GFP Antibody (4B10B2) - BSA Free
Novus Biologicals, part of Bio-Techne | Catalog # NBP2-22111
Conjugate
Catalog #
Forumulation
Catalog #
Key Product Details
Species Reactivity
Non-species specific
Applications
Validated:
Immunohistochemistry, Immunohistochemistry-Paraffin, Western Blot, ELISA, Flow Cytometry, Immunocytochemistry/ Immunofluorescence
Cited:
Immunohistochemistry-Frozen, Western Blot, Immunocytochemistry/ Immunofluorescence
Label
Unconjugated
Antibody Source
Monoclonal Mouse IgG2A Clone # 4B10B2
Format
BSA Free
Concentration
1.0 mg/ml
Product Specifications
Immunogen
This GFP antibody was developed against purified recombinant fragment of GFP expressed in E. coli.
Reactivity Notes
Reacts with GFP.
Clonality
Monoclonal
Host
Mouse
Isotype
IgG2A
Theoretical MW
27 kDa.
Disclaimer note: The observed molecular weight of the protein may vary from the listed predicted molecular weight due to post translational modifications, post translation cleavages, relative charges, and other experimental factors.
Disclaimer note: The observed molecular weight of the protein may vary from the listed predicted molecular weight due to post translational modifications, post translation cleavages, relative charges, and other experimental factors.
Description
Novus Biologicals Mouse GFP Antibody (4B10B2) - BSA Free (NBP2-22111) is a monoclonal antibody validated for use in IHC, WB, ELISA, Flow and ICC/IF. Anti-GFP Antibody: Cited in 2 publications. All Novus Biologicals antibodies are covered by our 100% guarantee.
Scientific Data Images for GFP Antibody (4B10B2) - BSA Free
Western Blot: GFP Antibody (4B10B2)BSA Free [NBP2-22111]
Western Blot: GFP Antibody (4B10B2) [NBP2-22111] - Expression of GFP in HEK293T cells. This image was submitted via customer Review. Image using the HRP form of this antibody.Immunocytochemistry/ Immunofluorescence: GFP Antibody (4B10B2) - BSA Free [NBP2-22111]
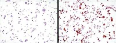
Immunocytochemistry/Immunofluorescence: GFP Antibody (4B10B2) [NBP2-22111] - Analysis of HCC827 cells, untransfected (left) or transfected with GFP (right) using GFP mouse mAb .Western Blot: GFP Antibody (4B10B2)BSA Free [NBP2-22111]
Western Blot: GFP Antibody (4B10B2) [NBP2-22111] - Analysis using GFP mouse mAb against recombinant GFP fusion protein (1) and various recombinant fusion protein with GFP tag (2, 3, 4).Applications for GFP Antibody (4B10B2) - BSA Free
Application
Recommended Usage
ELISA
1:10000
Flow Cytometry
1:200-1:400
Immunocytochemistry/ Immunofluorescence
1:10-1:500
Immunohistochemistry-Paraffin
1:200-1:1000
Western Blot
1:500-1:2000. Use reported by customer review
Formulation, Preparation, and Storage
Purification
Ammonium sulfate precipitation
Formulation
PBS
Format
BSA Free
Preservative
0.03% Sodium Azide
Concentration
1.0 mg/ml
Shipping
The product is shipped with polar packs. Upon receipt, store it immediately at the temperature recommended below.
Stability & Storage
Store at 4C short term. Aliquot and store at -20C long term. Avoid freeze-thaw cycles.
Background: GFP
References
1. Shi, C., Pan, F. C., Kim, J. N., Washington, M. K., Padmanabhan, C., Meyer, C. T., . . . Means, A. L. (2019). Differential Cell Susceptibilities to Kras(G12D) in the Setting of Obstructive Chronic Pancreatitis. Cell Mol Gastroenterol Hepatol. doi:10.1016/j.jcmgh.2019.07.001
2. Zhao, S., Fortier, T. M., & Baehrecke, E. H. (2018). Autophagy Promotes Tumor-like Stem Cell Niche Occupancy. Curr Biol, 28(19), 3056-3064.e3053. doi:10.1016/j.cub.2018.07.075
3. Zusso, M., Lunardi, V., Franceschini, D., Pagetta, A., Lo, R., Stifani, S., . . . Moro, S. (2019). Ciprofloxacin and levofloxacin attenuate microglia inflammatory response via TLR4/NF-kB pathway. J Neuroinflammation, 16(1), 148. doi:10.1186/s12974-019-1538-9
Long Name
Green Fluorescent Protein
Alternate Names
eGFP, GFPuv
Additional GFP Products
Product Documents for GFP Antibody (4B10B2) - BSA Free
Product Specific Notices for GFP Antibody (4B10B2) - BSA Free
This product is for research use only and is not approved for use in humans or in clinical diagnosis. Primary Antibodies are guaranteed for 1 year from date of receipt.
Loading...
Loading...
Loading...
Loading...
Loading...
Loading...