GALNTL5 Antibody - BSA Free
Novus Biologicals, part of Bio-Techne | Catalog # NBP1-81847
Key Product Details
Validated by
Orthogonal Validation
Species Reactivity
Human
Applications
Immunohistochemistry, Immunohistochemistry-Paraffin, Western Blot
Label
Unconjugated
Antibody Source
Polyclonal Rabbit IgG
Format
BSA Free
Concentration
Concentrations vary lot to lot. See vial label for concentration. If unlisted please contact technical services.
Product Specifications
Immunogen
This antibody was developed against Recombinant Protein corresponding to amino acids: HCEVNRVWLEPLLHAIAKDPKMVVCPLIDVIDDRTLEYKPSPLVRGTFDWNLQFKWDNVFSYEMDGPEGSTKPIRSPAMSGGIFAIRRHYFNEIGQYDKDMD
Reactivity Notes
Immunogen displays the following percentage of sequence identity for non-tested species: Rat (82%)
Clonality
Polyclonal
Host
Rabbit
Isotype
IgG
Description
Novus Biologicals Rabbit GALNTL5 Antibody - BSA Free (NBP1-81847) is a polyclonal antibody validated for use in IHC and WB. All Novus Biologicals antibodies are covered by our 100% guarantee.
Scientific Data Images for GALNTL5 Antibody - BSA Free
Western Blot: GALNTL5 Antibody [NBP1-81847]
Western Blot: GALNTL5 Antibody [NBP1-81847] - Analysis in control (vector only transfected HEK293T lysate) and GALNTL5 over-expression lysate (Co-expressed with a C-terminal myc-DDK tag (3.1 kDa) in mammalian HEK293T cells).Immunohistochemistry-Paraffin: GALNTL5 Antibody [NBP1-81847]
Immunohistochemistry-Paraffin: GALNTL5 Antibody [NBP1-81847] - Staining of human Testis shows strong granular cytoplasmic positivity in cells in seminiferous ducts.Immunohistochemistry-Paraffin: GALNTL5 Antibody [NBP1-81847]
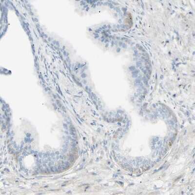
Immunohistochemistry-Paraffin: GALNTL5 Antibody [NBP1-81847] - Staining of human prostate shows low expression as expected.Applications for GALNTL5 Antibody - BSA Free
Application
Recommended Usage
Immunohistochemistry
1:50 - 1:200
Immunohistochemistry-Paraffin
1:50-1:200
Western Blot
1:100-1:500
Application Notes
For IHC-Paraffin, HIER pH 6 retrieval is recommended.
Formulation, Preparation, and Storage
Purification
Affinity purified
Formulation
PBS (pH 7.2) and 40% Glycerol
Format
BSA Free
Preservative
0.02% Sodium Azide
Concentration
Concentrations vary lot to lot. See vial label for concentration. If unlisted please contact technical services.
Shipping
The product is shipped with polar packs. Upon receipt, store it immediately at the temperature recommended below.
Stability & Storage
Store at 4C short term. Aliquot and store at -20C long term. Avoid freeze-thaw cycles.
Background: GALNTL5
Alternate Names
EC 2.4.1.-, EC 2.4.1.41, GalNAc-T15, GALNT15, Polypeptide GalNAc transferase 15, pp-GaNTase 15, Protein-UDP acetylgalactosaminyltransferase 15, putative polypeptide N-acetylgalactosaminyltransferase-like protein 5, UDP-GalNAc:polypeptide N-acetylgalactosaminyltransferase 15, UDP-N-acetyl-alpha-D-galactosamine:polypeptideN-acetylgalactosaminyltransferase 15, UDP-N-acetyl-alpha-D-galactosamine:polypeptideN-acetylgalactosaminyltransferase-like 5
Gene Symbol
GALNTL5
Additional GALNTL5 Products
Product Documents for GALNTL5 Antibody - BSA Free
Product Specific Notices for GALNTL5 Antibody - BSA Free
This product is for research use only and is not approved for use in humans or in clinical diagnosis. Primary Antibodies are guaranteed for 1 year from date of receipt.
Loading...
Loading...
Loading...
Loading...