Skip to main content

Fc gamma RIIIB/CD16b Antibody (BLR163J)

Novus Biologicals, part of Bio-Techne | Catalog # NBP3-14737

Recombinant Monoclonal
Novus Biologicals, part of Bio-Techne
Catalog #
Availability
Size / Price
Qty
Loading...
NBP3-14737

Key Product Details

Species Reactivity

Human

Applications

Immunocytochemistry/ Immunofluorescence, Immunohistochemistry, Multiplex Immunofluorescence, Western Blot

Label

Unconjugated

Antibody Source

Recombinant Monoclonal Rabbit Clone # BLR163J

Concentration

Please see the vial label for concentration. If unlisted please contact technical services.

Product Specifications

Immunogen

residues 21-201 (ECD)

Clonality

Monoclonal

Host

Rabbit

Description

Novus Biologicals Rabbit Fc gamma RIIIB/CD16b Antibody (BLR163J) (NBP3-14737) is a recombinant monoclonal antibody validated for use in Multiplex Immunofluorescence, IHC, WB and ICC/IF. All Novus Biologicals antibodies are covered by our 100% guarantee.

Scientific Data Images for Fc gamma RIIIB/CD16b Antibody (BLR163J)

Western Blot: Fc gamma RIIIB/CD16b Antibody (BLR163J) [NBP3-14737]

Western Blot: Fc gamma RIIIB/CD16b Antibody (BLR163J) [NBP3-14737]

Western Blot: Fc gamma RIIIB/CD16b Antibody (BLR163J) [NBP3-14737] - Whole cell lysate (50 ug) from HeLa, HEK293T, PBMCs, Jurkat, and Hep-G2 cells prepared using NETN lysis buffer. Rabbit anti-CD16 recombinant monoclonal antibody used at 1:1000. HRP-conjugated goat anti-rabbit IgG. Chemiluminescence with an exposure time of 75 seconds. Lower Panel: Rabbit anti-Actin recombinant monoclonal antibody.
Immunohistochemistry: Fc gamma RIIIB/CD16b Antibody (BLR163J) [NBP3-14737]

Immunohistochemistry: Fc gamma RIIIB/CD16b Antibody (BLR163J) [NBP3-14737]

Immunohistochemistry: Fc gamma RIIIB/CD16b Antibody (BLR163J) [NBP3-14737] - Rabbit anti-CD16 recombinant monoclonal antibody. HRP-conjugated goat anti-rabbit IgG.
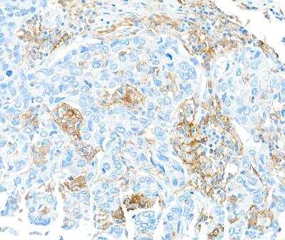
Immunohistochemistry: Fc gamma RIIIB/CD16b Antibody (BLR163J) [NBP3-14737]

Immunohistochemistry: Fc gamma RIIIB/CD16b Antibody (BLR163J) [NBP3-14737]

Immunohistochemistry: Fc gamma RIIIB/CD16b Antibody (BLR163J) [NBP3-14737] - Rabbit anti-CD16 recombinant monoclonal antibody. HRP-conjugated goat anti-rabbit IgG.

Applications for Fc gamma RIIIB/CD16b Antibody (BLR163J)

Application
Recommended Usage

Immunocytochemistry/ Immunofluorescence

Optimal dilutions of this antibody should be experimentally determined.

Immunohistochemistry

Optimal dilutions of this antibody should be experimentally determined.

Multiplex Immunofluorescence

Optimal dilutions of this antibody should be experimentally determined.

Western Blot

Optimal dilutions of this antibody should be experimentally determined.

Formulation, Preparation, and Storage

Purification

>95%

Formulation

Borate Buffered Saline (BBS) pH 8.2 with 0.1% BSA and

Preservative

0.09% Sodium Azide

Concentration

Please see the vial label for concentration. If unlisted please contact technical services.

Shipping

The product is shipped with polar packs. Upon receipt, store it immediately at the temperature recommended below.

Stability & Storage

Store at 2 - 8 C / 1 year from date of receipt

Background: Fc gamma RIIIB/CD16b

CD16 (FcgRIII) is a 50-65 kDa glycoprotein serving as a low affinity IgG receptor. Human FcgRIII is expressed in two forms FcgRIII-A and -B. FcgRIII-A is a transmembrane protein of monocytes, macrophages, NK cells and a subset of T cells. It is associated with FceRI-g subunit and is responsible for antibody-dependent NK cell cytotoxicity. Mast cell FcgRIII-A is associated, moreover, with FceRI-b subunit. Besides IgG, FceRI-A can be triggered also by oligomeric IgE. FcgRIII-B is a GPI-linked monomeric receptor expressed on neutrophils and is involved in their activation and induction of a proadhesive phenotype.

Long Name

Fc gamma Receptor III

Alternate Names

CD16b, FCG3, FCGR3B, FcgRIIIB, FcR-10, FCRIIIB, IGFR3

Gene Symbol

FCGR3B

Additional Fc gamma RIIIB/CD16b Products

Product Documents for Fc gamma RIIIB/CD16b Antibody (BLR163J)

Certificate of Analysis

To download a Certificate of Analysis, please enter a lot number in the search box below.

Product Specific Notices for Fc gamma RIIIB/CD16b Antibody (BLR163J)

This product is for research use only and is not approved for use in humans or in clinical diagnosis. Primary Antibodies are guaranteed for 1 year from date of receipt.

Loading...
Loading...
Loading...
Loading...