Skip to main content

FABP4/A-FABP Antibody (001) - Azide and BSA Free

Novus Biologicals, part of Bio-Techne | Catalog # NBP2-90054

Recombinant Monoclonal Antibody
Novus Biologicals, part of Bio-Techne

Key Product Details

Validated by

Biological Validation

Species Reactivity

Human

Applications

Flow Cytometry, Immunohistochemistry, Immunohistochemistry-Paraffin

Label

Unconjugated

Antibody Source

Recombinant Monoclonal Rabbit IgG Clone # 001

Format

Azide and BSA Free

Concentration

Please see the vial label for concentration. If unlisted please contact technical services.

Product Specifications

Immunogen

This antibody was obtained from a rabbit immunized with purified, recombinant Human FABP4/A-FABP (Uniprot#: P15090; Cys2-Ala132,29Ala/Thr).

Specificity

Has cross-reactivity in ELISA with: Mouse FABP3No cross-reactivity in ELISA with: Human FABP6

Clonality

Monoclonal

Host

Rabbit

Isotype

IgG

Description

This antibody can be stored at 2C-8C for one month without detectable loss of activity. Antibody products are stable for twelve months from date of receipt when stored at -20C to -80C. Avoid repeated freeze-thaw cycles.

Scientific Data Images for FABP4/A-FABP Antibody (001) - Azide and BSA Free

Immunohistochemistry-Paraffin: FABP4/A-FABP Antibody (001) [NBP2-90054]

Immunohistochemistry-Paraffin: FABP4/A-FABP Antibody (001) [NBP2-90054]

Immunohistochemistry-Paraffin: FABP4/A-FABP Antibody (001) [NBP2-90054] - Staining of human FABP4 in human appendix with rabbit monoclonal antibody (1:2000).
Flow Cytometry: FABP4/A-FABP Antibody (001) [NBP2-90054]

Flow Cytometry: FABP4/A-FABP Antibody (001) [NBP2-90054]

Flow Cytometry: FABP4/A-FABP Antibody (001) [NBP2-90054] - Analysis of Human FABP4 expression on Hela cells. The cells were treated, stained with purified anti-Human FABP4, then a FITC-conjugated second step antibody. The fluorescence histograms were derived from gated events with the forward and side light-scatter characteristics of intact cells.
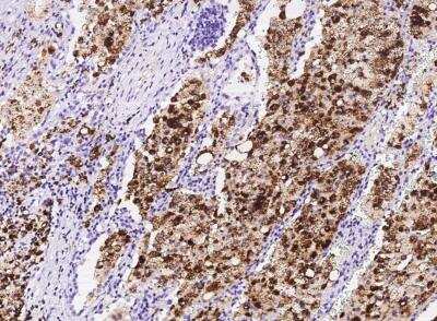
Immunohistochemistry-Paraffin: FABP4/A-FABP Antibody (001) [NBP2-90054]

Immunohistochemistry-Paraffin: FABP4/A-FABP Antibody (001) [NBP2-90054]

Immunohistochemistry-Paraffin: FABP4/A-FABP Antibody (001) [NBP2-90054] - Staining of human FABP4 in human lung cancer with rabbit monoclonal antibody (1:2000).

Applications for FABP4/A-FABP Antibody (001) - Azide and BSA Free

Application
Recommended Usage

Flow Cytometry

1:25-1:100

Immunohistochemistry-Paraffin

1:1000-1:4000

Formulation, Preparation, and Storage

Purification

Protein A purified

Formulation

0.2 um filtered solution in PBS

Format

Azide and BSA Free

Preservative

No Preservative

Concentration

Please see the vial label for concentration. If unlisted please contact technical services.

Shipping

The product is shipped with polar packs. Upon receipt, store it immediately at the temperature recommended below.

Stability & Storage

Store at 4C short term. Aliquot and store at -20C long term. Avoid freeze-thaw cycles.

Background: FABP4/A-FABP

Fatty acid binding protein 4 encodes the fatty acid binding protein found in adipocytes. Fatty acid binding proteins are a family of small, highly conserved, cytoplasmic proteins that bind long-chain fatty acids and other hydrophobic ligands. It is thought that FABPs roles include fatty acid uptake, transport, and metabolism.

Long Name

Fatty Acid-Binding Protein 4

Alternate Names

A-FABP, AFABP, aP2

Gene Symbol

FABP4

Additional FABP4/A-FABP Products

Product Documents for FABP4/A-FABP Antibody (001) - Azide and BSA Free

Certificate of Analysis

To download a Certificate of Analysis, please enter a lot number in the search box below.

Product Specific Notices for FABP4/A-FABP Antibody (001) - Azide and BSA Free

This product is for research use only and is not approved for use in humans or in clinical diagnosis. Primary Antibodies are guaranteed for 1 year from date of receipt.

Loading...
Loading...
Loading...
Loading...
Loading...