Skip to main content

FBXO41 Antibody - BSA Free

Novus Biologicals, part of Bio-Techne | Catalog # NBP3-46333

Novus Biologicals, part of Bio-Techne
Catalog #
Availability
Size / Price
Qty
Loading...
NBP3-46333

Key Product Details

Species Reactivity

Human, Mouse, Rat

Applications

ELISA, Immunohistochemistry, Immunoprecipitation, Western Blot

Label

Unconjugated

Antibody Source

Polyclonal Rabbit IgG

Format

BSA Free

Concentration

Please see the vial label for concentration. If unlisted please contact technical services.

Product Specifications

Immunogen

F-box protein 41. (Uniprot# Q8TF61)

Clonality

Polyclonal

Host

Rabbit

Isotype

IgG

Theoretical MW

100 kDa.
Disclaimer note: The observed molecular weight of the protein may vary from the listed predicted molecular weight due to post translational modifications, post translation cleavages, relative charges, and other experimental factors.

Description

Novus Biologicals Rabbit FBXO41 Antibody - BSA Free (NBP3-46333) is a polyclonal antibody validated for use in IHC, WB, ELISA and IP. All Novus Biologicals antibodies are covered by our 100% guarantee.

Scientific Data Images for FBXO41 Antibody - BSA Free

FBXO41 Antibody - BSA Free

Immunoprecipitation: FBXO41 Antibody - BSA Free [NBP3-46333] -

Immunoprecipitation: FBXO41 Antibody - BSA Free [NBP3-46333] - IP Result of anti-FBXO41 (IP:, 4ug; Detection: 1:1000) with mouse brain tissue lysate 6000ug.
FBXO41 Antibody - BSA Free

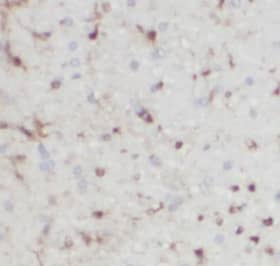
Immunohistochemistry: FBXO41 Antibody - BSA Free [NBP3-46333] -

Immunohistochemistry: FBXO41 Antibody - BSA Free [NBP3-46333] - Immunohistochemistry of paraffin-embedded human brain tissue slide using (FBXO41 Antibody) at dilution of 1:50
FBXO41 Antibody - BSA Free

Western Blot: FBXO41 Antibody - BSA Free [NBP3-46333] -

Western Blot: FBXO41 Antibody - BSA Free [NBP3-46333] - Mouse brain tissue were subjected to SDS PAGE followed by western blot with (FBXO41 Antibody) at dilution of 1:1500

Applications for FBXO41 Antibody - BSA Free

Application
Recommended Usage

Immunohistochemistry

1:20-1:200

Immunoprecipitation

1:500-1:2000

Western Blot

1:500-1:3000

Formulation, Preparation, and Storage

Purification

Immunogen affinity purified

Formulation

PBS, 50% Glycerol, pH (7.3)

Format

BSA Free

Preservative

0.02% Sodium Azide

Concentration

Please see the vial label for concentration. If unlisted please contact technical services.

Shipping

The product is shipped with polar packs. Upon receipt, store it immediately at the temperature recommended below.

Stability & Storage

Store at -20C. Avoid freeze-thaw cycles.

Background: FBXO41

FBXO41, also known as F-Box Only Protein 41, consists of a 875 amino acid isoform that is 94 kDa, and is involved in the recognition of substrates as a part of the SCF-type E3 ubiquitin ligase complex. Research is currently being conducted on FBXO41 and its relation to schizophrenia. FBXO41 interacts with several other proteins, including DISC1 and SKP1, but is not currently linked to any specific pathways or biological processes.

Alternate Names

F-box only protein 41, F-box protein 41

Gene Symbol

FBXO41

Additional FBXO41 Products

Product Documents for FBXO41 Antibody - BSA Free

Certificate of Analysis

To download a Certificate of Analysis, please enter a lot number in the search box below.

Product Specific Notices for FBXO41 Antibody - BSA Free

This product is for research use only and is not approved for use in humans or in clinical diagnosis. Primary Antibodies are guaranteed for 1 year from date of receipt.

Loading...
Loading...
Loading...
Loading...