Skip to main content

Galectin-10 Antibody - BSA Free

Novus Biologicals, part of Bio-Techne | Catalog # NBP3-41419

Novus Biologicals, part of Bio-Techne
Catalog #
Availability
Size / Price
Qty
Loading...
NBP3-41419

Key Product Details

Species Reactivity

Human, Mouse

Applications

Western Blot, Immunocytochemistry/ Immunofluorescence

Label

Unconjugated

Antibody Source

Polyclonal Rabbit

Format

BSA Free

Concentration

0.5 mg/ml

Product Specifications

Immunogen

Immunized with recombinant Human Galectin-10 (Uniprot#: Q05315; Ser2-Arg142 (Uniprot#: Q05315)

Clonality

Polyclonal

Host

Rabbit

Description

Novus Biologicals Rabbit Galectin-10 Antibody - BSA Free (NBP3-41419) is a polyclonal antibody validated for use in WB and ICC/IF. All Novus Biologicals antibodies are covered by our 100% guarantee.

Scientific Data Images for Galectin-10 Antibody - BSA Free

Galectin-10 Antibody

Western Blot: Galectin-10 Antibody [NBP3-41419] -

Western Blot: Galectin-10 Antibody [NBP3-41419] - Sample: Recombinant Galectin-10, Human.
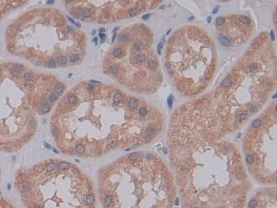
Galectin-10 Antibody

Immunohistochemistry-Paraffin: Galectin-10 Antibody [NBP3-41419] -

Immunohistochemistry-Paraffin: Galectin-10 Antibody [NBP3-41419] - DAB staining on IHC-P; Samples: Human Kidney Tissue; Primary Ab: 30ug/ml NBP3-41419; Second Ab: 2ug/mL HRP-Linked Caprine Anti-Rabbit IgG Polyclonal Antibody
Galectin-10 Antibody

Western Blot: Galectin-10 Antibody [NBP3-41419] -

Western Blot: Galectin-10 Antibody [NBP3-41419] - Sample: Human Leukocyte Cells.

Applications for Galectin-10 Antibody - BSA Free

Application
Recommended Usage

Immunocytochemistry/ Immunofluorescence

5-30ug/mL

Western Blot

0.5-3ug/mL

Formulation, Preparation, and Storage

Purification

Antigen and protein A Affinity-purified

Formulation

PBS, pH7.4, 50% glycerol

Format

BSA Free

Preservative

0.02% Sodium Azide

Concentration

0.5 mg/ml

Shipping

The product is shipped with polar packs. Upon receipt, store it immediately at the temperature recommended below.

Stability & Storage

Store at 4C short term. Aliquot and store at -20C long term. Avoid freeze-thaw cycles.

Background: Galectin-10

Lysophospholipases are enzymes that act on biological membranes to regulate the multifunctional lysophospholipids. The protein encoded by this gene is a lysophospholipase expressed in eosinophils and basophils. It hydrolyzes lysophosphatidylcholine to glycerophosphocholine and a free fatty acid. This protein may possess carbohydrate or IgE-binding activities. It is both structurally and functionally related to the galectin family of beta-galactoside binding proteins. It may be associated with inflammation and some myeloid leukemias. [provided by RefSeq]

Alternate Names

CLC, GAL10, Galectin10, LGALS10

Gene Symbol

CLC

Additional Galectin-10 Products

Product Documents for Galectin-10 Antibody - BSA Free

Certificate of Analysis

To download a Certificate of Analysis, please enter a lot number in the search box below.

Product Specific Notices for Galectin-10 Antibody - BSA Free

This product is for research use only and is not approved for use in humans or in clinical diagnosis. Primary Antibodies are guaranteed for 1 year from date of receipt.

Loading...
Loading...
Loading...
Loading...