Skip to main content

FBXO8 Antibody (OTI3C5)

Novus Biologicals, part of Bio-Techne | Catalog # NBP2-45622

Novus Biologicals, part of Bio-Techne

Key Product Details

Species Reactivity

Human, Mouse, Rat

Applications

Immunohistochemistry, Immunohistochemistry-Paraffin, Western Blot

Label

Unconjugated

Antibody Source

Monoclonal Mouse IgG1 Clone # OTI3C5

Concentration

1 mg/ml

Product Specifications

Immunogen

Human recombinant protein fragment corresponding to amino acids 1-231 of human FBXO8(NP_036312) produced in E.coli.

Reactivity Notes

Please note that this antibody is reactive to Mouse and derived from the same host, Mouse. Mouse-On-Mouse blocking reagent may be needed for IHC and ICC experiments to reduce high background signal. You can find these reagents under catalog numbers PK-2200-NB and MP-2400-NB. Please contact Technical Support if you have any questions.

Clonality

Monoclonal

Host

Mouse

Isotype

IgG1

Theoretical MW

36.9 kDa.
Disclaimer note: The observed molecular weight of the protein may vary from the listed predicted molecular weight due to post translational modifications, post translation cleavages, relative charges, and other experimental factors.

Description

Novus Biologicals Mouse FBXO8 Antibody (OTI3C5) (NBP2-45622) is a monoclonal antibody validated for use in IHC and WB. All Novus Biologicals antibodies are covered by our 100% guarantee.

Scientific Data Images for FBXO8 Antibody (OTI3C5)

Western Blot: FBXO8 Antibody (OTI3C5) [NBP2-45622]

Western Blot: FBXO8 Antibody (OTI3C5) [NBP2-45622]

Western Blot: FBXO8 Antibody (3C5) [NBP2-45622] - Analysis of HEK293T cells were transfected with the pCMV6-ENTRY control (Left lane) or pCMV6-ENTRY FBXO8.
Immunohistochemistry: FBXO8 Antibody (OTI3C5) [NBP2-45622]

Immunohistochemistry: FBXO8 Antibody (OTI3C5) [NBP2-45622]

Immunohistochemistry: FBXO8 Antibody (3C5) [NBP2-45622] - Analysis of Human tonsil tissue. (Heat-induced epitope retrieval by 1 mM EDTA in 10mM Tris, pH8.5, 120C for 3min)
Immunohistochemistry: FBXO8 Antibody (OTI3C5) [NBP2-45622]

Immunohistochemistry: FBXO8 Antibody (OTI3C5) [NBP2-45622]

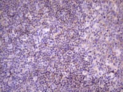
Immunohistochemistry: FBXO8 Antibody (3C5) [NBP2-45622] - Analysis of Human lymph node tissue. (Heat-induced epitope retrieval by 1 mM EDTA in 10mM Tris, pH8.5, 120C for 3min).

Applications for FBXO8 Antibody (OTI3C5)

Application
Recommended Usage

Immunohistochemistry

1:150

Western Blot

1:2000

Formulation, Preparation, and Storage

Purification

Immunogen affinity purified

Formulation

PBS (pH 7.3), 1.0% BSA and 50% Glycerol

Preservative

0.02% Sodium Azide

Concentration

1 mg/ml

Shipping

The product is shipped with polar packs. Upon receipt, store it immediately at the temperature recommended below.

Stability & Storage

Store at -20C. Avoid freeze-thaw cycles.

Background: FBXO8

Alternate Names

F-box only protein 8, F-box protein 8, F-box/SEC7 protein FBS, FBSFBX8F-box protein Fbx8

Gene Symbol

FBXO8

Additional FBXO8 Products

Product Documents for FBXO8 Antibody (OTI3C5)

Certificate of Analysis

To download a Certificate of Analysis, please enter a lot number in the search box below.

Product Specific Notices for FBXO8 Antibody (OTI3C5)

This product is for research use only and is not approved for use in humans or in clinical diagnosis. Primary Antibodies are guaranteed for 1 year from date of receipt.

Loading...
Loading...
Loading...
Loading...