Skip to main content

FABP1/L-FABP Antibody

Novus Biologicals, part of Bio-Techne | Catalog # NBP1-32721

Novus Biologicals, part of Bio-Techne
Catalog #
Availability
Size / Price
Qty
Loading...
NBP1-32721

Key Product Details

Species Reactivity

Validated:

Human, Mouse, Rat

Predicted:

Canine (90%). Backed by our 100% Guarantee.

Applications

Immunohistochemistry, Immunohistochemistry-Paraffin, Immunohistochemistry-Frozen, Western Blot

Label

Unconjugated

Antibody Source

Polyclonal Rabbit IgG

Concentration

Concentrations vary lot to lot. See vial label for concentration. If unlisted please contact technical services.

Product Specifications

Immunogen

Full length human FABP1/L-FABP Recombinant protein.

Reactivity Notes

Pig (89%), Bovine (81%).

Localization

Cytoplasm

Marker

Cardiac Marker

Clonality

Polyclonal

Host

Rabbit

Isotype

IgG

Theoretical MW

14 kDa.
Disclaimer note: The observed molecular weight of the protein may vary from the listed predicted molecular weight due to post translational modifications, post translation cleavages, relative charges, and other experimental factors.

Description

Novus Biologicals Rabbit FABP1/L-FABP Antibody (NBP1-32721) is a polyclonal antibody validated for use in IHC and WB. All Novus Biologicals antibodies are covered by our 100% guarantee.

Scientific Data Images for FABP1/L-FABP Antibody

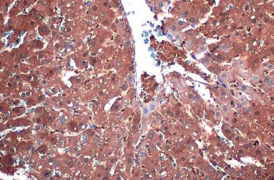
Immunohistochemistry-Paraffin: FABP1/L-FABP Antibody [NBP1-32721]

Immunohistochemistry-Paraffin: FABP1/L-FABP Antibody [NBP1-32721]

Immunohistochemistry-Paraffin: FABP1/L-FABP Antibody [NBP1-32721] - Paraffin-embedded mouse liver. liver FABP antibody [N1C3] diluted at 1:500.
Immunohistochemistry-Frozen: FABP1/L-FABP Antibody [NBP1-32721]

Immunohistochemistry-Frozen: FABP1/L-FABP Antibody [NBP1-32721]

Immunohistochemistry-Frozen: FABP1/L-FABP Antibody [NBP1-32721] - Frozen section of rat kidney. L-FABP antibody [N1C3] diluted at 1:200.
FABP1/L-FABP Antibody

Western Blot: FABP1/L-FABP Antibody [NBP1-32721] -

Western Blot: FABP1/L-FABP Antibody [NBP1-32721] -Various whole cell extracts (30 ug) were separated by 15% SDS-PAGE, and the membrane was blotted with L-FABP antibody [N1C3] diluted at 1:1000. The HRP-conjugated anti-rabbit IgG antibody (NBP2-19301) was used to detect the primary antibody.

Applications for FABP1/L-FABP Antibody

Application
Recommended Usage

Immunohistochemistry

1:100-1:1000

Immunohistochemistry-Frozen

1:100-1:1000

Immunohistochemistry-Paraffin

1:100-1:1000

Western Blot

1:500-1:3000

Formulation, Preparation, and Storage

Purification

Antigen Affinity-purified

Formulation

PBS, 1% BSA, 20% Glycerol

Preservative

0.025% Proclin 300

Concentration

Concentrations vary lot to lot. See vial label for concentration. If unlisted please contact technical services.

Shipping

The product is shipped with polar packs. Upon receipt, store it immediately at the temperature recommended below.

Stability & Storage

Aliquot and store at -20C or -80C. Avoid freeze-thaw cycles.

Background: FABP1/L-FABP

Fatty acid binding proteins (FABP) are small (approximately 13-14 kDa) intracellular proteins with a high degree of tissue specificity. FABPs are a class of cytoplasmic proteins that bind long chain fatty acids. They are abundantly present in various cell types and seem to play an important role in the intracellulair utilization of fatty acids. There are at least six distinct types of FABP, each showing a specific pattern of tissue expression. FABP leaks, due to its small size, rapidly out of ischemically damaged dying cells leading to a rise in serum levels. Liver FABP is a sensitive marker for cell damage of liver cells in vitro and in vivo. Ischemically damaged tissues are characterized histologically by absence (or low presence) of FABP facilitating recognition of such areas. Next to this L FABP is a marker for rapid hepatocyte lysis in vitro (as for example in toxicology assays) and for detection of liver damage during and after transplantation.

Long Name

Fatty Acid-Binding Protein 1

Alternate Names

L-FABP, LFABP

Gene Symbol

FABP1

Additional FABP1/L-FABP Products

Product Documents for FABP1/L-FABP Antibody

Certificate of Analysis

To download a Certificate of Analysis, please enter a lot number in the search box below.

Product Specific Notices for FABP1/L-FABP Antibody

This product is for research use only and is not approved for use in humans or in clinical diagnosis. Primary Antibodies are guaranteed for 1 year from date of receipt.

Loading...
Loading...
Loading...
Loading...

⚠ WARNING: This product can expose you to chemicals including mercury, which is known to the State of California to cause reproductive toxicity with developmental effects.  For more information go to www.P65Warnings.ca.gov.