Skip to main content

Fetuin Antibody - BSA Free

Novus Biologicals, part of Bio-Techne | Catalog # NBP2-99415

Novus Biologicals, part of Bio-Techne
Catalog #
Availability
Size / Price
Qty
Loading...
NBP2-99415-100ul
NBP2-99415-50ul
Conjugate
Catalog #

Key Product Details

Species Reactivity

Human

Applications

Immunohistochemistry, Immunohistochemistry-Paraffin, Western Blot

Label

Unconjugated

Antibody Source

Polyclonal Rabbit IgG

Format

BSA Free

Concentration

Please see the vial label for concentration. If unlisted please contact technical services.

Product Specifications

Immunogen

Produced in rabbits immunized with a synthetic peptide corresponding to the center region of the Human Fetuin.

Clonality

Polyclonal

Host

Rabbit

Isotype

IgG

Description

This antibody can be stored at 2C to 8C for one month without detectable loss of activity. Antibody products are stable for twelve months from date of receipt when stored at -20C to -80C. Avoid repeated freeze-thaw cycles.

Scientific Data Images for Fetuin Antibody - BSA Free

Western Blot: Fetuin Antibody [NBP2-99415]

Western Blot: Fetuin Antibody [NBP2-99415]

Western Blot: Fetuin Antibody [NBP2-99415] - Anti-Fetuin rabbit polyclonal antibody at 1:500 dilution. Lane A: 293T Whole Cell Lysate. Lysates/proteins at 30 ug per lane. Secondary Goat Anti-Rabbit IgG (H+L)/HRP at 1/10000 dilution. Developed using the ECL technique. Performed under reducing conditions. Predicted band size: 42 kDa. Observed band size: 55 kDa
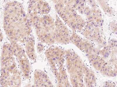
Immunohistochemistry-Paraffin: Fetuin Antibody [NBP2-99415]

Immunohistochemistry-Paraffin: Fetuin Antibody [NBP2-99415]

Immunohistochemistry-Paraffin: Fetuin Antibody [NBP2-99415] - Immunochemical staining of human Fetuin in human liver with rabbit polyclonal antibody at 1:300 dilution, formalin-fixed paraffin embedded sections.
Immunohistochemistry-Paraffin: Fetuin Antibody [NBP2-99415]

Immunohistochemistry-Paraffin: Fetuin Antibody [NBP2-99415]

Immunohistochemistry-Paraffin: Fetuin Antibody [NBP2-99415] - Immunochemical staining of human Fetuin in human hepatoma with rabbit polyclonal antibody at 1:300 dilution, formalin-fixed paraffin embedded sections.

Applications for Fetuin Antibody - BSA Free

Application
Recommended Usage

Immunohistochemistry-Paraffin

1:200-1:1000

Western Blot

1:500-1:2000

Formulation, Preparation, and Storage

Purification

Antigen and protein A Affinity-purified

Formulation

PBS

Format

BSA Free

Preservative

0.03% Proclin 300

Concentration

Please see the vial label for concentration. If unlisted please contact technical services.

Shipping

The product is shipped with polar packs. Upon receipt, store it immediately at the temperature recommended below.

Stability & Storage

Store at 4C short term. Aliquot and store at -20C long term. Avoid freeze-thaw cycles.

Background: Fetuin

Human fetuin (2-Heremans-Schmid-glycoprotein or

Alternate Names

fetuin B, fetuin-B, Fetuin-like protein IRL685,16G2, Gugu, IRL685

Gene Symbol

FETUB

Additional Fetuin Products

Product Documents for Fetuin Antibody - BSA Free

Certificate of Analysis

To download a Certificate of Analysis, please enter a lot number in the search box below.

Product Specific Notices for Fetuin Antibody - BSA Free

This product is for research use only and is not approved for use in humans or in clinical diagnosis. Primary Antibodies are guaranteed for 1 year from date of receipt.

Loading...
Loading...
Loading...
Loading...