Skip to main content

Frizzled-6 Antibody - BSA Free

Novus Biologicals, part of Bio-Techne | Catalog # NBP1-89702

Novus Biologicals, part of Bio-Techne
Catalog #
Availability
Size / Price
Qty
Loading...
NBP1-89702
NBP1-89702-25ul

Key Product Details

Species Reactivity

Validated:

Human

Cited:

Human

Applications

Validated:

Immunohistochemistry, Immunohistochemistry-Paraffin

Cited:

Western Blot

Label

Unconjugated

Antibody Source

Polyclonal Rabbit IgG

Format

BSA Free

Concentration

Concentrations vary lot to lot. See vial label for concentration. If unlisted please contact technical services.

Product Specifications

Immunogen

This antibody was developed against Recombinant Protein corresponding to amino acids: TSTGATANHGTSAVAITSHDYLGQETLTEIQTSPETSMREVKADGASTPRLREQDCGEPASPAASISRLSGEQVDGKGQAGSVSESARSEGRISPKSDITDTGLAQSNNLQVPSSSEPSSLKGSTSLLVHPVS

Clonality

Polyclonal

Host

Rabbit

Isotype

IgG

Description

Novus Biologicals Rabbit Frizzled-6 Antibody - BSA Free (NBP1-89702) is a polyclonal antibody validated for use in IHC and WB. Anti-Frizzled-6 Antibody: Cited in 3 publications. All Novus Biologicals antibodies are covered by our 100% guarantee.

Scientific Data Images for Frizzled-6 Antibody - BSA Free

Immunohistochemistry-Paraffin: Frizzled-6 Antibody [NBP1-89702]

Immunohistochemistry-Paraffin: Frizzled-6 Antibody [NBP1-89702]

Immunohistochemistry-Paraffin: Frizzled-6 Antibody [NBP1-89702] - Staining of human kidney shows moderate to strong cytoplasmic positivity in cells in tubules.
Immunohistochemistry-Paraffin: Frizzled-6 Antibody [NBP1-89702]

Immunohistochemistry-Paraffin: Frizzled-6 Antibody [NBP1-89702]

Immunohistochemistry-Paraffin: Frizzled-6 Antibody [NBP1-89702] - Staining of human placenta shows moderate cytoplasmic and membranous positivity in trophoblastic cells.
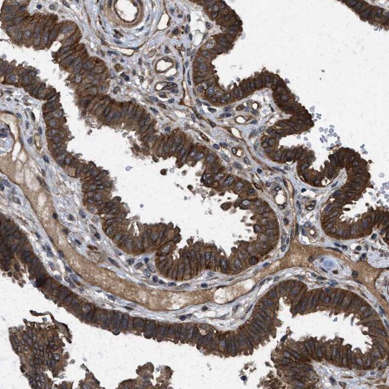
Frizzled-6 Antibody - BSA Free Immunohistochemistry-Paraffin: Frizzled-6 Antibody - BSA Free [NBP1-89702]

Immunohistochemistry-Paraffin: Frizzled-6 Antibody - BSA Free [NBP1-89702]

Staining of human Fallopian tube shows strong cytoplasmic and membranous positivity in glandular cells.

Applications for Frizzled-6 Antibody - BSA Free

Application
Recommended Usage

Immunohistochemistry

1:50-1:200

Immunohistochemistry-Paraffin

1:50-1:200
Application Notes
For IHC-Paraffin, HIER pH 6 retrieval is recommended.

Formulation, Preparation, and Storage

Purification

Affinity purified

Formulation

PBS (pH 7.2) and 40% Glycerol

Format

BSA Free

Preservative

0.02% Sodium Azide

Concentration

Concentrations vary lot to lot. See vial label for concentration. If unlisted please contact technical services.

Shipping

The product is shipped with polar packs. Upon receipt, store it immediately at the temperature recommended below.

Stability & Storage

Store at 4C short term. Aliquot and store at -20C long term. Avoid freeze-thaw cycles.

Background: Frizzled-6

FZD6 is a Frizzled Receptor for Wnt signaling proteins involved in patterning during development. Contrary to other Frizzled proteins, FZD6 does not contain a C-terminal PDZ domain-binding motif. FZD6 is widely expressed. The Drosophila homolog activates Dishevelled. FZD6 expression has been reported in brain, colon, heart, kidney, liver, lung, ovary, pancreas, placenta, prostate, skeletal muscle, small intestine, testis, and thymus. Various tumor cell lines have also been shown to express FZD6. ESTs have been isolated from blood, brain, breast, connective tissue, liver, liver/spleen, lung, placenta, testis, thyroid, and vessel libraries. In addition, several ESTs have been isolated from tumor libraries.

Alternate Names

Frizzled6, FZD6

Entrez Gene IDs

8323 (Human)

Gene Symbol

FZD6

UniProt

Additional Frizzled-6 Products

Product Documents for Frizzled-6 Antibody - BSA Free

Certificate of Analysis

To download a Certificate of Analysis, please enter a lot number in the search box below.

Product Specific Notices for Frizzled-6 Antibody - BSA Free

This product is for research use only and is not approved for use in humans or in clinical diagnosis. Primary Antibodies are guaranteed for 1 year from date of receipt.

Loading...
Loading...
Loading...
Loading...