Skip to main content

GATA-3 Antibody (OTI8H4) - Azide and BSA Free

Novus Biologicals, part of Bio-Techne | Catalog # NBP2-70796

Novus Biologicals, part of Bio-Techne

Key Product Details

Species Reactivity

Human, Mouse, Rat

Applications

Immunohistochemistry, Immunohistochemistry-Paraffin, Western Blot, Flow Cytometry

Label

Unconjugated

Antibody Source

Monoclonal Mouse IgG1 Clone # OTI8H4

Format

Azide and BSA Free

Concentration

LYOPH mg/ml

Product Specifications

Immunogen

Human recombinant protein fragment corresponding to amino acids 155-443 of human GATA3 (NP_002042) produced in E.coli.

Reactivity Notes

Please note that this antibody is reactive to Mouse and derived from the same host, Mouse. Mouse-On-Mouse blocking reagent may be needed for IHC and ICC experiments to reduce high background signal. You can find these reagents under catalog numbers PK-2200-NB and MP-2400-NB. Please contact Technical Support if you have any questions.

Clonality

Monoclonal

Host

Mouse

Isotype

IgG1

Theoretical MW

47.9 kDa.
Disclaimer note: The observed molecular weight of the protein may vary from the listed predicted molecular weight due to post translational modifications, post translation cleavages, relative charges, and other experimental factors.

Description

Novus Biologicals Mouse GATA-3 Antibody (OTI8H4) - Azide and BSA Free (NBP2-45810) is a monoclonal antibody validated for use in IHC, WB and Flow. All Novus Biologicals antibodies are covered by our 100% guarantee.

Scientific Data Images for GATA-3 Antibody (OTI8H4) - Azide and BSA Free

Western Blot: GATA-3 Antibody (OTI8H4)Azide and BSA Free [NBP2-70796]

Western Blot: GATA-3 Antibody (OTI8H4)Azide and BSA Free [NBP2-70796]

Western Blot: GATA-3 Antibody (OTI8H4) - Azide and BSA Free [NBP2-70796] - Analysis (35ug) from 3 different cell lines by using anti-GATA3 monoclonal antibody.(1:200)
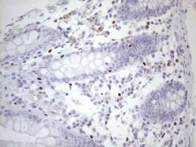
Immunohistochemistry: GATA-3 Antibody (OTI8H4) - Azide and BSA Free [NBP2-70796]

Immunohistochemistry: GATA-3 Antibody (OTI8H4) - Azide and BSA Free [NBP2-70796]

Immunohistochemistry: GATA-3 Antibody (OTI8H4) - Azide and BSA Free [NBP2-70796] - Analysis of Human lymphoma tissue. (Heat-induced epitope retrieval by 1mM EDTA in 10mM Tris buffer (pH8.5) at 120C for 3 min)
Flow Cytometry: GATA-3 Antibody (OTI8H4) - Azide and BSA Free [NBP2-70796]

Flow Cytometry: GATA-3 Antibody (OTI8H4) - Azide and BSA Free [NBP2-70796]

Flow Cytometry: GATA-3 Antibody (OTI8H4) - Azide and BSA Free [NBP2-70796] - Flow cytometric Analysis of penetrated MCF-7 cells,, compared to a nonspecific negative control antibody,(Blue). The right is HUVEC cells as negative control.(1:100)

Applications for GATA-3 Antibody (OTI8H4) - Azide and BSA Free

Application
Recommended Usage

Immunohistochemistry

1:200

Immunohistochemistry-Paraffin

1:200

Formulation, Preparation, and Storage

Purification

Immunogen affinity purified

Reconstitution

we recommend adding 100uL distilled water to a final antibody concentration of about 1 mg/mL. To use this carrier-free antibody for conjugation experiment, we strongly recommend performing another round of desalting process.

Formulation

Lyophilized from PBS (pH 7.3) with 8% Trehalose

Format

Azide and BSA Free

Preservative

No Preservative

Concentration

LYOPH mg/ml

Shipping

The product is shipped with polar packs. Upon receipt, store it immediately at the temperature recommended below.

Stability & Storage

Store at -20C. Avoid freeze-thaw cycles.

Background: GATA-3

The GATA3 gene encodes a protein which belongs to the GATA family of transcription factors. The protein contains twoGATA-type zinc fingers and is an important regulator of T-cell development and plays an important role in endothelialcell biology. Defects in th

Alternate Names

GATA3

Gene Symbol

GATA3

Additional GATA-3 Products

Product Documents for GATA-3 Antibody (OTI8H4) - Azide and BSA Free

Certificate of Analysis

To download a Certificate of Analysis, please enter a lot number in the search box below.

Product Specific Notices for GATA-3 Antibody (OTI8H4) - Azide and BSA Free

This product is for research use only and is not approved for use in humans or in clinical diagnosis. Primary Antibodies are guaranteed for 1 year from date of receipt.

Loading...
Loading...
Loading...
Loading...
Loading...
Loading...