EZH2/KMT6 Antibody (CL11945) - Azide and BSA Free
Novus Biologicals, part of Bio-Techne | Catalog # NBP3-44327
Conjugate
Catalog #
Forumulation
Catalog #
Key Product Details
Validated by
Orthogonal Validation
Species Reactivity
Human
Applications
Immunohistochemistry-Paraffin, Immunocytochemistry/ Immunofluorescence
Label
Unconjugated
Antibody Source
Monoclonal Mouse IgG2A Clone # CL11945
Format
Azide and BSA Free
Concentration
LYOPH mg/ml
Product Specifications
Immunogen
This antibody was generated using a synthetic peptide of Q15910, with the exact immunogen sequence remaining proprietary.
Clonality
Monoclonal
Host
Mouse
Isotype
IgG2A
Description
Novus Biologicals Mouse EZH2/KMT6 Antibody (CL11945) - Azide and BSA Free (NBP3-21205) is a monoclonal antibody validated for use in IHC and ICC/IF. All Novus Biologicals antibodies are covered by our 100% guarantee.
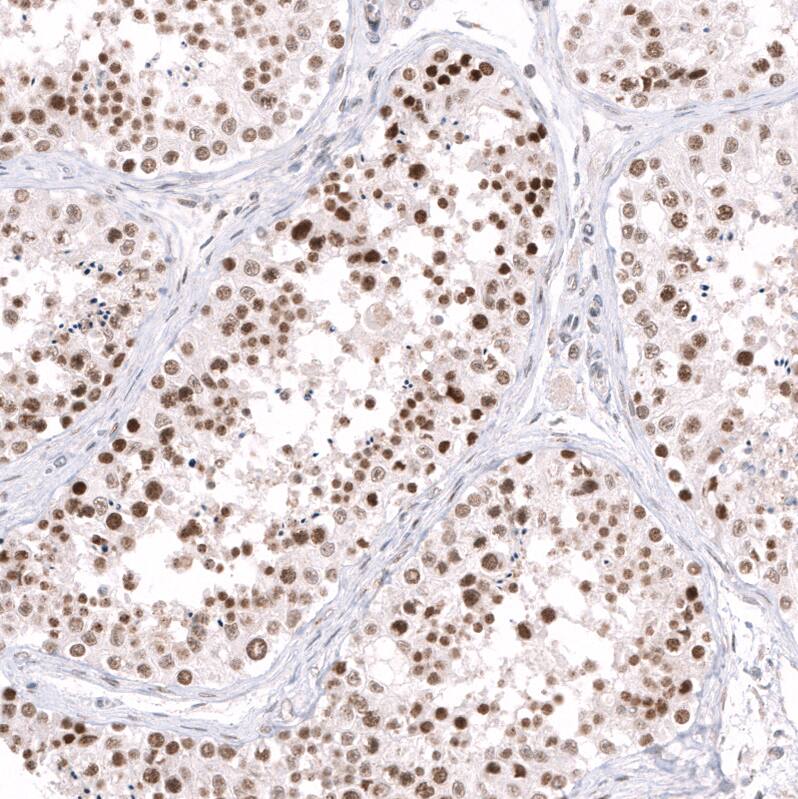
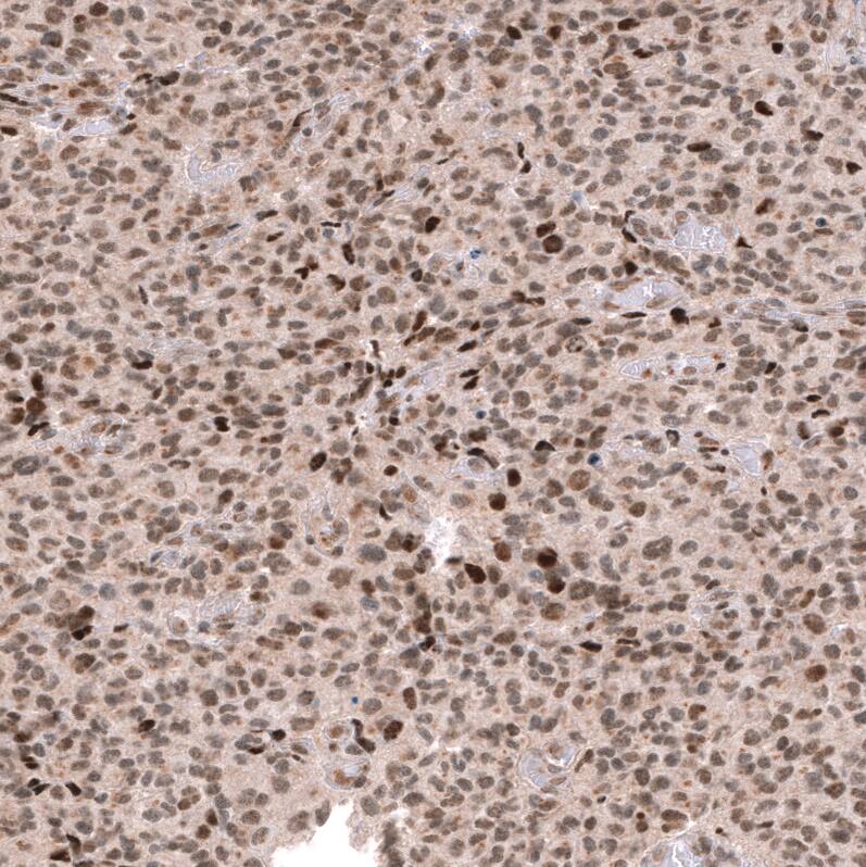
Scientific Data Images for EZH2/KMT6 Antibody (CL11945) - Azide and BSA Free
Immunocytochemistry/ Immunofluorescence: EZH2/KMT6 Antibody [NBP3-44327]
Staining of A-431 cells using the Anti-EZH2/KMT6 monoclonal antibody, showing specific staining in nucleoplasm in green. Microtubule probe is visualized in red.Immunohistochemistry-Paraffin: EZH2/KMT6 Antibody [NBP3-44327]
Staining of human cerebral cortex shows no positivity in neurons as expected.Applications for EZH2/KMT6 Antibody (CL11945) - Azide and BSA Free
Application
Recommended Usage
Immunocytochemistry/ Immunofluorescence
2-10 ug/ml
Immunohistochemistry-Paraffin
1:500 - 1:1000
Application Notes
Immunocytochemistry/ Immunofluorescence/IF Fixation Permeabilization: Use PFA/Triton X-100. For IHC-Paraffin, HIER pH 6 retrieval is recommended.
Formulation, Preparation, and Storage
Purification
Protein A purified
Reconstitution
Centrifuge the vial of lyophilized antibody at 12,000 x g for 20 seconds. Reconstitute by adding sterile, distilled water to achieve a final antibody concentration of 1mg/ml.
Formulation
Lyophilized from a 0.2 um filtered solution in PBS with Trehalose
Format
Azide and BSA Free
Preservative
No Preservative
Concentration
LYOPH mg/ml
Shipping
The product is shipped at ambient temperature. Upon receipt, store it immediately at the temperature recommended below.
Stability & Storage
Store at 4C short term. Aliquot and store at -20C long term. Avoid freeze-thaw cycles.
Background: EZH2
Long Name
Enhancer of Zeste Homolog 2 [Drosophila]
Alternate Names
ENX1, KMT6
Gene Symbol
EZH2
Additional EZH2 Products
Product Documents for EZH2/KMT6 Antibody (CL11945) - Azide and BSA Free
Product Specific Notices for EZH2/KMT6 Antibody (CL11945) - Azide and BSA Free
This product is for research use only and is not approved for use in humans or in clinical diagnosis. Primary Antibodies are guaranteed for 1 year from date of receipt.
Loading...
Loading...
Loading...
Loading...
Loading...