Skip to main content

Factor XII heavy chain Antibody - Azide and BSA Free

Novus Biologicals, part of Bio-Techne | Catalog # NBP2-99473

Novus Biologicals, part of Bio-Techne

Key Product Details

Species Reactivity

Human

Applications

Immunohistochemistry, Immunohistochemistry-Paraffin

Label

Unconjugated

Antibody Source

Polyclonal Rabbit IgG

Format

Azide and BSA Free

Concentration

Please see the vial label for concentration. If unlisted please contact technical services.

Product Specifications

Immunogen

Produced in rabbits immunized with a synthetic peptide corresponding to the N-terminus of the Human Factor XII heavy chain.

Clonality

Polyclonal

Host

Rabbit

Isotype

IgG

Description

This antibody can be stored at 2C to 8C for one month without detectable loss of activity. Antibody products are stable for twelve months from date of receipt when stored at -20C to -80C. Avoid repeated freeze-thaw cycles.

Scientific Data Images for Factor XII heavy chain Antibody - Azide and BSA Free

Immunohistochemistry-Paraffin: Factor XII heavy chain Antibody [NBP2-99473]

Immunohistochemistry-Paraffin: Factor XII heavy chain Antibody [NBP2-99473]

Immunohistochemistry-Paraffin: Factor XII heavy chain Antibody [NBP2-99473] - Immunochemical staining of human Factor XII heavy chain in human liver with rabbit polyclonal antibody at 1:300 dilution, formalin-fixed paraffin embedded sections.
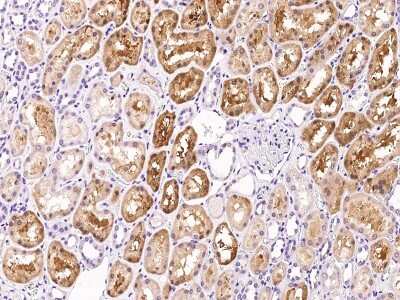
Immunohistochemistry-Paraffin: Factor XII heavy chain Antibody [NBP2-99473]

Immunohistochemistry-Paraffin: Factor XII heavy chain Antibody [NBP2-99473]

Immunohistochemistry-Paraffin: Factor XII heavy chain Antibody [NBP2-99473] - Immunochemical staining of human Factor XII heavy chain in human kidney with rabbit polyclonal antibody at 1:300 dilution, formalin-fixed paraffin embedded sections.

Applications for Factor XII heavy chain Antibody - Azide and BSA Free

Application
Recommended Usage

Immunohistochemistry-Paraffin

1:200-1:1000

Formulation, Preparation, and Storage

Purification

Antigen and protein A Affinity-purified

Formulation

0.2 um filtered solution in PBS

Format

Azide and BSA Free

Preservative

No Preservative

Concentration

Please see the vial label for concentration. If unlisted please contact technical services.

Shipping

The product is shipped with polar packs. Upon receipt, store it immediately at the temperature recommended below.

Stability & Storage

Store at 4C short term. Aliquot and store at -20C long term. Avoid freeze-thaw cycles.

Background: Factor XII heavy chain

The F12 gene encodes a 615 amino acid long, 67 kDA serum glycoprotein coagulation factor XII that is eventually cleaved into four chains. Factor XII functions in the initiation of blood coagulation, fibrinolysis, as well as in the creation of bradykinin and angiotension. F12 participates in cell adhesion plasmin signaling, blood coagulation signaling pathways, MSP-RON signaling, intrinsic prothrombin activation pathways, and blood clotting cascades. It interacts with Genes CD93, MMP13, EPAS1, APP, and KLKB1. Defects in F12 lead to factor Xii deficiency (Hageman factor deficiency) as well as hereditary angioedema type 3 (estrogen-related HAE). F12 is also associated with blood clots, acute myocardial infarction, thrombosis, spastic paraplegia, angiodema, retinal vein occlusion, arterial calcification, heart disease, C1 inhibitor deficiency, hemorrhagic disease, and acalculous cholecystitis.

Alternate Names

beta-factor XIIa part 1, coagulation factor XII, coagulation factor XII (Hageman factor), coagulation factor XIIa heavy chain, coagulation factor XIIa light chain, EC 3.4.21, EC 3.4.21.38, HAE3, HAEX, HAFbeta-factor XIIa part 2, Hageman factor

Gene Symbol

F12

Additional Factor XII heavy chain Products

Product Documents for Factor XII heavy chain Antibody - Azide and BSA Free

Certificate of Analysis

To download a Certificate of Analysis, please enter a lot number in the search box below.

Product Specific Notices for Factor XII heavy chain Antibody - Azide and BSA Free

This product is for research use only and is not approved for use in humans or in clinical diagnosis. Primary Antibodies are guaranteed for 1 year from date of receipt.

Loading...
Loading...
Loading...
Loading...