FARSLA Antibody - BSA Free
Novus Biologicals, part of Bio-Techne | Catalog # NBP2-97761
Conjugate
Catalog #
Key Product Details
Species Reactivity
Human
Applications
Immunocytochemistry/ Immunofluorescence, Immunohistochemistry-Paraffin, Immunoprecipitation, Western Blot
Label
Unconjugated
Antibody Source
Polyclonal Rabbit IgG
Format
BSA Free
Concentration
Please see the vial label for concentration. If unlisted please contact technical services.
Product Specifications
Immunogen
Produced in rabbits immunized with E. coli-derived Human FARSLA fragment.
Clonality
Polyclonal
Host
Rabbit
Isotype
IgG
Description
This antibody can be stored at 2C to 8C for one month without detectable loss of activity. Antibody products are stable for twelve months from date of receipt when stored at -20C to -80C. Avoid repeated freeze-thaw cycles.
Scientific Data Images for FARSLA Antibody - BSA Free
Western Blot: FARSLA Antibody [NBP2-97761]
Western Blot: FARSLA Antibody [NBP2-97761] - Anti-FARSLA rabbit polyclonal antibody at 1:500 dilution. Lane A: U-251 MG Whole Cell Lysate Lane B: NIH-3T3 Whole Cell Lysate Lane C: 293T Whole Cell Lysate Lysates/proteins at 30 ug per lane. Secondary Goat Anti-Rabbit IgG (H+L)/HRP at 1/10000 dilution. Developed using the ECL technique. Performed under reducing conditions. Predicted band size: 58 kDa. Observed band size: 58 kDaImmunohistochemistry-Paraffin: FARSLA Antibody [NBP2-97761]
Immunohistochemistry-Paraffin: FARSLA Antibody [NBP2-97761] - Immunochemical staining of human FARSLA in human kidney with rabbit polyclonal antibody at 1:500 dilution, formalin-fixed paraffin embedded sections.Immunohistochemistry-Paraffin: FARSLA Antibody [NBP2-97761]
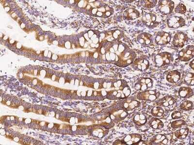
Immunohistochemistry-Paraffin: FARSLA Antibody [NBP2-97761] - Immunochemical staining of human FARSLA in human duodenum with rabbit polyclonal antibody at 1:500 dilution, formalin-fixed paraffin embedded sections.Applications for FARSLA Antibody - BSA Free
Application
Recommended Usage
Immunocytochemistry/ Immunofluorescence
1:100-1:500
Immunohistochemistry-Paraffin
1:200-1:1000
Immunoprecipitation
5-10 uL/mg of lysate
Western Blot
1:500-1:2000
Formulation, Preparation, and Storage
Purification
Antigen and protein A Affinity-purified
Formulation
PBS
Format
BSA Free
Preservative
0.03% Proclin 300
Concentration
Please see the vial label for concentration. If unlisted please contact technical services.
Shipping
The product is shipped with polar packs. Upon receipt, store it immediately at the temperature recommended below.
Stability & Storage
Store at 4C short term. Aliquot and store at -20C long term. Avoid freeze-thaw cycles.
Background: FARSLA
Alternate Names
CML33pheRS, EC 6.1.1.20, FARS, FARSL, FARSLA, FRSA, PheHA, phenylalanine tRNA ligase 1, alpha, cytoplasmic, Phenylalanine--tRNA ligase alpha chain, phenylalanine-tRNA synthetase alpha-subunit, phenylalanine-tRNA synthetase-like, phenylalanine-tRNA synthetase-like, alpha subunit, phenylalanyl-tRNA synthetase alpha chain, phenylalanyl-tRNA synthetase, alpha subunit, phenylalanyl-tRNA synthetase-like, alpha subunit, PheRS
Gene Symbol
FARSA
Additional FARSLA Products
Product Specific Notices for FARSLA Antibody - BSA Free
This product is for research use only and is not approved for use in humans or in clinical diagnosis. Primary Antibodies are guaranteed for 1 year from date of receipt.
Loading...
Loading...
Loading...
Loading...