Skip to main content

Gelsolin/GSN Antibody - BSA Free

Novus Biologicals, part of Bio-Techne | Catalog # NBP1-33177

Novus Biologicals, part of Bio-Techne
Catalog #
Availability
Size / Price
Qty
Loading...
NBP1-33177

Key Product Details

Validated by

Knockout/Knockdown

Species Reactivity

Validated:

Human, Mouse, Rat

Cited:

Human

Predicted:

Bovine (98%), Sheep (98%). Backed by our 100% Guarantee.

Applications

Validated:

Knockout Validated, Immunohistochemistry, Immunohistochemistry-Paraffin, Western Blot, Immunocytochemistry/ Immunofluorescence

Cited:

Western Blot

Label

Unconjugated

Antibody Source

Polyclonal Rabbit IgG

Format

BSA Free

Concentration

Concentrations vary lot to lot. See vial label for concentration. If unlisted please contact technical services.

Product Specifications

Immunogen

Recombinant protein encompassing a sequence within the C-terminus region of human Gelsolin/GSN. The exact sequence is proprietary.

Reactivity Notes

Chicken (81%).

Localization

Isoform 2: Cytoplasm, cytoskeleton, Isoform 1: Secreted

Clonality

Polyclonal

Host

Rabbit

Isotype

IgG

Theoretical MW

86 kDa.
Disclaimer note: The observed molecular weight of the protein may vary from the listed predicted molecular weight due to post translational modifications, post translation cleavages, relative charges, and other experimental factors.

Description

Novus Biologicals Knockout (KO) Validated Rabbit Gelsolin/GSN Antibody - BSA Free (NBP1-33177) is a polyclonal antibody validated for use in IHC, WB and ICC/IF. Anti-Gelsolin/GSN Antibody: Cited in 2 publications. All Novus Biologicals antibodies are covered by our 100% guarantee.

Scientific Data Images for Gelsolin/GSN Antibody - BSA Free

Western Blot: Gelsolin/GSN Antibody [NBP1-33177]

Western Blot: Gelsolin/GSN Antibody [NBP1-33177]

Western Blot: Gelsolin/GSN Antibody [NBP1-33177] - Non-transfected (-) and transfected (+) HeLa whole cell extracts (30 ug) were separated by 7.5% SDS-PAGE, and the membrane was blotted with Gelsolin antibody [C2C3], C-term.
Immunocytochemistry/ Immunofluorescence: Gelsolin/GSN Antibody [NBP1-33177]

Immunocytochemistry/ Immunofluorescence: Gelsolin/GSN Antibody [NBP1-33177]

Immunocytochemistry/Immunofluorescence: Gelsolin/GSN Antibody [NBP1-33177] - Methanol-fixed HeLa, using Gelsolin antibody (Green) at 1:500 dilution. Alpha-tubulin filaments were labeled with Red at 1:2000.
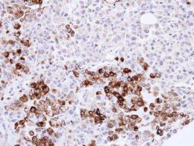
Immunohistochemistry-Paraffin: Gelsolin/GSN Antibody [NBP1-33177]

Immunohistochemistry-Paraffin: Gelsolin/GSN Antibody [NBP1-33177]

Immunohistochemistry-Paraffin: Gelsolin/GSN Antibody [NBP1-33177] - H1299 xenograft, using Gelsolin antibody at 1:500 dilution. Antigen Retrieval: Trilogy™ (EDTA based, pH 8.0) buffer, 15min

Applications for Gelsolin/GSN Antibody - BSA Free

Application
Recommended Usage

Immunocytochemistry/ Immunofluorescence

1:100-1:1000

Immunohistochemistry

1:100-1:1000

Immunohistochemistry-Paraffin

1:100-1:1000

Western Blot

1:500-1:3000

Formulation, Preparation, and Storage

Purification

Antigen Affinity-purified

Formulation

PBS, 20% Glycerol

Format

BSA Free

Preservative

0.025% Proclin 300

Concentration

Concentrations vary lot to lot. See vial label for concentration. If unlisted please contact technical services.

Shipping

The product is shipped with polar packs. Upon receipt, store it immediately at the temperature recommended below.

Stability & Storage

Aliquot and store at -20C or -80C. Avoid freeze-thaw cycles.

Background: Gelsolin/GSN

Gelsolin is a calcium regulated actin binding protein. Gelsolin is a regulator of actin filament assembly and disassembly and consists of six homologous subdomains (S1-S6). When C-terminal tail (S6) is bound to calcium ion, it straightens and exposes actin binding sites located on S2s helices, leading to Gelsolin actin-serving activity (1). Gelsolin is inhibited by phosphatidylinositol (4,5)-bisphosphate (PIP2), where PIP2 will bind to S1, S2, and S3 sites. Gelsolin is involved in podosome formation and has been linked to inhibition of apoptosis by preventing release of cytochrome C (2).

Alternate Names

ADF, AGEL, Brevin, GSN

Gene Symbol

GSN

Additional Gelsolin/GSN Products

Product Documents for Gelsolin/GSN Antibody - BSA Free

Certificate of Analysis

To download a Certificate of Analysis, please enter a lot number in the search box below.

Product Specific Notices for Gelsolin/GSN Antibody - BSA Free

This product is for research use only and is not approved for use in humans or in clinical diagnosis. Primary Antibodies are guaranteed for 1 year from date of receipt.

Loading...
Loading...
Loading...
Loading...

⚠ WARNING: This product can expose you to chemicals including mercury, which is known to the State of California to cause reproductive toxicity with developmental effects.  For more information go to www.P65Warnings.ca.gov.