Skip to main content

GLI-2 Antibody - BSA Free

Novus Biologicals, part of Bio-Techne | Catalog # NB600-874

Novus Biologicals, part of Bio-Techne

Key Product Details

Validated by

Biological Validation

Species Reactivity

Validated:

Human, Mouse, Rat

Cited:

Human, Mouse

Applications

Validated:

Immunohistochemistry, Immunohistochemistry-Paraffin, Western Blot, ELISA, Flow (Intracellular), Chromatin Immunoprecipitation (ChIP)

Cited:

Immunohistochemistry-Paraffin, Western Blot, Chemotaxis

Label

Unconjugated

Antibody Source

Polyclonal Rabbit IgG

Format

BSA Free

Concentration

Please see the vial label for concentration. If unlisted please contact technical services.

Product Specifications

Immunogen

This affinity purified GLI-2 Antibody was prepared from whole rabbit serum produced by repeated immunizations with a synthetic peptide corresponding to an internal region near amino acids 30-65 of human GLI-2 (isoform a). (Uniprot: P10070)

Reactivity Notes

A BLAST analysis was used to suggest cross reactivity with Gli-2 from chimpanzee based on the immunizing sequence
Mouse reactivity reported in scientific literature (PMID: 27760825).

Localization

Nuclear

Clonality

Polyclonal

Host

Rabbit

Isotype

IgG

Description

This affinity-purified antibody is directed against human Gli-2 protein. The product was affinity purified from monospecific antiserum by immunoaffinity purification. A BLAST analysis was used to suggest cross reactivity with GLI-2 from human and chimpanzee based on the immunizing sequence.

Store vial at -20C prior to opening. Aliquot contents and freeze at -20C or below for extended storage. Avoid cycles of freezing and thawing. Centrifuge product if not completely clear after standing at room temperature. This product is stable for several weeks at 4C as an undiluted liquid. Dilute only prior to immediate use.

Scientific Data Images for GLI-2 Antibody - BSA Free

Western Blot: GLI-2 Antibody [NB600-874]

Western Blot: GLI-2 Antibody [NB600-874]

Western Blot: GLI-2 Antibody [NB600-874] - Analysis of Gli-2 protein in rat testes (lane 1) and human HEK293 (lane 2) whole cell lysates (arrowhead). See Ruppert et al for testing conditions. Each lane contains approximately 35 ug of lysate. Primary antibody was used at a 1:400 dilution in 5% BLOTTO in PBS overnight at 4C. The membrane was washed and reacted with a 1:10,000 dilution of IRDye 800 conjugated Gt-a-Rabbit IgG [H&L] MX10 for 45 min at room temperature (800 nm channel, green).
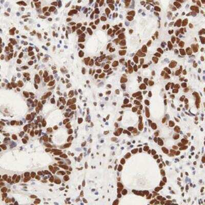
Immunohistochemistry-Paraffin: GLI-2 Antibody [NB600-874]

Immunohistochemistry-Paraffin: GLI-2 Antibody [NB600-874]

Immunohistochemistry-Paraffin: GLI-2 Antibody [NB600-874] - Mouse adenocarcinoma section shows high and diffuse nuclear Gli2 expression. IHC-P image submitted by a verified customer review.
Flow (Intracellular): GLI-2 Antibody [NB600-874]

Flow (Intracellular): GLI-2 Antibody [NB600-874]

Flow (Intracellular): GLI-2 Antibody [NB600-874] - intracellular staining for GLI-2 in untreated human B cell lines (BCWM.1, MWCL-1 and RPCI-WM1) using anti-GLI-2 antibody. Rabbit IgG Isotype Control (Cat# NBP2-36463) was used as a negative control. Image courtesy of Sherine Elsawa, Northern Illinois University.

Applications for GLI-2 Antibody - BSA Free

Application
Recommended Usage

Chromatin Immunoprecipitation (ChIP)

1:10-1:500

ELISA

1:10000-1:30000

Immunohistochemistry

1:500-1:2000

Immunohistochemistry-Paraffin

1:10-1:500

Western Blot

1:500-1:2000
Application Notes
This antibody has been tested for use in ELISA, immunohistochemistry and western blot. Specific conditions for reactivity should be optimized by the end user. See figure legend for expectations by western blot. Multiple splice variants have been reported for this protein a, b, g and d (133.3, 131.6, 88.1 and 86.4 kDa respectively). Detection of Gli-2 by western blot may be enhanced if nuclear extracts are used instead of whole cell lysates as the expression/abundance of Gli-2 is likely to be low. Furthermore, Gli-2 expression is likely to be developmentally regulated and induced, making it difficult to detect in whole tissue homogenates.

Use in chromatin immunoprecipitation reported in scientific literature (PMID: 27760825).

Reviewed Applications

Read 1 review rated 5 using NB600-874 in the following applications:

Formulation, Preparation, and Storage

Purification

Immunogen affinity purified

Formulation

0.02 M Potassium Phosphate, 0.15 M Sodium Chloride, pH 7.2

Format

BSA Free

Preservative

0.01% Sodium Azide

Concentration

Please see the vial label for concentration. If unlisted please contact technical services.

Shipping

The product is shipped with polar packs. Upon receipt, store it immediately at the temperature recommended below.

Stability & Storage

Store at -20C short term. Aliquot and store at -80C long term. Avoid freeze-thaw cycles.

Background: GLI-2

This protein belongs to the C2H2 type zinc finger protein subclass of the Gli family. Members of this subclass are characterized as transcription factors that bind DNA through zinc finger motifs. These motifs contain conserved H-C links. Gli family zinc finger proteins are mediators of Sonic hedgehog (Shh) signaling and they are implicated as potent oncogenes in the embryonal carcinoma cell. The protein encoded by this gene localizes to the cytoplasm and activates patched Drosophila homolog (PTCH) gene expression. Gli2 is also thought to play a role during embryogenesis. The encoded protein is associated with several phenotypes Greig cephalopolysyndactyly syndrome, Pallister Hall syndrome, preaxial polydactyly type IV, postaxial polydactyly types A1 and B.

Long Name

GLI-Kruppel family member GLI2

Alternate Names

GLI2, THP2

Entrez Gene IDs

2736 (Human)

Gene Symbol

GLI2

UniProt

Additional GLI-2 Products

Product Documents for GLI-2 Antibody - BSA Free

Certificate of Analysis

To download a Certificate of Analysis, please enter a lot number in the search box below.

Product Specific Notices for GLI-2 Antibody - BSA Free

This product is for research use only and is not approved for use in humans or in clinical diagnosis. Primary Antibodies are guaranteed for 1 year from date of receipt.

Loading...
Loading...
Loading...
Loading...
Loading...