Skip to main content

GAPDH Antibody (BLR103H)

Novus Biologicals, part of Bio-Techne | Catalog # NBP3-14695

Recombinant Monoclonal Antibody
Novus Biologicals, part of Bio-Techne
Catalog #
Availability
Size / Price
Qty
Loading...
NBP3-14695

Key Product Details

Species Reactivity

Human, Mouse

Applications

Multiplex Immunofluorescence, Immunohistochemistry, Immunohistochemistry-Paraffin, Western Blot, Immunocytochemistry/ Immunofluorescence

Label

Unconjugated

Antibody Source

Recombinant Monoclonal Rabbit Clone # BLR103H

Concentration

Please see the vial label for concentration. If unlisted please contact technical services.

Product Specifications

Immunogen

Immunogen was a peptide representing a region between residue 225 and 275 of human glyceraldehyde-3-phosphate dehydrogenase using the numbering given in entry NP_002037.2 (Gene ID 2597).

Clonality

Monoclonal

Host

Rabbit

Description

Novus Biologicals Rabbit GAPDH Antibody (BLR103H) (NBP3-14695) is a recombinant monoclonal antibody validated for use in Multiplex Immunofluorescence, IHC, WB and ICC/IF. All Novus Biologicals antibodies are covered by our 100% guarantee.

Scientific Data Images for GAPDH Antibody (BLR103H)

Western Blot: GAPDH Antibody (BLR103H) [NBP3-14695]

Western Blot: GAPDH Antibody (BLR103H) [NBP3-14695]

Western Blot: GAPDH Antibody (BLR103H) [NBP3-14695] - Whole cell lysate (15 ug) from EL4, mIMCD-3, RenCa, NIH 3T3, TCMK-1, C2C12, A20, and Ba/F3 cells prepared using NETN lysis buffer. Antibody: Rabbit anti-GAPDH recombinant monoclonal antibody used at 1:1000. Secondary: HRP-conjugated goat anti-rabbit IgG . Chemiluminescence with an exposure time of 10 seconds.
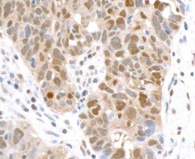
Immunohistochemistry: GAPDH Antibody (BLR103H) [NBP3-14695]

Immunohistochemistry: GAPDH Antibody (BLR103H) [NBP3-14695]

Immunohistochemistry: GAPDH Antibody (BLR103H) [NBP3-14695] - Rabbit anti-GAPDH recombinant monoclonal antibody. Secondary HRP-conjugated goat anti-rabbit IgG. Substrate:DAB
Western Blot: GAPDH Antibody (BLR103H) [NBP3-14695]

Western Blot: GAPDH Antibody (BLR103H) [NBP3-14695]

Western Blot: GAPDH Antibody (BLR103H) [NBP3-14695] - Whole cell lysate (50 ug) from HeLa, Jurkat, RKO, U2OS, GaMG, LNCaP, MCF-7, K-562, HEK293T, and Hep-G2 cells prepared using NETN lysis buffer. Rabbit anti-GAPDH recombinant monoclonal antibody used at 1:1000. Secondary: HRP-conjugated goat anti-rabbit IgG. Chemiluminescence with an exposure time of 1 second.

Applications for GAPDH Antibody (BLR103H)

Application
Recommended Usage

Immunocytochemistry/ Immunofluorescence

1:100 to 1:500

Immunohistochemistry

1:100 to 1:500

Immunohistochemistry-Paraffin

1:100 to 1:500

Western Blot

1:1000
Application Notes
Epitope retrieval with citrate buffer pH6.0 is recommended for FFPE cell sections.

Formulation, Preparation, and Storage

Purification

>95%

Formulation

Borate Buffered Saline (BBS) pH 8.2 with 0.1% BSA and

Preservative

0.09% Sodium Azide

Concentration

Please see the vial label for concentration. If unlisted please contact technical services.

Shipping

The product is shipped with polar packs. Upon receipt, store it immediately at the temperature recommended below.

Stability & Storage

Store at 2 - 8 C / 1 year from date of receipt

Background: GAPDH

Glyceraldehyde 3-Phosphate Dehydrogenase (GAPDH) is a ubiquitous enzyme involved in glycolysis, converting glyceraldehyde-3-phosphate into 1,3 diphosphoglycerate. This constitutively expressed, homotetramer protein can be found in the nucleus and cytoplasm, and the monomer has a theoretical molecular weight of 36 kDa. Known as a housekeeping gene, GAPDH routinely serves as a control for real-time PCR (RT-PCR) and as a loading control for Western Blots (1-3). In addition to its role in glycolysis, GAPDH has multiple cellular functions including membrane trafficking, transcription activation, apoptosis, DNA repair, and has been implicated in various pathologies such as cancer and neurodegenerative diseases including Alzheimer's and Huntington's (4,5).

References

1) Barber RD, Harmer DW, Coleman RA, Clark BJ. (2005) GAPDH as a housekeeping gene: analysis of GAPDH mRNA expression in a panel of 72 human tissues. Physiol Genomics. 21(3):389-95. PMID: 15769908

2) Jia Y, Takimoto K. (2006) Mitogen-activated protein kinases control cardiac KChIP2 gene expression. Circ Res. 98(3):386-93. PMID: 16385079

3) Godsel LM, Hsieh SN, Amargo EV, Bass AE, Pascoe-McGillicuddy LT, Huen AC, Thorne ME, Gaudry CA, Park JK, Myung K, Goldman RD, Chew TL, Green KJ. (2005) Desmoplakin assembly dynamics in four dimensions: multiple phases differentially regulated by intermediate filaments and actin. J Cell Biol. 171(6):1045-59. PMID: 16365169

4) Sirover MA1. (1999) New insights into an old protein: the functional diversity of mammalian glyceraldehyde-3-phosphate dehydrogenase. Biochim Biophys Acta. 1432(2): 159-84. PMID: 10407139

5) Tristan C, Shahani N, Sedlak TW, Sawa A. (2011) The diverse functions of GAPDH: views from different subcellular compartments. Cell Signal. 23(2):317-23. PMID: 20727968

Long Name

Glyceraldehyde-3-phosphate Dehydrogenase

Alternate Names

G3PDH

Gene Symbol

GAPDH

Additional GAPDH Products

Product Documents for GAPDH Antibody (BLR103H)

Certificate of Analysis

To download a Certificate of Analysis, please enter a lot number in the search box below.

Product Specific Notices for GAPDH Antibody (BLR103H)

This product is for research use only and is not approved for use in humans or in clinical diagnosis. Primary Antibodies are guaranteed for 1 year from date of receipt.

Loading...
Loading...
Loading...
Loading...
Loading...