Skip to main content

F4/80 Antibody (PSH0-85)

Novus Biologicals, part of Bio-Techne | Catalog # NBP3-32323

Recombinant Monoclonal Antibody
Novus Biologicals, part of Bio-Techne
Catalog #
Availability
Size / Price
Qty
Loading...
NBP3-32323

Key Product Details

Species Reactivity

Mouse, Rat

Applications

Immunohistochemistry, Immunohistochemistry-Paraffin, Western Blot

Label

Unconjugated

Antibody Source

Recombinant Monoclonal Rabbit IgG Clone # PSH0-85 expressed in HEK293

Concentration

1 mg/ml

Product Specifications

Immunogen

Recombinant protein within mouse F4/80 aa 1-650 / 931. (Uniprot: Q61549)

Localization

Cell membrane.

Clonality

Monoclonal

Host

Rabbit

Isotype

IgG

Theoretical MW

102 kDa.
Disclaimer note: The observed molecular weight of the protein may vary from the listed predicted molecular weight due to post translational modifications, post translation cleavages, relative charges, and other experimental factors.

Description

Novus Biologicals Rabbit F4/80 Antibody (PSH0-85) (NBP3-32323) is a recombinant monoclonal antibody validated for use in IHC and WB. All Novus Biologicals antibodies are covered by our 100% guarantee.

Scientific Data Images for F4/80 Antibody (PSH0-85)

F4/80 Antibody (PSH0-85)

Western Blot: F4/80 Antibody (PSH0-85) [NBP3-32323]

Western Blot: F4/80 Antibody (PSH0-85) [NBP3-32323] - Western blot analysis of F4/80 on different lysates with Rabbit anti-F4/80 antibody (NBP3-32323) at 1/1,000 dilution.

Lane 1: RAW264.7 cell lysate (no heat) (20 ug/Lane)
Lane 2: L929 cell lysate (no heat) (negative) (20 ug/Lane)
Lane 3: Rat spleen tissue lysate (70 heat) (40 ug/Lane)

Predicted band size: 102 kDa
Observed band size: 160 kDa

Exposure time: 2 minutes;

4-20% SDS-PAGE gel.

Proteins were transferred to a PVDF membrane and blocked with 5% NFDM/TBST for 1 hour at room temperature. The primary antibody (NBP3-32323) at 1/1,000 dilution was used in 5% NFDM/TBST at 4C overnight. Goat Anti-Rabbit IgG - HRP Secondary Antibody at 1:100,000 dilution was used for 1 hour at room temperature.
F4/80 Antibody (PSH0-85)

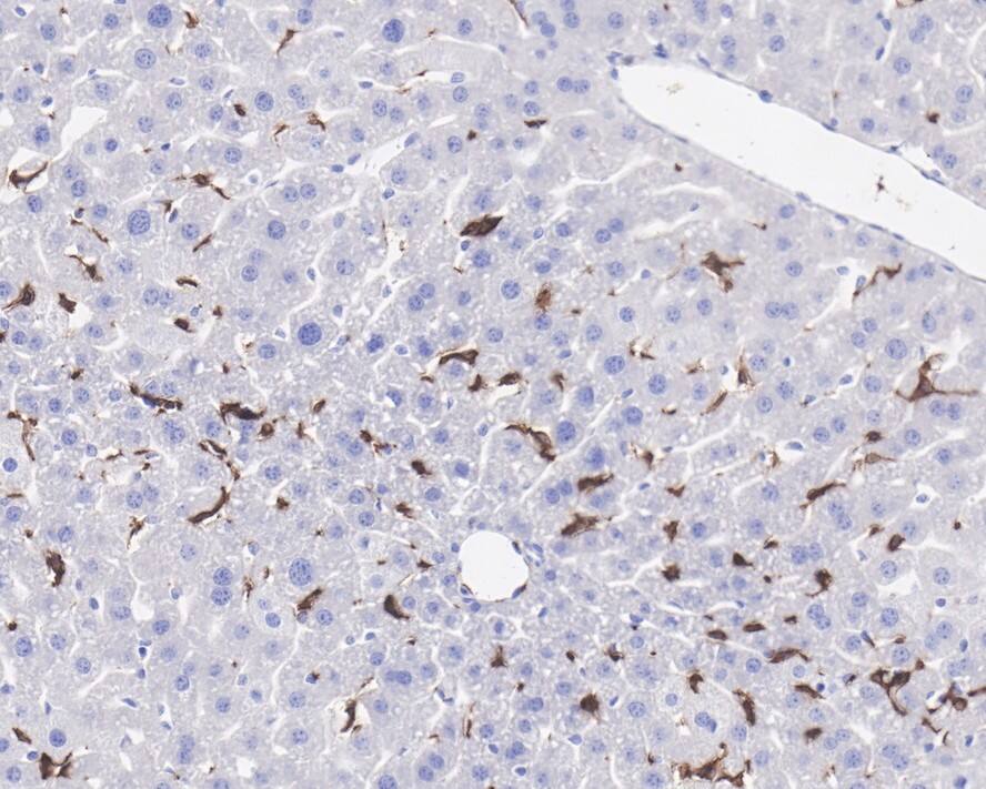
Immunohistochemistry: F4/80 Antibody (PSH0-85) [NBP3-32323]

Immunohistochemistry: F4/80 Antibody (PSH0-85) [NBP3-32323] - Immunohistochemical analysis of paraffin-embedded mouse liver tissue with Rabbit anti-F4/80 antibody (NBP3-32323) at 1/1,000 dilution.

The section was pre-treated using heat mediated antigen retrieval with Tris-EDTA buffer (pH 9.0) for 20 minutes. The tissues were blocked in 1% BSA for 20 minutes at room temperature, washed with ddH2O and PBS, and then probed with the primary antibody (NBP3-32323) at 1/1,000 dilution for 1 hour at room temperature. The detection was performed using an HRP conjugated compact polymer system. DAB was used as the chromogen. Tissues were counterstained with hematoxylin and mounted with DPX.
F4/80 Antibody (PSH0-85)

Immunohistochemistry: F4/80 Antibody (PSH0-85) [NBP3-32323]

Immunohistochemistry: F4/80 Antibody (PSH0-85) [NBP3-32323] - Immunofluorescence analysis of paraffin-embedded mouse liver tissue labeling F4/80 with Rabbit anti-F4/80 antibody (NBP3-32323) at 1/500 dilution.

The section was pre-treated using heat mediated antigen retrieval with Tris-EDTA buffer (pH 9.0) for 20 minutes. The tissues were blocked in 10% negative goat serum for 1 hour at room temperature, washed with PBS, and then probed with the primary antibody (NBP3-32323, green) at 1/500 dilution overnight at 4 ℃, washed with PBS.

Goat Anti-Rabbit IgG H&L (iFluor™ 488) was used as the secondary antibody at 1/1,000 dilution. Nuclei were counterstained with DAPI (blue).

Applications for F4/80 Antibody (PSH0-85)

Application
Recommended Usage

Immunohistochemistry-Paraffin

1:200-1:1000-1:500

Western Blot

1:1000

Formulation, Preparation, and Storage

Purification

Protein A purified

Formulation

PBS (pH7.4), 0.1% BSA and 40% Glycerol

Preservative

0.05% Sodium Azide

Concentration

1 mg/ml

Shipping

The product is shipped with polar packs. Upon receipt, store it immediately at the temperature recommended below.

Stability & Storage

Store at 4C short term. Aliquot and store at -20C long term. Avoid freeze-thaw cycles.

Background: F4/80

F4/80 antigen is a cell surface glycoprotein that is the murine homolog of human EGF-like module-containing mucin-like hormone receptor-like 1 (EMR1) (1,2). Specifically, F4/80 (EMR1) is one of five members belonging to the adhesion G-coupled receptor (ADGRE) subfamily, also known as the epidermal growth factor seven transmembrane (EGF-TM7) receptors (1,2). F4/80 is expressed by the myeloid lineage including in eosinophils, monocytes, macrophages, and myeloid dendritic cells (1,2). The molecular structure of F4/80 contains an EGF-like extracellular domain and a seven transmembrane motif, with a theoretical molecular weight of 160 kDa (1).

Depending on factors such as differentiation, activation, and location, the level of F4/80 expression can vary between cell-types (1,2). For example, peritoneal macrophages are subdivided based on morphology and expression with large peritoneal macrophages having high levels of F4/80 and small peritoneal macrophages having low F4/80 expression (1). Furthermore, splenic macrophages are classified based on location (red pulp, marginal zone, and white pulp) and F4/80 expression level varies within these populations as well; the red pulp macrophages have high levels of F4/80 and CD68 by comparison (1). Originally, the F4/80 monoclonal antibody was generated for a macrophage-specific surface antigen, however F4/80 staining is also observed in other hematopoietic cell populations, thus other immune cell markers should be used in conjunction with F4/80 to distinguish between different populations (1). Though the full extent of F4/80 ligands and biological functions remains elusive, studies have suggested that F4/80 is critical for macrophage-natural killer cell interaction and cytokine release (1,2). Additionally, a study of anterior chamber-associated immune deviation (ACAID) indicated a possible role for F4/80 in the generation of regulatory T cells (1,2).

References

1. Dos Anjos Cassado A. (2017). F4/80 as a Major Macrophage Marker: The Case of the Peritoneum and Spleen. Results and Problems in Cell Differentiation. https://doi.org/10.1007/978-3-319-54090-0_7

2. Hamann, J., Hsiao, C. C., Lee, C. S., Ravichandran, K. S., & Lin, H. H. (2016). Adhesion GPCRs as Modulators of Immune Cell Function. Handbook of Experimental Pharmacology. https://doi.org/10.1007/978-3-319-41523-9_15

Alternate Names

DD7A5-7, Gpf480, Ly71

Gene Symbol

Adgre1

Additional F4/80 Products

Product Documents for F4/80 Antibody (PSH0-85)

Certificate of Analysis

To download a Certificate of Analysis, please enter a lot number in the search box below.

Product Specific Notices for F4/80 Antibody (PSH0-85)

This product is for research use only and is not approved for use in humans or in clinical diagnosis. Primary Antibodies are guaranteed for 1 year from date of receipt.

Loading...
Loading...
Loading...
Loading...
Loading...