Skip to main content

FAM105B/OTULIN Antibody - BSA Free

Novus Biologicals, part of Bio-Techne | Catalog # NBP2-14722

Novus Biologicals, part of Bio-Techne
Catalog #
Availability
Size / Price
Qty
Loading...
NBP2-14722-25ul
NBP2-14722

Key Product Details

Validated by

Orthogonal Validation

Species Reactivity

Validated:

Human

Cited:

Human

Predicted:

Mouse (93%). Backed by our 100% Guarantee.

Applications

Validated:

Immunohistochemistry, Immunohistochemistry-Paraffin, Western Blot, Immunocytochemistry/ Immunofluorescence

Cited:

Immunoprecipitation

Label

Unconjugated

Antibody Source

Polyclonal Rabbit IgG

Format

BSA Free

Concentration

Concentrations vary lot to lot. See vial label for concentration. If unlisted please contact technical services.

Product Specifications

Immunogen

This antibody was developed against a recombinant protein corresponding to the amino acids: DEIEKEKELLIHERGASEPRLSVAPEMDIMDYCKKEWRGNTQKATCMKMGYEEVSQKFTSIRRVRGDNYCALRATLFQAMSQAVGLPPWLQDPELMLLP

Reactivity Notes

Immunogen displays the following percentage of sequence identity for non-tested species: Rat (89%).

Clonality

Polyclonal

Host

Rabbit

Isotype

IgG

Scientific Data Images for FAM105B/OTULIN Antibody - BSA Free

Western Blot: FAM105B/OTULIN Antibody [NBP2-14722]

Western Blot: FAM105B/OTULIN Antibody [NBP2-14722]

Western Blot: FAM105B/OTULIN Antibody [NBP2-14722] - Analysis in human cell lines HeLa and MCF-7 using anti-OTULIN antibody. Corresponding OTULIN RNA-seq data are presented for the same cell lines. Loading control: anti-HSP90B1.
Immunocytochemistry/ Immunofluorescence: FAM105B/OTULIN Antibody [NBP2-14722]

Immunocytochemistry/ Immunofluorescence: FAM105B/OTULIN Antibody [NBP2-14722]

Immunocytochemistry/Immunofluorescence: FAM105B/OTULIN Antibody [NBP2-14722] - Immunofluorescent staining of human cell line U-2 OS shows localization to plasma membrane & mitochondria.
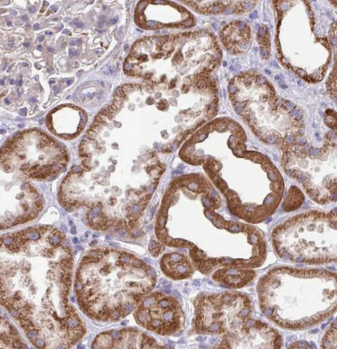
Immunohistochemistry-Paraffin: FAM105B/OTULIN Antibody [NBP2-14722]

Immunohistochemistry-Paraffin: FAM105B/OTULIN Antibody [NBP2-14722]

Immunohistochemistry-Paraffin: FAM105B/OTULIN Antibody [NBP2-14722] - Staining of human kidney shows strong cytoplasmic positivity in cells in tubules.

Applications for FAM105B/OTULIN Antibody - BSA Free

Application
Recommended Usage

Immunocytochemistry/ Immunofluorescence

0.25-2 ug/ml

Immunohistochemistry

1:500 - 1:1000

Immunohistochemistry-Paraffin

1:500 - 1:1000

Western Blot

0.04-0.4 ug/ml
Application Notes
IHC-Paraffin, HIER pH 6 retrieval is recommended. ICC/IF,Fixation Permeabilization: Use PFA/Triton X-100.

Formulation, Preparation, and Storage

Purification

Affinity purified

Formulation

PBS (pH 7.2) and 40% Glycerol

Format

BSA Free

Preservative

0.02% Sodium Azide

Concentration

Concentrations vary lot to lot. See vial label for concentration. If unlisted please contact technical services.

Shipping

The product is shipped with polar packs. Upon receipt, store it immediately at the temperature recommended below.

Stability & Storage

Store at 4C short term. Aliquot and store at -20C long term. Avoid freeze-thaw cycles.

Background: FAM105B/OTULIN

Family with Sequence Similarity 105, Member B (FAM105B), also known as OTULIN, is a 352 amino acid (aa) member of the ovarian tumor protein superfamily with a predicted molecular weight of 40 kDa. The mouse FAM105B/OTULIN ortholog shares 89% aa sequence identity with the human protein. It is a C65 type peptidase that has high specificity for methionine-1-linked linear Ubiquitin chains and contributes to the regulation of NFkB signaling.

Long Name

Family with Sequence Similarity 105, Member B

Alternate Names

OTULIN

Gene Symbol

OTULIN

Additional FAM105B/OTULIN Products

Product Documents for FAM105B/OTULIN Antibody - BSA Free

Certificate of Analysis

To download a Certificate of Analysis, please enter a lot number in the search box below.

Product Specific Notices for FAM105B/OTULIN Antibody - BSA Free

This product is for research use only and is not approved for use in humans or in clinical diagnosis. Primary Antibodies are guaranteed for 1 year from date of receipt.

Loading...
Loading...
Loading...
Loading...