Skip to main content

FAK Antibody (SR46-04)

Novus Biologicals, part of Bio-Techne | Catalog # NBP2-67327

Recombinant Monoclonal Antibody.
Novus Biologicals, part of Bio-Techne
Catalog #
Availability
Size / Price
Qty
Loading...
NBP2-67327

Key Product Details

Validated by

Biological Validation

Species Reactivity

Human, Mouse, Rat

Applications

Immunohistochemistry, Immunohistochemistry-Paraffin, Western Blot, Flow Cytometry, Immunocytochemistry/ Immunofluorescence, Immunoprecipitation

Label

Unconjugated

Antibody Source

Recombinant Monoclonal Rabbit IgG Clone # SR46-04 expressed in HEK293

Concentration

1 mg/ml

Product Specifications

Immunogen

Synthetic peptide within human FAK aa 700-740. (SwissProt: Q05397 Human; SwissProt: P34152 Mouse; SwissProt: O35346 Rat)

Localization

Cytoplasm, Nucleus, Cell membrane, Cell junction.

Clonality

Monoclonal

Host

Rabbit

Isotype

IgG

Description

Novus Biologicals Rabbit FAK Antibody (SR46-04) (NBP2-67327) is a recombinant monoclonal antibody validated for use in IHC, WB, Flow, ICC/IF and IP. Anti-FAK Antibody: Cited in 1 publication. All Novus Biologicals antibodies are covered by our 100% guarantee.

Scientific Data Images for FAK Antibody (SR46-04)

Western Blot: FAK Antibody (SR46-04) [NBP2-67327]

Western Blot: FAK Antibody (SR46-04) [NBP2-67327]

Western Blot: FAK Antibody (SR46-04) [NBP2-67327] - Western blot analysis of FAK on different lysates. Proteins were transferred to a PVDF membrane and blocked with 5% BSA in PBS for 1 hour at room temperature. The primary antibody (1/500) was used in 5% BSA at room temperature for 2 hours. Goat Anti-Rabbi
Immunocytochemistry/ Immunofluorescence: FAK Antibody (SR46-04) [NBP2-67327]

Immunocytochemistry/ Immunofluorescence: FAK Antibody (SR46-04) [NBP2-67327]

Immunocytochemistry/Immunofluorescence: FAK Antibody (SR46-04) [NBP2-67327] - Staining FAK in PANC-1 cells (green). The nuclear counter stain is DAPI (blue). Cells were fixed in paraformaldehyde, permeabilised with 0.25% Triton X100/PBS.
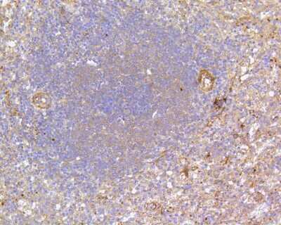
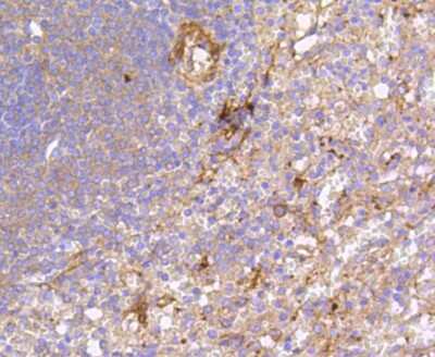
Immunohistochemistry-Paraffin: FAK Antibody (SR46-04) [NBP2-67327]

Immunohistochemistry-Paraffin: FAK Antibody (SR46-04) [NBP2-67327]

Immunohistochemistry-Paraffin: FAK Antibody (SR46-04) [NBP2-67327] - Immunohistochemical analysis of paraffin-embedded mouse spleen tissue using anti-FAK antibody. The section was pre-treated using heat mediated antigen retrieval with Tris-EDTA buffer (pH 8.0-8.4) for 20 minutes. The tissues were blocked in 5% BSA for 30 m

Applications for FAK Antibody (SR46-04)

Application
Recommended Usage

Flow Cytometry

1:50-1:100

Immunocytochemistry/ Immunofluorescence

1:50-1:200

Immunohistochemistry-Paraffin

1:50-1:200

Western Blot

1:500-1:2000

Formulation, Preparation, and Storage

Purification

Protein A purified

Formulation

TBS (pH7.4), 0.05% BSA, 40% Glycerol

Preservative

0.05% Sodium Azide

Concentration

1 mg/ml

Shipping

The product is shipped with polar packs. Upon receipt, store it immediately at the temperature recommended below.

Stability & Storage

Store at 4C short term. Aliquot and store at -20C long term. Avoid freeze-thaw cycles.

Background: FAK

FAK (Focal Adhesion Kinase) is a non-receptor protein tyrosine kinase involved in signal transduction from integrin-enriched focal adhesion sites that mediate cell contact with the extracellular matrix. FAK-enhanced signals have been shown to mediate the survival of anchorage-dependent cells and are critical for efficient cell migration in response to growth factor receptor and integrin stimulation. Elevated expression of FAK in human tumors has been correlated with increased malignancy and invasiveness.

Long Name

Focal adhesion kinase 1

Alternate Names

FADK1, PTK2

Gene Symbol

PTK2

Additional FAK Products

Product Documents for FAK Antibody (SR46-04)

Certificate of Analysis

To download a Certificate of Analysis, please enter a lot number in the search box below.

Product Specific Notices for FAK Antibody (SR46-04)

This product is for research use only and is not approved for use in humans or in clinical diagnosis. Primary Antibodies are guaranteed for 1 year from date of receipt.

Loading...
Loading...
Loading...
Loading...
Loading...