Skip to main content

GALNTL2 Antibody - BSA Free

Novus Biologicals, part of Bio-Techne | Catalog # NBP3-46269

Novus Biologicals, part of Bio-Techne
Catalog #
Availability
Size / Price
Qty
Loading...
NBP3-46269

Key Product Details

Species Reactivity

Human

Applications

Immunohistochemistry, Western Blot, ELISA

Label

Unconjugated

Antibody Source

Polyclonal Rabbit IgG

Format

BSA Free

Concentration

Please see the vial label for concentration. If unlisted please contact technical services.

Product Specifications

Immunogen

UDP-N-acetyl-alpha-D-galactosamine:polypeptide N-acetylgalactosaminyltransferase-like 2. (Uniprot# Q8N3T1)

Clonality

Polyclonal

Host

Rabbit

Isotype

IgG

Description

Novus Biologicals Rabbit GALNTL2 Antibody - BSA Free (NBP3-46269) is a polyclonal antibody validated for use in IHC, WB and ELISA. All Novus Biologicals antibodies are covered by our 100% guarantee.

Scientific Data Images for GALNTL2 Antibody - BSA Free

GALNTL2 Antibody - BSA Free

Western Blot: GALNTL2 Antibody - BSA Free [NBP3-46269] -

Western Blot: GALNTL2 Antibody - BSA Free [NBP3-46269] - HEK-293 cells were subjected to SDS PAGE followed by western blot with (GALNTL2 antibody) at dilution of 1:200
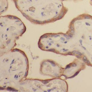
GALNTL2 Antibody - BSA Free

Immunohistochemistry: GALNTL2 Antibody - BSA Free [NBP3-46269] -

Immunohistochemistry: GALNTL2 Antibody - BSA Free [NBP3-46269] - Immunohistochemistry of paraffin-embedded human placenta using (GALNTL2 antibody) at dilution of 1:50

Applications for GALNTL2 Antibody - BSA Free

Application
Recommended Usage

Immunohistochemistry

1:20-1:200

Western Blot

1:500-1:2000
Application Notes
Theoretical Molecular Weight is 65-70 kDa

Formulation, Preparation, and Storage

Purification

Immunogen affinity purified

Formulation

PBS, 50% Glycerol, pH (7.3)

Format

BSA Free

Preservative

0.02% Sodium Azide

Concentration

Please see the vial label for concentration. If unlisted please contact technical services.

Shipping

The product is shipped with polar packs. Upon receipt, store it immediately at the temperature recommended below.

Stability & Storage

Store at -20C. Avoid freeze-thaw cycles.

Background: GALNTL2

GALNTL2 catalyzes the initial reaction in O-linked oligosaccharide biosynthesis, the transfer of anN-acetyl-D-galactosamine residue to a serine or threonine residue on the protein receptor. Displays the same enzymeactivity toward Muc1, Muc4.1, and EA2 than GALNT1

Alternate Names

DKFZp686H1113, EC 2.4.1.41, GalNAc-T-like protein 2, GALNT13, GALNT15, GALNT7, PIH5, Polypeptide GalNAc transferase-like protein 2, polypeptide N-acetylgalactosaminyltransferase 13, polypeptide N-acetylgalactosaminyltransferase-like protein 2, pp-GaNTase-like protein 2, pregnancy-induced hypertension syndrome-related protein 5, Protein-UDP acetylgalactosaminyltransferase-like protein 2, UDP-GalNAc transferase T15, UDP-GalNAc:polypeptide N-acetylgalactosaminyltransferase-like protein 2, UDP-N-acetyl-alpha-D-galactosamine:polypeptideN-acetylgalactosaminyltransferase 7, UDP-N-acetyl-alpha-D-galactosamine:polypeptideN-acetylgalactosaminyltransferase-like 2

Gene Symbol

GALNTL2

Additional GALNTL2 Products

Product Documents for GALNTL2 Antibody - BSA Free

Certificate of Analysis

To download a Certificate of Analysis, please enter a lot number in the search box below.

Product Specific Notices for GALNTL2 Antibody - BSA Free

This product is for research use only and is not approved for use in humans or in clinical diagnosis. Primary Antibodies are guaranteed for 1 year from date of receipt.

Loading...
Loading...
Loading...
Loading...