Skip to main content

FoxD3 Antibody (5G9)

Novus Biologicals, part of Bio-Techne | Catalog # NBP1-51685

Novus Biologicals, part of Bio-Techne
Catalog #
Availability
Size / Price
Qty
Loading...
NBP1-51685
NBP1-51685-0.025ml

Key Product Details

Species Reactivity

Human, Mouse, Monkey

Applications

ELISA, Immunohistochemistry, Immunohistochemistry-Paraffin, Western Blot

Label

Unconjugated

Antibody Source

Monoclonal Mouse IgG1 Clone # 5G9

Concentration

This product is unpurified. The exact concentration of antibody is not quantifiable.

Product Specifications

Immunogen

Purified recombinant fragment of human FoxD3 expressed in E. Coli.

Reactivity Notes

Mouse blocking reagent may be needed for IHC and ICC experiments to reduce high background signal. You can find these reagents under catalog numbers PK-2200-NB and MP-2400-NB. Please contact Technical Support if you have any Please note that this antibody is reactive to Mouse and derived from the same host, Mouse. Mouse-On-questions.

Clonality

Monoclonal

Host

Mouse

Isotype

IgG1

Theoretical MW

50 kDa.
Disclaimer note: The observed molecular weight of the protein may vary from the listed predicted molecular weight due to post translational modifications, post translation cleavages, relative charges, and other experimental factors.

Description

Novus Biologicals Mouse FoxD3 Antibody (5G9) (NBP1-51685) is a monoclonal antibody validated for use in IHC, WB and ELISA. All Novus Biologicals antibodies are covered by our 100% guarantee.

Scientific Data Images for FoxD3 Antibody (5G9)

Western Blot: FoxD3 Antibody (5G9)BSA Free [NBP1-51685]

Western Blot: FoxD3 Antibody (5G9)BSA Free [NBP1-51685]

Western Blot: FoxD3 Antibody (5G9) [NBP1-51685] - Analysis using FOXD3 mouse mAb against NTERA-2 (1), HUVE-12 (2), HEK293 (3), Hela (4), Jurkat (5), K562 (6), RAW264.7 (7), NIH/3T3 (8), and COS7 (9) cell lysate.
Immunohistochemistry-Paraffin: FoxD3 Antibody (5G9) - BSA Free [NBP1-51685]

Immunohistochemistry-Paraffin: FoxD3 Antibody (5G9) - BSA Free [NBP1-51685]

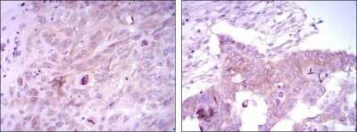
Immunohistochemistry-Paraffin: FoxD3 Antibody (5G9) [NBP1-51685] - Analysis of paraffin-embedded lung cancer tissues (left) and ovarian cancer tissues (right) using FOXD3 mouse mAb with DAB staining.

Applications for FoxD3 Antibody (5G9)

Application
Recommended Usage

ELISA

1:10000

Immunohistochemistry

1:10-1:500

Immunohistochemistry-Paraffin

1:200-1:1000

Western Blot

1:500-1:2000

Formulation, Preparation, and Storage

Purification

Unpurified

Formulation

Ascites

Preservative

0.03% Sodium Azide

Concentration

This product is unpurified. The exact concentration of antibody is not quantifiable.

Shipping

The product is shipped with polar packs. Upon receipt, store it immediately at the temperature recommended below.

Stability & Storage

Store at 4C short term. Aliquot and store at -20C long term. Avoid freeze-thaw cycles.

Background: FoxD3

The FOXD3 polyclonal antibody recognizes human FOXD3 also known as Forkhead box protein D3 and HNF3/FH transcription factor genesis. FOXD3 belongs to the forkhead family of transcription factors which is characterized by a distinct forkhead domain, predicted molecular weight 48 kD. FOXD3 binds to the consensus sequence 5'-A[AT]T[AG]TTTGTTT-3' and acts as a transcriptional repressor. Also acts as a transcriptional activator. FOXD3 is essential for multiple developmental processes in the vertebrate embryo, including neural crest development and maintenance of mammalian stem cell lineages. The poly6317 antibody has been shown to be useful for Western blotting.[ ][[[]] ][[[]] ][[[]] ][[[]] ][[[]] ][[[]] ][[[]] ][[[]] ][[[]] ][[[]] ][[[]] ][[[]] [][]] Oct4

Long Name

Forkhead Box D3

Alternate Names

CWH3, Genesis, HFH2

Gene Symbol

FOXD3

Additional FoxD3 Products

Product Documents for FoxD3 Antibody (5G9)

Certificate of Analysis

To download a Certificate of Analysis, please enter a lot number in the search box below.

Product Specific Notices for FoxD3 Antibody (5G9)

This product is for research use only and is not approved for use in humans or in clinical diagnosis. Primary Antibodies are guaranteed for 1 year from date of receipt.

Loading...
Loading...
Loading...
Loading...