Skip to main content

Key Product Details

Species Reactivity

Human, Mouse, Rat, Avian, Canine, Kangaroo, Primate, Zebrafish

Applications

Knockout Validated, Immunohistochemistry, Immunohistochemistry-Paraffin, Western Blot, Immunoblotting, Flow Cytometry, Immunocytochemistry/ Immunofluorescence, Immunoprecipitation, Chromatin Immunoprecipitation, Chromatin Immunoprecipitation (ChIP), RNA Inhibition, Knockdown Validated

Label

HRP

Antibody Source

Polyclonal Rabbit IgG

Concentration

Please see the vial label for concentration. If unlisted please contact technical services.

Product Specifications

Immunogen

This FANCD2 Antibody [HRP] was developed against human FANCD2 fusion protein (N-terminal fragment). [Swiss-Prot #Q9BXW9]

Reactivity Notes

Primate reactivity reported in literature (PMID: 21421661). Canine reactivity reported in literature (PMID: 27257868). Zebrafish reactivity reported in scientific literature (PMID: 30540754). Rat reactivity reported in multiple pieces of scientific literature. Kangaroo reactivity reported in scientific literature (PMID: 24982423).

Clonality

Polyclonal

Host

Rabbit

Isotype

IgG

Scientific Data Images for FANCD2 Antibody [HRP]

Western Blot: FANCD2 Antibody [HRP] [NB100-182H] - Analysis of FANCD2 (Molecular weight: 164.1 KDa) in HeLa WCE using FANCD2 Antibody [HRP] (lot C).
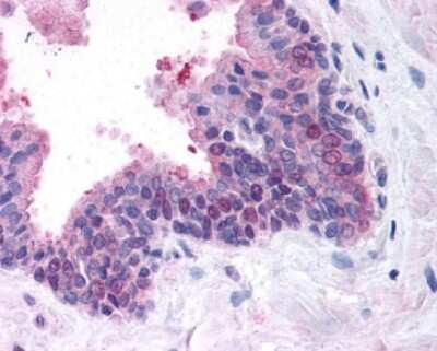
Immunohistochemistry-Paraffin: FANCD2 Antibody [HRP] [NB100-182H] - Staining of human prostate, glandular epithelium FANCD2 Antibody [HRP].

Applications for FANCD2 Antibody [HRP]

Application
Recommended Usage

Chromatin Immunoprecipitation

Optimal dilutions of this antibody should be experimentally determined.

Chromatin Immunoprecipitation (ChIP)

Optimal dilutions of this antibody should be experimentally determined.

Flow Cytometry

Optimal dilutions of this antibody should be experimentally determined.

Immunoblotting

Optimal dilutions of this antibody should be experimentally determined.

Immunocytochemistry/ Immunofluorescence

Optimal dilutions of this antibody should be experimentally determined.

Immunohistochemistry

Optimal dilutions of this antibody should be experimentally determined.

Immunohistochemistry-Paraffin

Optimal dilutions of this antibody should be experimentally determined.

Immunoprecipitation

Optimal dilutions of this antibody should be experimentally determined.

Knockdown Validated

Optimal dilutions of this antibody should be experimentally determined.

Knockout Validated

Optimal dilutions of this antibody should be experimentally determined.

RNA Inhibition

Optimal dilutions of this antibody should be experimentally determined.

Western Blot

Optimal dilutions of this antibody should be experimentally determined.
Application Notes
Optimal dilution of this antibody should be experimentally determined.

Formulation, Preparation, and Storage

Purification

Immunogen affinity purified

Formulation

PBS

Preservative

No Preservative

Concentration

Please see the vial label for concentration. If unlisted please contact technical services.

Shipping

The product is shipped with polar packs. Upon receipt, store it immediately at the temperature recommended below.

Stability & Storage

Store at 4C in the dark.

Background: FANCD2

Fanconi Anemia (FA) is an autosomal-recessive cancer-prone disorder characterized by congenital defects, progressive bone marrow failure, increased chromosomal breakage, defective DNA repair and cellular hypersensitivity to mitomycin C. Fanconi Anemia Complementation Group D (FANCD) is comprised of two separate proteins, FANCD1/BRCA2 and FANCD2. LYRIC/MTDH, an RNA binding protein, regulates expression of FANCD2 and FANCD1 (1). FANCD2 is mapped to chromosome 3p25.3, has a theoretical molecular weight of 166 kDa and is localized in the nucleus. FANCD2 is involved in the regulation of DNA-binding transcription factor activity and DNA stability through accurate and efficient pairing of homologs during meiosis to promote repair of double-strand DNA breaks (2). Ubiquitination is required for FANCD2 to bind to chromatin. In response to DNA damage, FANCD2 is monoubiquinated to result in colocalization with other proteins (BRCA1 and BRCA2) involved in homology-directed DNA repair in the nucleus and is deubiquitinated upon DNA repair completion.

References

1. Bi, J., Areecheewakul, S., Li, Y., Yang, S., Zhang, Y., Ebeid, K., . . . Meng, X. (2019). MTDH/AEG-1 downregulation using pristimerin-loaded nanoparticles inhibits Fanconi anemia proteins and increases sensitivity to platinum-based chemotherapy. Gynecol Oncol, 155(2), 349-358. doi:10.1016/j.ygyno.2019.08.014

2. Balcerek, J., Jiang, J., Li, Y., Jiang, Q., Holdreith, N., Singh, B., . . . Tong, W. (2018). Lnk/Sh2b3 deficiency restores hematopoietic stem cell function and genome integrity in Fancd2 deficient Fanconi anemia. Nat Commun, 9(1), 3915. doi:10.1038/s41467-018-06380-1

Long Name

Fanconi Anemia, Complementation Group D2

Alternate Names

FA4, FACD, FAD, FAD2, FANCD

Gene Symbol

FANCD2

Additional FANCD2 Products

Product Documents for FANCD2 Antibody [HRP]

Certificate of Analysis

To download a Certificate of Analysis, please enter a lot number in the search box below.

Product Specific Notices for FANCD2 Antibody [HRP]

This product is for research use only and is not approved for use in humans or in clinical diagnosis. Primary Antibodies are guaranteed for 1 year from date of receipt.

Loading...
Loading...
Loading...
Loading...
Loading...
Loading...