Skip to main content

Gamma Adaptin Antibody (PSH02-65)

Novus Biologicals, part of Bio-Techne | Catalog # NBP3-32365

Recombinant Monoclonal Antibody
Novus Biologicals, part of Bio-Techne
Catalog #
Availability
Size / Price
Qty
Loading...
NBP3-32365

Key Product Details

Species Reactivity

Human, Mouse, Rat

Applications

Immunohistochemistry, Immunohistochemistry-Paraffin, Western Blot

Label

Unconjugated

Antibody Source

Recombinant Monoclonal Rabbit IgG Clone # PSH02-65 expressed in HEK293

Concentration

1 mg/ml

Product Specifications

Immunogen

Recombinant protein within human Gamma Adaptin aa 623-822 / 822. (Uniprot: O43747)

Localization

Golgi apparatus, Cytoplasmic vesicle, clathrin-coated vesicle membrane, Cytoplasm, perinuclear region,

Clonality

Monoclonal

Host

Rabbit

Isotype

IgG

Theoretical MW

91 kDa.
Disclaimer note: The observed molecular weight of the protein may vary from the listed predicted molecular weight due to post translational modifications, post translation cleavages, relative charges, and other experimental factors.

Description

Novus Biologicals Rabbit Gamma Adaptin Antibody (PSH02-65) (NBP3-32365) is a recombinant monoclonal antibody validated for use in IHC and WB. All Novus Biologicals antibodies are covered by our 100% guarantee.

Scientific Data Images for Gamma Adaptin Antibody (PSH02-65)

Gamma Adaptin Antibody (PSH02-65)

Western Blot: Gamma Adaptin Antibody (PSH02-65) [NBP3-32365]

Western Blot: Gamma Adaptin Antibody (PSH02-65) [NBP3-32365] - Western blot analysis of Gamma Adaptin on different lysates with Rabbit anti-Gamma Adaptin antibody (NBP3-32365) at 1/1,000 dilution.
Lane 1: HeLa cell lysate (20 µg/Lane)
Lane 2: 293T cell lysate (20 µg/Lane)
Lane 3: Jurkat cell lysate (20 µg/Lane)
Lane 4: HepG2 cell lysate (20 µg/Lane)
Lane 5: Raji cell lysate (20 µg/Lane)
Lane 6: MCF7 cell lysate (20 µg/Lane)
Lane 7: A549 cell lysate (20 µg/Lane)
Lane 8: NIH/3T3 cell lysate (20 µg/Lane)
Lane 9: RAW264.7 cell lysate (20 µg/Lane)
Lane 10: PC-12 cell lysate (20 µg/Lane)
Lane 11: Mouse kidney tissue lysate (40 µg/Lane)
Lane 12: Mouse liver tissue lysate (40 µg/Lane)
Lane 13: Rat kidney tissue lysate (40 µg/Lane)
Lane 14: Rat liver tissue lysate (40 µg/Lane)

Predicted band size: 91 kDa
Observed band size: 91 kDa

Exposure time: 1 minute 46 seconds;

4-20% SDS-PAGE gel.

Proteins were transferred to a PVDF membrane and blocked with 5% NFDM/TBST for 1 hour at room temperature. The primary antibody at 1/1,000 dilution was used in 5% NFDM/TBST at 4℃ overnight. Goat Anti-Rabbit IgG - HRP Secondary Antibody at 1/50,000 dilution was used for 1 hour at room temperature.
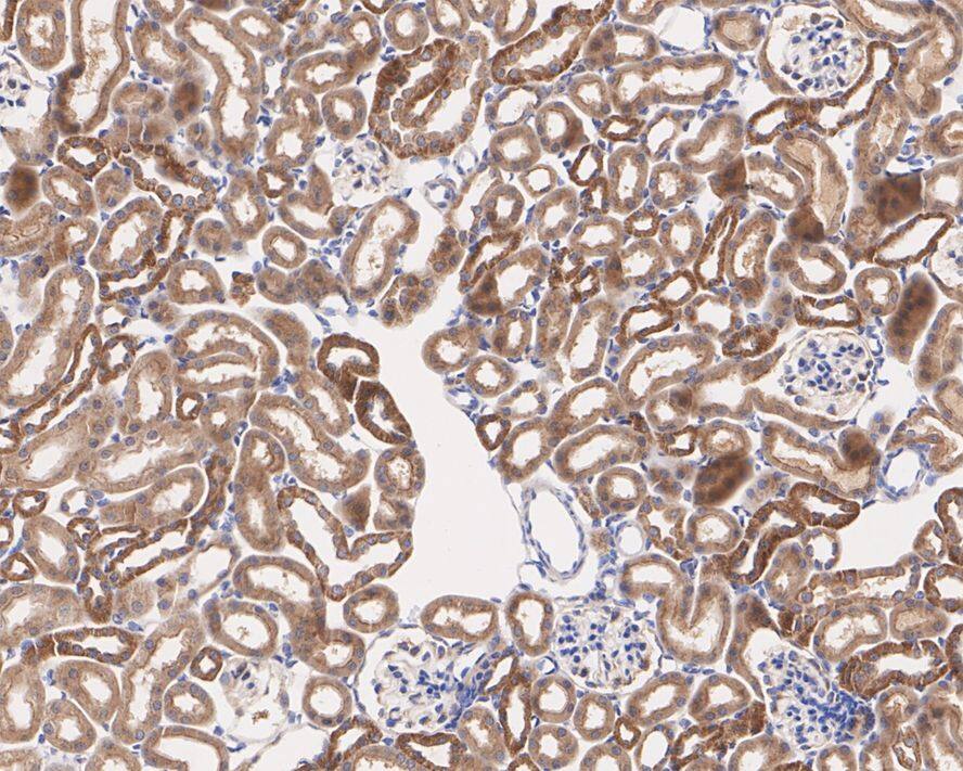
Gamma Adaptin Antibody (PSH02-65)

Immunohistochemistry: Gamma Adaptin Antibody (PSH02-65) [NBP3-32365]

Immunohistochemistry: Gamma Adaptin Antibody (PSH02-65) [NBP3-32365] - Immunohistochemical analysis of paraffin-embedded mouse kidney tissue with Rabbit anti-Gamma Adaptin antibody (NBP3-32365) at 1/200 dilution.

The section was pre-treated using heat mediated antigen retrieval with Tris-EDTA buffer (pH 9.0) for 20 minutes. The tissues were blocked in 1% BSA for 20 minutes at room temperature, washed with ddH2O and PBS, and then probed with the primary antibody (NBP3-32365) at 1/200 dilution for 1 hour at room temperature. The detection was performed using an HRP conjugated compact polymer system. DAB was used as the chromogen. Tissues were counterstained with hematoxylin and mounted with DPX.

Applications for Gamma Adaptin Antibody (PSH02-65)

Application
Recommended Usage

Immunohistochemistry-Paraffin

1:200

Western Blot

1:1000

Formulation, Preparation, and Storage

Purification

Protein A purified

Formulation

PBS (pH7.4), 0.1% BSA and 40% Glycerol

Preservative

0.05% Sodium Azide

Concentration

1 mg/ml

Shipping

The product is shipped with polar packs. Upon receipt, store it immediately at the temperature recommended below.

Stability & Storage

Store at 4C short term. Aliquot and store at -20C long term. Avoid freeze-thaw cycles.

Background: Gamma Adaptin

Adaptins are important components of clathrin-coated vesicles transporting ligand-receptor complexes from the plasma membrane or from the trans-Golgi network to lysosomes. The adaptin family of proteins is composed of four classes of molecules named alpha, beta, beta prime and gamma adaptins. Adaptins, together with medium and small subunits, form a heterotetrameric complex called an adaptor, whose role is to promote the formation of clathrin-coated pits and vesicles. The protein encoded by this gene is a gamma-adaptin protein and it belongs to the adaptor complexes large subunits family.

Alternate Names

Adapter-related protein complex 1 subunit gamma-1, Adaptor protein complex AP-1 subunit gamma-1, adaptor-related protein complex 1, gamma 1 subunit, ADTGclathrin assembly protein complex 1 gamma large chain, AP-1 complex subunit gamma-1, CLAPG1clathrin-associated/assembly/adaptor protein, large, gamma 1, Clathrin assembly protein complex 1 gamma-1 large chain, gamma adaptin, gamma1-adaptin, golgi adaptor HA1/AP1 adaptin gamma subunit, Golgi adaptor HA1/AP1 adaptin subunit gamma-1, MGC18255

Gene Symbol

AP1G1

Additional Gamma Adaptin Products

Product Documents for Gamma Adaptin Antibody (PSH02-65)

Certificate of Analysis

To download a Certificate of Analysis, please enter a lot number in the search box below.

Product Specific Notices for Gamma Adaptin Antibody (PSH02-65)

This product is for research use only and is not approved for use in humans or in clinical diagnosis. Primary Antibodies are guaranteed for 1 year from date of receipt.

Loading...
Loading...
Loading...
Loading...