Skip to main content

FLIP Antibody (7A3D12) - BSA Free

Novus Biologicals, part of Bio-Techne | Catalog # NBP2-37359

Novus Biologicals, part of Bio-Techne
Catalog #
Availability
Size / Price
Qty
Loading...
NBP2-37359-0.025ml
NBP2-37359

Key Product Details

Species Reactivity

Human, Mouse

Applications

Immunohistochemistry, Immunohistochemistry-Paraffin, Western Blot, ELISA, Flow Cytometry, CyTOF-ready

Label

Unconjugated

Antibody Source

Monoclonal Mouse IgG1 Clone # 7A3D12

Format

BSA Free

Concentration

1 mg/ml

Product Specifications

Immunogen

Purified recombinant fragment of human FLIP (AA: 100-251) expressed in E. Coli.

Reactivity Notes

Please note that this antibody is reactive to Mouse and derived from the same host, Mouse. Mouse-On-Mouse blocking reagent may be needed for IHC and ICC experiments to reduce high background signal. You can find these reagents under catalog numbers PK-2200-NB and MP-2400-NB. Please contact Technical Support if you have any questions.

Clonality

Monoclonal

Host

Mouse

Isotype

IgG1

Theoretical MW

55 kDa.
Disclaimer note: The observed molecular weight of the protein may vary from the listed predicted molecular weight due to post translational modifications, post translation cleavages, relative charges, and other experimental factors.

Scientific Data Images for FLIP Antibody (7A3D12) - BSA Free

Western Blot: FLIP Antibody (7A3D12)BSA Free [NBP2-37359]

Western Blot: FLIP Antibody (7A3D12)BSA Free [NBP2-37359]

Western Blot: FLIP Antibody (7A3D12) [NBP2-37359] - Western blot analysis using CFLAR mouse mAb against JURKAT (1), 3T3L1 (2) and RAJI (3) cell lysate.
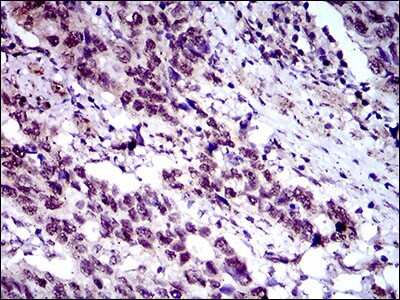
Immunohistochemistry-Paraffin: FLIP Antibody (7A3D12) - BSA Free [NBP2-37359]

Immunohistochemistry-Paraffin: FLIP Antibody (7A3D12) - BSA Free [NBP2-37359]

Immunohistochemistry-Paraffin: FLIP Antibody (7A3D12) [NBP2-37359] - Analysis of esophagus cancer tissues using CFLAR mouse mAb with DAB staining.
Flow Cytometry: FLIP Antibody (7A3D12) - BSA Free [NBP2-37359]

Flow Cytometry: FLIP Antibody (7A3D12) - BSA Free [NBP2-37359]

Flow Cytometry: FLIP Antibody (7A3D12) [NBP2-37359] - Flow cytometric analysis of JURKAT cells using CFLAR mouse mAb (green) and negative control (red).

Applications for FLIP Antibody (7A3D12) - BSA Free

Application
Recommended Usage

ELISA

1:10000

Flow Cytometry

1:200 - 1:400

Immunohistochemistry

1:200 - 1:1000

Western Blot

1:500 - 1:2000
Application Notes
This antibody is Cytof ready.

Formulation, Preparation, and Storage

Purification

Protein G purified

Formulation

PBS

Format

BSA Free

Preservative

0.05% Sodium Azide

Concentration

1 mg/ml

Shipping

The product is shipped with polar packs. Upon receipt, store it immediately at the temperature recommended below.

Stability & Storage

Store at 4C short term. Aliquot and store at -20C long term. Avoid freeze-thaw cycles.

Background: FLIP

Apoptosis regulator protein which may function as a crucial link between cell survival and cell death pathways in mammalian cells. Acts as an inhibitor of TNFRSF6 mediated apoptosis. A proteolytic fragment (p43) is likely retained in the death-inducing signaling complex (DISC) thereby blocking further recruitment and processing of caspase-8 at the complex. Full length and shorter isoforms have been shown either to induce apoptosis or to reduce TNFRSF-triggered apoptosis. Lacks enzymatic (caspase) activity

Long Name

FLICE Inhibitory Proteins

Alternate Names

CASPER, CFLAR, FLAME-1, I-FLICE

Gene Symbol

CFLAR

Additional FLIP Products

Product Documents for FLIP Antibody (7A3D12) - BSA Free

Certificate of Analysis

To download a Certificate of Analysis, please enter a lot number in the search box below.

Product Specific Notices for FLIP Antibody (7A3D12) - BSA Free

This product is for research use only and is not approved for use in humans or in clinical diagnosis. Primary Antibodies are guaranteed for 1 year from date of receipt.

Loading...
Loading...
Loading...
Loading...
Loading...