Skip to main content

Galectin-8 Antibody (JB85-35)

Novus Biologicals, part of Bio-Techne | Catalog # NBP2-75501

Recombinant Monoclonal Antibody.
Novus Biologicals, part of Bio-Techne
Catalog #
Availability
Size / Price
Qty
Loading...
NBP2-75501

Key Product Details

Species Reactivity

Validated:

Human, Mouse, Rat

Cited:

Human, Mouse

Applications

Validated:

Immunohistochemistry, Immunohistochemistry-Paraffin, Western Blot, Flow Cytometry, Immunocytochemistry/ Immunofluorescence, Immunoprecipitation

Cited:

Western Blot, Immunocytochemistry/ Immunofluorescence

Label

Unconjugated

Antibody Source

Recombinant Monoclonal Rabbit IgG Clone # JB85-35 expressed in HEK293

Concentration

1 mg/ml

Product Specifications

Immunogen

Synthetic peptide within Human Galectin-8 aa 1-50 / 317. (SwissProt: O00214 Human; SwissProt: Q9JL15 Mouse; SwissProt: Q62665 Rat)

Localization

Cytosol.

Clonality

Monoclonal

Host

Rabbit

Isotype

IgG

Theoretical MW

40 kDa.
Disclaimer note: The observed molecular weight of the protein may vary from the listed predicted molecular weight due to post translational modifications, post translation cleavages, relative charges, and other experimental factors.

Description

Novus Biologicals Rabbit Galectin-8 Antibody (JB85-35) (NBP2-75501) is a recombinant monoclonal antibody validated for use in IHC, WB, Flow, ICC/IF and IP. Anti-Galectin-8 Antibody: Cited in 2 publications. All Novus Biologicals antibodies are covered by our 100% guarantee.

Scientific Data Images for Galectin-8 Antibody (JB85-35)

Western Blot: Galectin-8 Antibody (JB85-35) [NBP2-75501]

Western Blot: Galectin-8 Antibody (JB85-35) [NBP2-75501]

Western Blot: Galectin-8 Antibody (JB85-35) [NBP2-75501] - Analysis of Galectin 8 on mouse testis and rat testis tissue lysates using anti-Galectin 8 antibody at 1/500 dilution.
Immunocytochemistry/ Immunofluorescence: Galectin-8 Antibody (JB85-35) [NBP2-75501]

Immunocytochemistry/ Immunofluorescence: Galectin-8 Antibody (JB85-35) [NBP2-75501]

Immunocytochemistry/Immunofluorescence: Galectin-8 Antibody (JB85-35) [NBP2-75501] - Staining Galectin 8 in HepG2 cells (green). The nuclear counter stain is DAPI (blue). Cells were fixed in paraformaldehyde, permeabilised with 0.25% Triton X100/PBS.
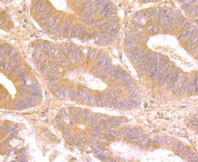
Immunohistochemistry-Paraffin: Galectin-8 Antibody (JB85-35) [NBP2-75501]

Immunohistochemistry-Paraffin: Galectin-8 Antibody (JB85-35) [NBP2-75501]

Immunohistochemistry-Paraffin: Galectin-8 Antibody (JB85-35) [NBP2-75501] - Analysis of paraffin-embedded human colon cancer tissue using anti-Galectin 8 antibody. Counter stained with hematoxylin.

Applications for Galectin-8 Antibody (JB85-35)

Application
Recommended Usage

Flow Cytometry

1:50-1:100

Immunocytochemistry/ Immunofluorescence

1:400-1:800

Immunohistochemistry-Paraffin

1:50-1:200

Western Blot

1:500-1:1000

Formulation, Preparation, and Storage

Purification

Protein A purified

Formulation

TBS (pH7.4), 0.05% BSA, 40% Glycerol

Preservative

0.05% Sodium Azide

Concentration

1 mg/ml

Shipping

The product is shipped with polar packs. Upon receipt, store it immediately at the temperature recommended below.

Stability & Storage

Store at 4C short term. Aliquot and store at -20C long term. Avoid freeze-thaw cycles.

Background: Galectin-8

Several proteins have been identified as specific markers of prostate cancer, and they may be useful as diagnostic indicators. PSA, prostate specific antigen, is the classical indicator for transformed prostate tissue; however, in addition to being upregulated in prostate cancer, PSA is also upregulated in non-malignant conditions, such as benign prostatic hyperplasia prostate. Galectin-8, also known as prostate-specific membrane antigen (PCTA-1), is an additional prostate-specific antigen that is overexpressed only in malignant tumors and therefore is a more specific identifier of malignancies. It is a member of the galectin gene family which mediates both cell-cell and cellmatrix interactions in a manner similar to the selectin subgroup of C-type lectins.

Alternate Names

GAL8, Galectin8, LGALS8, PCTA1

Gene Symbol

LGALS8

Additional Galectin-8 Products

Product Documents for Galectin-8 Antibody (JB85-35)

Certificate of Analysis

To download a Certificate of Analysis, please enter a lot number in the search box below.

Product Specific Notices for Galectin-8 Antibody (JB85-35)

This product is for research use only and is not approved for use in humans or in clinical diagnosis. Primary Antibodies are guaranteed for 1 year from date of receipt.

Loading...
Loading...
Loading...
Loading...
Loading...