by Size, antibody dilution of 1:100. Separated by Size-Wes, Sally Sue/Peggy Sue.

Formulation, Preparation, and Storage

Purification

Immunogen affinity purified

Formulation

PBS

Format

BSA Free

Preservative

0.02% Sodium Azide

Concentration

1.0 mg/ml

Shipping

The product is shipped with polar packs. Upon receipt, store it immediately at the temperature recommended below.

Stability & Storage

Store at 4C short term. Aliquot and store at -20C long term. Avoid freeze-thaw cycles.

Background: GLP-1R

GLP1R (Glucagon-like peptide 1 receptor) is an incretin hormone produced in the intestine that is released in response to food intake. GLP1R plays an important role in maintaining blood glucose homeostasis and has been suggested to affect the feelings of satiety or hunger, sensation of glucose levels and control of glucagon sensitivity of islets. In addition, desensitization of GLP1R on pancreatic beta-cells is one of the causes of non insulin-dependent diabetes mellitus (NIDDM), and GLP1R is starting to play an increasingly important role in endocrine gastrointestinal tumor management.

Long Name

Glucagon-like Peptide 1 Receptor

Alternate Names

GLP1R

Entrez Gene IDs

2740 (Human)

Gene Symbol

GLP1R

UniProt

Additional GLP-1R Products

Product Documents for GLP-1R Antibody - BSA Free

Certificate of Analysis

To download a Certificate of Analysis, please enter a lot number in the search box below.

Product Specific Notices for GLP-1R Antibody - BSA Free

This product is for research use only and is not approved for use in humans or in clinical diagnosis. Primary Antibodies are guaranteed for 1 year from date of receipt.

Loading...
Loading...
Loading...
Loading...
Loading...