Skip to main content

FARSB Antibody (OTI4B3) - Azide and BSA Free

Novus Biologicals, part of Bio-Techne | Catalog # NBP2-71539

Novus Biologicals, part of Bio-Techne

Key Product Details

Species Reactivity

Human, Mouse, Rat

Applications

Immunohistochemistry, Immunohistochemistry-Paraffin, Western Blot

Label

Unconjugated

Antibody Source

Monoclonal Mouse IgG1 Clone # OTI4B3

Format

Azide and BSA Free

Concentration

LYOPH mg/ml

Product Specifications

Immunogen

Full length human recombinant protein of human FARSB (NP_005678) produced in HEK293T cell.

Reactivity Notes

Please note that this antibody is reactive to Mouse and derived from the same host, Mouse. Mouse-On-Mouse blocking reagent may be needed for IHC and ICC experiments to reduce high background signal. You can find these reagents under catalog numbers PK-2200-NB and MP-2400-NB. Please contact Technical Support if you have any questions.

Clonality

Monoclonal

Host

Mouse

Isotype

IgG1

Theoretical MW

65.9 kDa.
Disclaimer note: The observed molecular weight of the protein may vary from the listed predicted molecular weight due to post translational modifications, post translation cleavages, relative charges, and other experimental factors.

Description

Novus Biologicals Mouse FARSB Antibody (OTI4B3) - Azide and BSA Free (NBP2-45577) is a monoclonal antibody validated for use in IHC and WB. All Novus Biologicals antibodies are covered by our 100% guarantee.

Scientific Data Images for FARSB Antibody (OTI4B3) - Azide and BSA Free

Western Blot: FARSB Antibody (OTI4B3)Azide and BSA Free [NBP2-71539]

Western Blot: FARSB Antibody (OTI4B3)Azide and BSA Free [NBP2-71539]

Western Blot: FARSB Antibody (OTI4B3) - Azide and BSA Free [NBP2-71539] - Analysis of extracts (10ug) from 5 different cell lines and 4 human tissue (1: Hela; 2: HepG2; 3: K562; 4: Mcf7; 5: SVT2; 6: Liver; 7: Testis; 8: Brain; 9: Uterus)
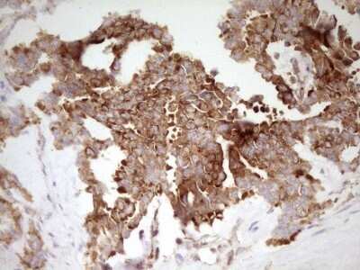
Immunohistochemistry: FARSB Antibody (OTI4B3) - Azide and BSA Free [NBP2-71539]

Immunohistochemistry: FARSB Antibody (OTI4B3) - Azide and BSA Free [NBP2-71539]

Immunohistochemistry: FARSB Antibody (OTI4B3) - Azide and BSA Free [NBP2-71539] - Analysis of Human skin tissue. (Heat-induced epitope retrieval by 1 mM EDTA in 10mM Tris, pH8.5, 120°C for 3min)
Immunohistochemistry: FARSB Antibody (OTI4B3) - Azide and BSA Free [NBP2-71539]

Immunohistochemistry: FARSB Antibody (OTI4B3) - Azide and BSA Free [NBP2-71539]

Immunohistochemistry: FARSB Antibody (OTI4B3) - Azide and BSA Free [NBP2-71539] - Analysis of Human adult brain tissue. (Heat-induced epitope retrieval by 1 mM EDTA in 10mM Tris, pH8.5, 120C for 3min)

Applications for FARSB Antibody (OTI4B3) - Azide and BSA Free

Application
Recommended Usage

Immunohistochemistry

1:150

Formulation, Preparation, and Storage

Purification

Immunogen affinity purified

Reconstitution

we recommend adding 100uL distilled water to a final antibody concentration of about 1 mg/mL. To use this carrier-free antibody for conjugation experiment, we strongly recommend performing another round of desalting process.

Formulation

Lyophilized from PBS (pH 7.3) with 8% Trehalose

Format

Azide and BSA Free

Preservative

No Preservative

Concentration

LYOPH mg/ml

Shipping

The product is shipped with polar packs. Upon receipt, store it immediately at the temperature recommended below.

Stability & Storage

Store at -20C. Avoid freeze-thaw cycles.

Background: FARSB

FARSB encodes a highly conserved enzyme that belongs to the aminoacyl-tRNA synthetase class IIc subfamily. This enzyme comprises the regulatory beta subunits that form a tetramer with two catalytic alpha subunits. In the presence of ATP, this tetramer is responsible for attaching L-phenylalanine to the terminal adenosine of the appropriate tRNA. A pseudogene located on chromosome 10 has been identified.

Alternate Names

EC 6.1.1, EC 6.1.1.20, FARSLBphenylalanine-tRNA ligase beta chain, FRSBphenylalanine tRNA ligase 1, beta, cytoplasmic, PheHB, Phenylalanine--tRNA ligase beta chain, phenylalanine-tRNA synthetase-like, beta subunit, phenylalanyl-tRNA synthetase beta chain, phenylalanyl-tRNA synthetase beta-subunit, phenylalanyl-tRNA synthetase, beta subunit, phenylalanyl-tRNA synthetase-like, beta subunit, PheRS

Gene Symbol

FARSB

Additional FARSB Products

Product Documents for FARSB Antibody (OTI4B3) - Azide and BSA Free

Certificate of Analysis

To download a Certificate of Analysis, please enter a lot number in the search box below.

Product Specific Notices for FARSB Antibody (OTI4B3) - Azide and BSA Free

This product is for research use only and is not approved for use in humans or in clinical diagnosis. Primary Antibodies are guaranteed for 1 year from date of receipt.

Loading...
Loading...
Loading...
Loading...
Loading...