Skip to main content

GFAP Antibody - BSA Free

Novus Biologicals, part of Bio-Techne | Catalog # NBP2-33774

Novus Biologicals, part of Bio-Techne
Catalog #
Availability
Size / Price
Qty
Loading...
NBP2-33774

Key Product Details

Validated by

Orthogonal Validation, Independent Antibodies

Species Reactivity

Validated:

Human, Mouse

Predicted:

Rat (100%). Backed by our 100% Guarantee.

Applications

Immunohistochemistry, Immunohistochemistry-Paraffin, Western Blot, Immunocytochemistry/ Immunofluorescence

Label

Unconjugated

Antibody Source

Polyclonal Rabbit IgG

Format

BSA Free

Concentration

Concentrations vary lot to lot. See vial label for concentration. If unlisted please contact technical services.

Product Specifications

Immunogen

This GFAP antibody was developed against a recombinant protein corresponding to amino acids: LEGEENRITIPVQTFSNLQIRETSLDTKSVSEGHLKRNIVVKTVEMRDGEVIKESKQEHKD

Clonality

Polyclonal

Host

Rabbit

Isotype

IgG

Theoretical MW

50 kDa.
Disclaimer note: The observed molecular weight of the protein may vary from the listed predicted molecular weight due to post translational modifications, post translation cleavages, relative charges, and other experimental factors.

Description

Novus Biologicals Rabbit GFAP Antibody - BSA Free (NBP2-33774) is a polyclonal antibody validated for use in IHC, WB and ICC/IF. All Novus Biologicals antibodies are covered by our 100% guarantee.

Scientific Data Images for GFAP Antibody - BSA Free

GFAP Antibody

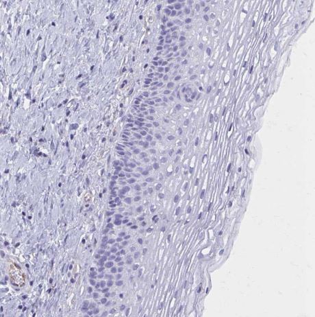
Immunohistochemistry-Paraffin: GFAP Antibody [NBP2-33774] -

Immunohistochemistry-Paraffin: GFAP Antibody [NBP2-33774] -Analysis in human cerebral cortex and cervix, uterine tissues using NBP2-33774 antibody. Corresponding GFAP RNA-seq data are presented for the same tissues.
Western Blot: GFAP Antibody [NBP2-33774]

Western Blot: GFAP Antibody [NBP2-33774]

Western Blot: GFAP Antibody [NBP2-33774] - Analysis in human cerebral cortex tissue.
Immunocytochemistry/ Immunofluorescence: GFAP Antibody [NBP2-33774]

Immunocytochemistry/ Immunofluorescence: GFAP Antibody [NBP2-33774]

Immunocytochemistry/Immunofluorescence: GFAP Antibody [NBP2-33774] - Staining of human cell line HEK 293 shows localization to intermediate filaments. Antibody staining is shown in green.

Applications for GFAP Antibody - BSA Free

Application
Recommended Usage

Immunocytochemistry/ Immunofluorescence

0.25 - 2 ug/mL

Immunohistochemistry

1:2500 - 1:5000

Immunohistochemistry-Paraffin

1:2500 - 1:5000

Western Blot

0.04 - 0.4 ug/mL
Application Notes
For IHC-Paraffin, HIER pH 6 retrieval is recommended. ICC/IF Fixation Permeabilization: Use PFA/Triton X-100.

Formulation, Preparation, and Storage

Purification

Affinity purified

Formulation

PBS (pH 7.2) and 40% Glycerol

Format

BSA Free

Preservative

0.02% Sodium Azide

Concentration

Concentrations vary lot to lot. See vial label for concentration. If unlisted please contact technical services.

Shipping

The product is shipped with polar packs. Upon receipt, store it immediately at the temperature recommended below.

Stability & Storage

Store at 4C short term. Aliquot and store at -20C long term. Avoid freeze-thaw cycles.

Background: GFAP

Glial fibrillary acidic protein (GFAP) is a class III intermediate filament protein that is largely expressed in astrocytes in addition to non-myelinating Schwann cells and glial cells (1,2). Other members of the type III intermediate filament family include desmin, peripherin, and vimentin (2-4). GFAP was first identified in the brains of multiple sclerosis patients (2). Human GFAP protein is 432 amino acids in length with a theoretical molecular weight of ~50 kDa (1,3). GFAP has at least 10 known isoforms, with the most prevalent and common in the brain being GFAP-alpha which is made of a head domain, a rod domain with four coils (1A, 1B, 2A, 2B) joined by linker regions, and a tail domain (1). GFAP is a marker of mature astrocytes, but is also expressed throughout development in both fetal and adult neural stem cells (2). While the exact function of GFAP is still elusive, it has been shown to play a role in cellular processes such as migration, mitosis, structural integrity, and signaling (2).

An increase in GFAP levels is often associated with neuroinflammation which results in the activation and proliferation of astroglia cell population (1,2). GFAP expression is also observed in brains of patients with neurodegenerative diseases including Alzheimer's and Parkinson's, epilepsy disorders, and brain injuries (1-4). Lesion sites associated with neurodegeneration can exhibit an array of gliosis characteristics from glial scarring with reduced astrocyte proliferation to activated, GFAP-positive astrocytes surrounding amyloid plaques (2). Furthermore, the GFAP gene is a target of single nucleotide polymorphisms in the coding region, considered a gain-of-function mutation, characterized by astrocytic inclusions, termed Rosenthal fibers, resulting in Alexander Disease (1-4). GFAP is also a center of many post-translational modifications, such as phosphorylation, which can alter various aspects of filament assembly (1,4).

References

1. Yang, Z., & Wang, K. K. (2015). Glial fibrillary acidic protein: from intermediate filament assembly and gliosis to neurobiomarker. Trends in Neurosciences. https://doi.org/10.1016/j.tins.2015.04.003

2. Hol, E. M., & Capetanaki, Y. (2017). Type III Intermediate Filaments Desmin, Glial Fibrillary Acidic Protein (GFAP), Vimentin, and Peripherin. Cold Spring Harbor Perspectives in Biology. https://doi.org/10.1101/cshperspect.a021642

3. Potokar, M., Morita, M., Wiche, G., & Jorgacevski, J. (2020). The Diversity of Intermediate Filaments in Astrocytes. Cells. https://doi.org/10.3390/cells9071604

4. Viedma-Poyatos, a., Pajares, M. A., & Perez-Sala, D. (2020). Type III intermediate filaments as targets and effectors of electrophiles and oxidants. Redox Biology. https://doi.org/10.1016/j.redox.2020.101582

Long Name

Glial Fibrillary Acidic Protein

Alternate Names

ALXDRD, FLJ45472, GFAP, GFAP astrocytes, glial fibrillary acidic protein

Gene Symbol

GFAP

UniProt

Additional GFAP Products

Product Documents for GFAP Antibody - BSA Free

Certificate of Analysis

To download a Certificate of Analysis, please enter a lot number in the search box below.

Product Specific Notices for GFAP Antibody - BSA Free

This product is for research use only and is not approved for use in humans or in clinical diagnosis. Primary Antibodies are guaranteed for 1 year from date of receipt.

Loading...
Loading...
Loading...
Loading...