Skip to main content

FARSB Antibody

Novus Biologicals, part of Bio-Techne | Catalog # NBP2-16430

Novus Biologicals, part of Bio-Techne
Catalog #
Availability
Size / Price
Qty
Loading...
NBP2-16430

Key Product Details

Species Reactivity

Validated:

Human, Mouse, Rat

Predicted:

Bovine (93%), Chimpanzee (100%). Backed by our 100% Guarantee.

Applications

Immunohistochemistry, Immunohistochemistry-Paraffin, Western Blot

Label

Unconjugated

Antibody Source

Polyclonal Rabbit IgG

Concentration

Concentrations vary lot to lot. See vial label for concentration. If unlisted please contact technical services.

Product Specifications

Immunogen

Recombinant protein encompassing a sequence within the C-terminus region of human FARSB. The exact sequence is proprietary.

Reactivity Notes

Immunogen displays the following percentage of sequence identity for non-tested species: Chicken (86%).

Localization

Cytoplasm

Clonality

Polyclonal

Host

Rabbit

Isotype

IgG

Theoretical MW

66 kDa.
Disclaimer note: The observed molecular weight of the protein may vary from the listed predicted molecular weight due to post translational modifications, post translation cleavages, relative charges, and other experimental factors.

Description

Novus Biologicals Rabbit FARSB Antibody (NBP2-16430) is a polyclonal antibody validated for use in IHC and WB. All Novus Biologicals antibodies are covered by our 100% guarantee.

Scientific Data Images for FARSB Antibody

Western Blot: FARSB Antibody [NBP2-16430]

Western Blot: FARSB Antibody [NBP2-16430]

Western Blot: FARSB Antibody [NBP2-16430] - Sample (30 ug of whole cell lysate) A: PC-3 B: U87-MG C: SK-N-SH 7. 5% SDS PAGE gel, diluted at 1:1000.
Immunohistochemistry-Paraffin: FARSB Antibody [NBP2-16430]

Immunohistochemistry-Paraffin: FARSB Antibody [NBP2-16430]

Immunohistochemistry-Paraffin: FARSB Antibody [NBP2-16430] - FARSB antibody detects FARSB protein at cytoplasm in mouse brain by immunohistochemical analysis. Sample: Paraffin-embedded mouse brain. FARSB antibody diluted at 1:500.
Immunohistochemistry-Paraffin: FARSB Antibody [NBP2-16430]

Immunohistochemistry-Paraffin: FARSB Antibody [NBP2-16430]

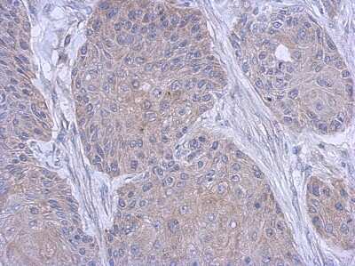
Immunohistochemistry-Paraffin: FARSB Antibody [NBP2-16430] - Immunohistochemical analysis of paraffin-embedded Cal27 xenograft, using antibody at 1:500 dilution.

Applications for FARSB Antibody

Application
Recommended Usage

Immunohistochemistry

1:100-1:1000

Immunohistochemistry-Paraffin

1:100-1:1000

Western Blot

1:500-1:3000

Reviewed Applications

Read 1 review rated 5 using NBP2-16430 in the following applications:

Formulation, Preparation, and Storage

Purification

Antigen Affinity-purified

Formulation

PBS, 1% BSA, 20% Glycerol

Preservative

0.01% Thimerosal

Concentration

Concentrations vary lot to lot. See vial label for concentration. If unlisted please contact technical services.

Shipping

The product is shipped with polar packs. Upon receipt, store it immediately at the temperature recommended below.

Stability & Storage

Aliquot and store at -20C or -80C. Avoid freeze-thaw cycles.

Background: FARSB

This gene encodes a highly conserved enzyme that belongs to the aminoacyl-tRNA synthetase class IIc subfamily. This enzyme comprises the regulatory beta subunits that form a tetramer with two catalytic alpha subunits. In the presence of ATP, this tetramer is responsible for attaching L-phenylalanine to the terminal adenosine of the appropriate tRNA. A pseudogene located on chromosome 10 has been identified. [provided by RefSeq]

Alternate Names

EC 6.1.1, EC 6.1.1.20, FARSLBphenylalanine-tRNA ligase beta chain, FRSBphenylalanine tRNA ligase 1, beta, cytoplasmic, PheHB, Phenylalanine--tRNA ligase beta chain, phenylalanine-tRNA synthetase-like, beta subunit, phenylalanyl-tRNA synthetase beta chain, phenylalanyl-tRNA synthetase beta-subunit, phenylalanyl-tRNA synthetase, beta subunit, phenylalanyl-tRNA synthetase-like, beta subunit, PheRS

Gene Symbol

FARSB

UniProt

Additional FARSB Products

Product Documents for FARSB Antibody

Certificate of Analysis

To download a Certificate of Analysis, please enter a lot number in the search box below.

Product Specific Notices for FARSB Antibody

This product is for research use only and is not approved for use in humans or in clinical diagnosis. Primary Antibodies are guaranteed for 1 year from date of receipt.

Loading...
Loading...
Loading...
Loading...

⚠ WARNING: This product can expose you to chemicals including mercury, which is known to the State of California to cause reproductive toxicity with developmental effects.  For more information go to www.P65Warnings.ca.gov.