Skip to main content

Fibronectin Antibody - BSA Free

Novus Biologicals, part of Bio-Techne | Catalog # NBP1-84468

Novus Biologicals, part of Bio-Techne
Catalog #
Availability
Size / Price
Qty
Loading...
NBP1-84468-25ul
NBP1-84468

Key Product Details

Validated by

Orthogonal Validation

Species Reactivity

Validated:

Human

Cited:

Human

Predicted:

Mouse (95%), Rat (95%). Backed by our 100% Guarantee.

Applications

Validated:

Immunohistochemistry, Immunohistochemistry-Paraffin, Western Blot

Cited:

Western Blot

Label

Unconjugated

Antibody Source

Polyclonal Rabbit IgG

Format

BSA Free

Concentration

Concentrations vary lot to lot. See vial label for concentration. If unlisted please contact technical services.

Product Specifications

Immunogen

This antibody was developed against Recombinant Protein corresponding to amino acids: HEEICTTNEGVMYRIGDQWDKQHDMGHMMRCTCVGNGRGEWTCIAYSQLRDQCIVDDITYNVNDTFHKRHEEGHMLNCTCFGQGRGRWKCDPVDQCQDSETGTFYQIGDSWEKYVHGVRYQCYCYGRGIG

Reactivity Notes

Human reactivity reported in scientific literature (PMID: 26015410).

Marker

Mesenchymal Cells Marker

Clonality

Polyclonal

Host

Rabbit

Isotype

IgG

Description

Novus Biologicals Rabbit Fibronectin Antibody - BSA Free (NBP1-84468) is a polyclonal antibody validated for use in IHC and WB. Anti-Fibronectin Antibody: Cited in 1 publication. All Novus Biologicals antibodies are covered by our 100% guarantee.

Scientific Data Images for Fibronectin Antibody - BSA Free

Western Blot: Fibronectin Antibody [NBP1-84468]

Western Blot: Fibronectin Antibody [NBP1-84468]

Western Blot: Fibronectin Antibody [NBP1-84468] - Analysis in human plasma.
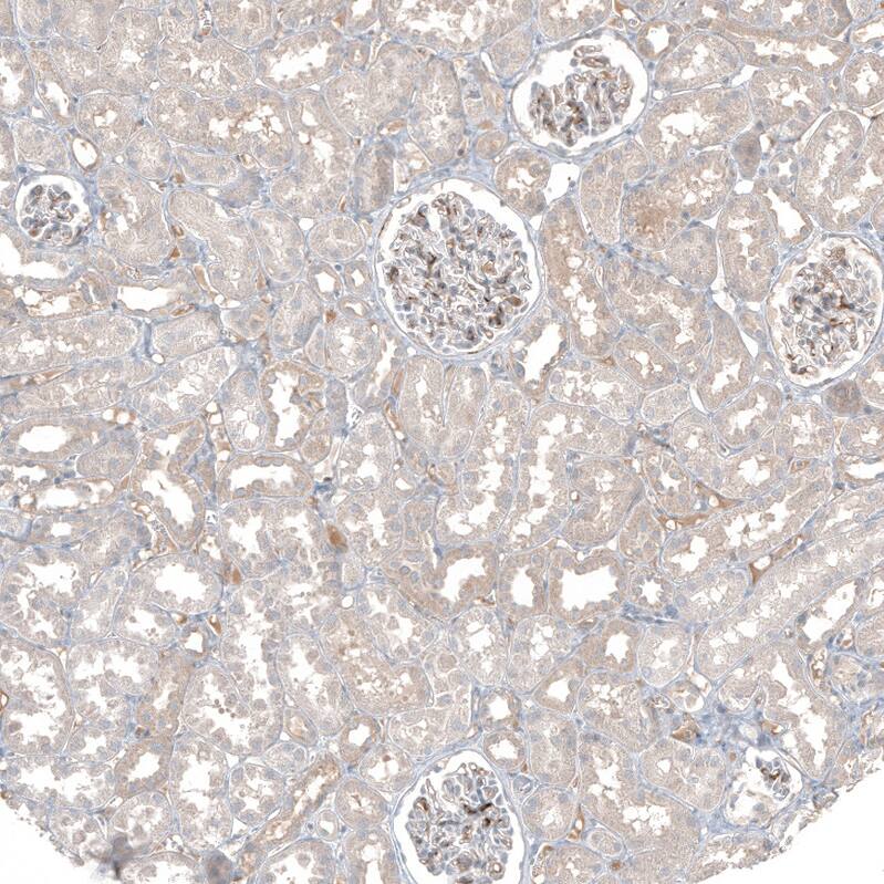
Fibronectin Antibody - BSA Free Immunohistochemistry-Paraffin: Fibronectin Antibody - BSA Free [NBP1-84468]

Immunohistochemistry-Paraffin: Fibronectin Antibody - BSA Free [NBP1-84468]

Staining of human kidney shows weak positivity in plasma.
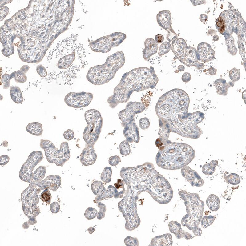
Fibronectin Antibody - BSA Free Immunohistochemistry-Paraffin: Fibronectin Antibody - BSA Free [NBP1-84468]

Immunohistochemistry-Paraffin: Fibronectin Antibody - BSA Free [NBP1-84468]

Staining of human placenta shows moderate positivity in extracellular matrix in trophoblastic cells.

Applications for Fibronectin Antibody - BSA Free

Application
Recommended Usage

Immunohistochemistry

1:200 - 1:500

Immunohistochemistry-Paraffin

1:200 - 1:500

Western Blot

0.04-0.4 ug/ml
Application Notes
WB reported in scientific literature (PMID: 26015410). For IHC-Paraffin, HIER pH 6 retrieval is recommended.

Formulation, Preparation, and Storage

Purification

Immunogen affinity purified

Formulation

PBS (pH 7.2) and 40% Glycerol

Format

BSA Free

Preservative

0.02% Sodium Azide

Concentration

Concentrations vary lot to lot. See vial label for concentration. If unlisted please contact technical services.

Shipping

The product is shipped with polar packs. Upon receipt, store it immediately at the temperature recommended below.

Stability & Storage

Store at 4C short term. Aliquot and store at -20C long term. Avoid freeze-thaw cycles.

Background: Fibronectin

Fibronectin (also known as FN1, or Fibronectin 1) is an extracellular matrix glycoprotein that binds to integrins and has a large role in cell adhesion, migration, differentiation, and growth. It plays a key role in wound healing by helping form blood clots and participates in embryonic development by guiding cell attachment and migration. Fibronectin consists of two monomers linked by disulfide bonds and binds extracellular components such as collagen fibrin and syndecans. Fibronectin has been implicated in carcinoma and tumor development while also limiting tumor cells response to treatment. Novus offers Fibronectin antibodies, ELISA Kits, lysates, and proteins

Alternate Names

CIG, ED-B, FINC, FN1, FNZ, GFND2, LETS, SMDCF

Gene Symbol

FN1

Additional Fibronectin Products

Product Documents for Fibronectin Antibody - BSA Free

Certificate of Analysis

To download a Certificate of Analysis, please enter a lot number in the search box below.

Product Specific Notices for Fibronectin Antibody - BSA Free

This product is for research use only and is not approved for use in humans or in clinical diagnosis. Primary Antibodies are guaranteed for 1 year from date of receipt.

Loading...
Loading...
Loading...
Loading...
Loading...