Skip to main content

Galectin-9 Antibody (OTI1D12)

Novus Biologicals, part of Bio-Techne | Catalog # NBP2-45619

Novus Biologicals, part of Bio-Techne

Key Product Details

Species Reactivity

Validated:

Human, Mouse

Cited:

Mouse

Applications

Validated:

Immunohistochemistry, Immunohistochemistry-Paraffin, Western Blot

Cited:

Immunohistochemistry-Paraffin

Label

Unconjugated

Antibody Source

Monoclonal Mouse IgG2B Clone # OTI1D12

Concentration

1 mg/ml

Product Specifications

Immunogen

Full length human recombinant protein of human LGALS9 (NP_002299) produced in HEK293T cell.

Reactivity Notes

Mouse reactivity reported in scientific literature (PMID: 29316433). Please note that this antibody is reactive to Mouse and derived from the same host, Mouse. Mouse-On-Mouse blocking reagent may be needed for IHC and ICC experiments to reduce high background signal. You can find these reagents under catalog numbers PK-2200-NB and MP-2400-NB. Please contact Technical Support if you have any questions.

Clonality

Monoclonal

Host

Mouse

Isotype

IgG2B

Theoretical MW

35.7 kDa.
Disclaimer note: The observed molecular weight of the protein may vary from the listed predicted molecular weight due to post translational modifications, post translation cleavages, relative charges, and other experimental factors.

Description

Novus Biologicals Mouse Galectin-9 Antibody (OTI1D12) (NBP2-45619) is a monoclonal antibody validated for use in IHC and WB. Anti-Galectin-9 Antibody: Cited in 2 publications. All Novus Biologicals antibodies are covered by our 100% guarantee.

Scientific Data Images for Galectin-9 Antibody (OTI1D12)

Western Blot: Galectin-9 Antibody (OTI1D12) [NBP2-45619]

Western Blot: Galectin-9 Antibody (OTI1D12) [NBP2-45619]

Western Blot: Galectin-9 Antibody (1D12) [NBP2-45619] - Analysis of HEK293T cells were transfected with the pCMV6-ENTRY control (Left lane) or pCMV6-ENTRY Galectin-9.
Immunohistochemistry: Galectin-9 Antibody (OTI1D12) [NBP2-45619]

Immunohistochemistry: Galectin-9 Antibody (OTI1D12) [NBP2-45619]

Immunohistochemistry: Galectin-9 Antibody (1D12) [NBP2-45619] - Analysis of Human tonsil tissue. (Heat-induced epitope retrieval by 1 mM EDTA in 10mM Tris, pH8.5, 120C for 3min)
Immunohistochemistry: Galectin-9 Antibody (OTI1D12) [NBP2-45619]

Immunohistochemistry: Galectin-9 Antibody (OTI1D12) [NBP2-45619]

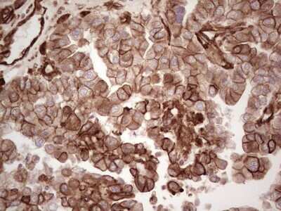
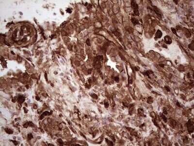
Immunohistochemistry: Galectin-9 Antibody (1D12) [NBP2-45619] - Analysis of Adenocarcinoma of Human breast tissue. (Heat-induced epitope retrieval by 1 mM EDTA in 10mM Tris, pH8.5, 120C for 3min)

Applications for Galectin-9 Antibody (OTI1D12)

Application
Recommended Usage

Immunohistochemistry

1:150

Western Blot

1:2000

Formulation, Preparation, and Storage

Purification

Immunogen affinity purified

Formulation

PBS (pH 7.3), 1.0% BSA and 50% Glycerol

Preservative

0.02% Sodium Azide

Concentration

1 mg/ml

Shipping

The product is shipped with polar packs. Upon receipt, store it immediately at the temperature recommended below.

Stability & Storage

Store at -20C. Avoid freeze-thaw cycles.

Background: Galectin-9

The galectins are a family of beta-galactoside-binding proteins implicated in modulating cell-cell and cell-matrix interactions. Galectin 9 is an S-type lectin and an eosinophil chemoattractant (ECA) produced by antigen-activated T cells. Galectin 9 is involved in apoptosis, is thought to be a prognostic factor for breast cancer and is also overexpressed in Hodgkin's disease tissue. The protein has N- and C- terminal carbohydrate-binding domains connected by a link peptide. Multiple alternatively spliced transcript variants have been found for this gene.

Alternate Names

Ecalectin, GAL9, Galectin9, LGALS9

Gene Symbol

LGALS9

Additional Galectin-9 Products

Product Documents for Galectin-9 Antibody (OTI1D12)

Certificate of Analysis

To download a Certificate of Analysis, please enter a lot number in the search box below.

Product Specific Notices for Galectin-9 Antibody (OTI1D12)

This product is for research use only and is not approved for use in humans or in clinical diagnosis. Primary Antibodies are guaranteed for 1 year from date of receipt.

Loading...
Loading...
Loading...
Loading...