Skip to main content

Galectin-10 Antibody (C2) - BSA Free

Novus Biologicals, part of Bio-Techne | Catalog # NBP3-41588

Novus Biologicals, part of Bio-Techne
Catalog #
Availability
Size / Price
Qty
Loading...
NBP3-41588

Key Product Details

Species Reactivity

Human

Applications

Immunohistochemistry, Immunohistochemistry-Paraffin, Western Blot

Label

Unconjugated

Antibody Source

Monoclonal Mouse IgG2a Kappa Clone # C2

Format

BSA Free

Concentration

1 mg/ml

Product Specifications

Immunogen

Immunized with recombinant Human Galectin-10 (Uniprot#: Q05315; Ser2-Arg142 (Uniprot#: Q05315)

Clonality

Monoclonal

Host

Mouse

Isotype

IgG2a Kappa

Description

Novus Biologicals Mouse Galectin-10 Antibody (C2) - BSA Free (NBP3-41588) is a monoclonal antibody validated for use in IHC and WB. All Novus Biologicals antibodies are covered by our 100% guarantee.

Scientific Data Images for Galectin-10 Antibody (C2) - BSA Free

Galectin-10 Antibody (C2)

Western Blot: Galectin-10 Antibody (C2) [NBP3-41588] -

Western Blot: Galectin-10 Antibody (C2) [NBP3-41588] - Sample: Recombinant protein.
Galectin-10 Antibody (C2)

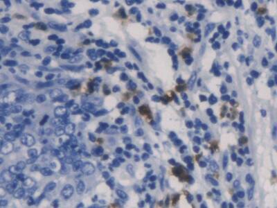
Immunohistochemistry-Paraffin: Galectin-10 Antibody (C2) [NBP3-41588] -

Immunohistochemistry-Paraffin: Galectin-10 Antibody (C2) [NBP3-41588] - DAB staining on IHC-P; Samples: Human Stomach cancer Tissue
Galectin-10 Antibody (C2)

Immunohistochemistry-Paraffin: Galectin-10 Antibody (C2) [NBP3-41588] -

Immunohistochemistry-Paraffin: Galectin-10 Antibody (C2) [NBP3-41588] - DAB staining on IHC-P; Samples: Human Stomach cancer Tissue; Primary Ab: 20ug/ml NBP3-41588

Applications for Galectin-10 Antibody (C2) - BSA Free

Application
Recommended Usage

Immunohistochemistry

5-30ug/mL

Immunohistochemistry-Paraffin

5-30ug/mL

Western Blot

0.5-5ug/mL

Formulation, Preparation, and Storage

Purification

Protein A or G purified

Formulation

0.01M PBS, pH7.4, 50% glycerol

Format

BSA Free

Preservative

0.05% Proclin 300

Concentration

1 mg/ml

Shipping

The product is shipped with polar packs. Upon receipt, store it immediately at the temperature recommended below.

Stability & Storage

Store at 4C short term. Aliquot and store at -20C long term. Avoid freeze-thaw cycles.

Background: Galectin-10

Lysophospholipases are enzymes that act on biological membranes to regulate the multifunctional lysophospholipids. The protein encoded by this gene is a lysophospholipase expressed in eosinophils and basophils. It hydrolyzes lysophosphatidylcholine to glycerophosphocholine and a free fatty acid. This protein may possess carbohydrate or IgE-binding activities. It is both structurally and functionally related to the galectin family of beta-galactoside binding proteins. It may be associated with inflammation and some myeloid leukemias. [provided by RefSeq]

Alternate Names

CLC, GAL10, Galectin10, LGALS10

Gene Symbol

CLC

Additional Galectin-10 Products

Product Documents for Galectin-10 Antibody (C2) - BSA Free

Certificate of Analysis

To download a Certificate of Analysis, please enter a lot number in the search box below.

Product Specific Notices for Galectin-10 Antibody (C2) - BSA Free

This product is for research use only and is not approved for use in humans or in clinical diagnosis. Primary Antibodies are guaranteed for 1 year from date of receipt.

Loading...
Loading...
Loading...
Loading...