Skip to main content

FBXW8 Antibody - BSA Free

Novus Biologicals, part of Bio-Techne | Catalog # NBP1-84715

Novus Biologicals, part of Bio-Techne
Catalog #
Availability
Size / Price
Qty
Loading...
NBP1-84715
NBP1-84715-25ul

Key Product Details

Validated by

Orthogonal Validation

Species Reactivity

Validated:

Human

Cited:

Human

Applications

Validated:

Immunohistochemistry, Immunohistochemistry-Paraffin, Western Blot, Immunocytochemistry/ Immunofluorescence

Cited:

Western Blot, IF/IHC

Label

Unconjugated

Antibody Source

Polyclonal Rabbit IgG

Format

BSA Free

Concentration

Concentrations vary lot to lot. See vial label for concentration. If unlisted please contact technical services.

Product Specifications

Immunogen

This antibody was developed against Recombinant Protein corresponding to amino acids: KLIFQECRAKEHMLQTNWKNRKGAVSELEHVPDTVLCDVHSHDGVVIAGYTSGDVRVWDTRTWDYVAPFLESEDEEDEPGMQPNVSFVRINSSLAVAA

Reactivity Notes

Immunogen displays the following percentage of sequence identity for non-tested species: Mouse (89%), Rat (87%). Human reactivity reported in scientific literature (PMID: 25790475).

Clonality

Polyclonal

Host

Rabbit

Isotype

IgG

Description

Novus Biologicals Rabbit FBXW8 Antibody - BSA Free (NBP1-84715) is a polyclonal antibody validated for use in IHC, WB and ICC/IF. Anti-FBXW8 Antibody: Cited in 2 publications. All Novus Biologicals antibodies are covered by our 100% guarantee.

Scientific Data Images for FBXW8 Antibody - BSA Free

Immunohistochemistry-Paraffin: FBXW8 Antibody [NBP1-84715]

Immunohistochemistry-Paraffin: FBXW8 Antibody [NBP1-84715]

Immunohistochemistry-Paraffin: FBXW8 Antibody [NBP1-84715] - Staining in human thyroid gland and skeletal muscle tissues using anti-FBXW8 antibody. Corresponding FBXW8 RNA-seq data are presented for the same tissues.
Immunocytochemistry/ Immunofluorescence: FBXW8 Antibody [NBP1-84715]

Immunocytochemistry/ Immunofluorescence: FBXW8 Antibody [NBP1-84715]

Immunocytochemistry/Immunofluorescence: FBXW8 Antibody [NBP1-84715] - Staining of human cell line A-431 shows localization to cytosol. Antibody staining is shown in green.
Immunohistochemistry-Paraffin: FBXW8 Antibody [NBP1-84715]

Immunohistochemistry-Paraffin: FBXW8 Antibody [NBP1-84715]

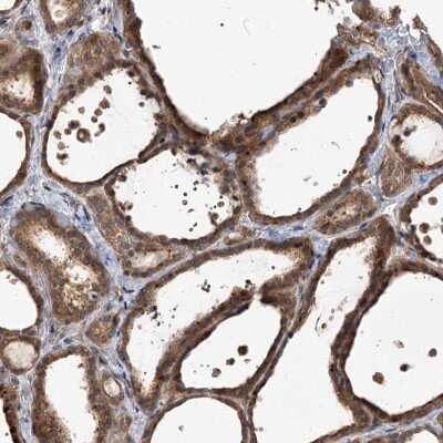
Immunohistochemistry-Paraffin: FBXW8 Antibody [NBP1-84715] - Staining of human thyroid gland shows high expression.

Applications for FBXW8 Antibody - BSA Free

Application
Recommended Usage

Immunocytochemistry/ Immunofluorescence

0.25-2 ug/ml

Immunohistochemistry

1:20 - 1:50

Immunohistochemistry-Paraffin

1:20 - 1:50

Western Blot

0.04-0.4 ug/ml
Application Notes
For IHC-Paraffin, HIER pH 6 retrieval is recommended. ICC/IF Fixation Permeabilization: Use PFA/Triton X-100. IHC, WB reported in the scientific literature (PMID: 25790475).

Formulation, Preparation, and Storage

Purification

Immunogen affinity purified

Formulation

PBS (pH 7.2) and 40% Glycerol

Format

BSA Free

Preservative

0.02% Sodium Azide

Concentration

Concentrations vary lot to lot. See vial label for concentration. If unlisted please contact technical services.

Shipping

The product is shipped with polar packs. Upon receipt, store it immediately at the temperature recommended below.

Stability & Storage

Store at 4C short term. Aliquot and store at -20C long term. Avoid freeze-thaw cycles.

Background: FBXW8

Alternate Names

F-box and WD repeat domain containing 8, F-box only protein 29F-box/WD repeat-containing protein 8, FBW8F-box and WD-40 domain-containing protein 8, FBX29MGC33534, FBXO29, FBXW6FBW6F-box and WD-40 domain protein 8

Gene Symbol

FBXW8

Additional FBXW8 Products

Product Documents for FBXW8 Antibody - BSA Free

Certificate of Analysis

To download a Certificate of Analysis, please enter a lot number in the search box below.

Product Specific Notices for FBXW8 Antibody - BSA Free

This product is for research use only and is not approved for use in humans or in clinical diagnosis. Primary Antibodies are guaranteed for 1 year from date of receipt.

Loading...
Loading...
Loading...
Loading...