Skip to main content

EZH2/KMT6 Antibody (6G4F4) - BSA Free

Novus Biologicals, part of Bio-Techne | Catalog # NBP2-52463

Novus Biologicals, part of Bio-Techne
Catalog #
Availability
Size / Price
Qty
Loading...
NBP2-52463
NBP2-52463-0.025mg

Key Product Details

Species Reactivity

Human

Applications

Immunohistochemistry, Immunohistochemistry-Paraffin, Western Blot, ELISA, Flow Cytometry, CyTOF-ready

Label

Unconjugated

Antibody Source

Monoclonal Mouse IgG1 Clone # 6G4F4

Format

BSA Free

Concentration

1 mg/ml

Product Specifications

Immunogen

Purified recombinant fragment of human EZH2/KMT6 (AA: 1-194) expressed in E. Coli.

Clonality

Monoclonal

Host

Mouse

Isotype

IgG1

Theoretical MW

85.4 kDa.
Disclaimer note: The observed molecular weight of the protein may vary from the listed predicted molecular weight due to post translational modifications, post translation cleavages, relative charges, and other experimental factors.

Description

Novus Biologicals Mouse EZH2/KMT6 Antibody (6G4F4) - BSA Free (NBP2-52463) is a monoclonal antibody validated for use in IHC, WB, ELISA and Flow. All Novus Biologicals antibodies are covered by our 100% guarantee.

Scientific Data Images for EZH2/KMT6 Antibody (6G4F4) - BSA Free

Western Blot: EZH2/KMT6 Antibody (6G4F4)BSA Free [NBP2-52463]

Western Blot: EZH2/KMT6 Antibody (6G4F4)BSA Free [NBP2-52463]

Western Blot: EZH2/KMT6 Antibody (6G4F4) [NBP2-52463] - Western blot analysis using EZH2 mAb against HEK293 (1) and EZH2 (AA: 1-194)-hIgGFc transfected HEK293 (2) cell lysate.
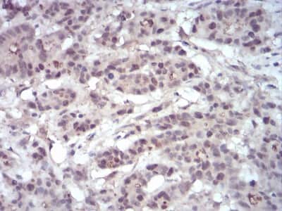
Immunohistochemistry: EZH2/KMT6 Antibody (6G4F4) - BSA Free [NBP2-52463]

Immunohistochemistry: EZH2/KMT6 Antibody (6G4F4) - BSA Free [NBP2-52463]

Immunohistochemistry: EZH2/KMT6 Antibody (6G4F4) [NBP2-52463] - Analysis of paraffin-embedded lung cancer tissues using EZH2 mouse mAb with DAB staining.
Flow Cytometry: EZH2/KMT6 Antibody (6G4F4) - BSA Free [NBP2-52463]

Flow Cytometry: EZH2/KMT6 Antibody (6G4F4) - BSA Free [NBP2-52463]

Flow Cytometry: EZH2/KMT6 Antibody (6G4F4) [NBP2-52463] - Analysis of Hela cells using EZH2 mouse mAb (green) and negative control (red).

Applications for EZH2/KMT6 Antibody (6G4F4) - BSA Free

Application
Recommended Usage

ELISA

1:10000

Flow Cytometry

1:200-1:400

Immunohistochemistry

1:200-1:1000

Immunohistochemistry-Paraffin

1:200-1:1000

Western Blot

1:500-1:2000
Application Notes
This antibody is Cytof ready.

Formulation, Preparation, and Storage

Purification

Protein G purified

Formulation

PBS

Format

BSA Free

Preservative

0.05% Sodium Azide

Concentration

1 mg/ml

Shipping

The product is shipped with polar packs. Upon receipt, store it immediately at the temperature recommended below.

Stability & Storage

Store at 4C short term. Aliquot and store at -20C long term. Avoid freeze-thaw cycles.

Background: EZH2

KMT6 / EZH2 encodes a member of the Polycomb-group (PcG) family. PcG family members form multimeric protein complexes, which are involved in maintaining the transcriptional repressive state of genes over successive cell generations. This protein associates with the embryonic ectoderm development protein, the VAV1 oncoprotein, and the X-linked nuclear protein. This protein may play a role in the hematopoietic and central nervous systems. Two transcript variants encoding distinct isoforms have been identified for this gene. [provided by RefSeq]

Long Name

Enhancer of Zeste Homolog 2 [Drosophila]

Alternate Names

ENX1, KMT6

Gene Symbol

EZH2

Additional EZH2 Products

Product Documents for EZH2/KMT6 Antibody (6G4F4) - BSA Free

Certificate of Analysis

To download a Certificate of Analysis, please enter a lot number in the search box below.

Product Specific Notices for EZH2/KMT6 Antibody (6G4F4) - BSA Free

This product is for research use only and is not approved for use in humans or in clinical diagnosis. Primary Antibodies are guaranteed for 1 year from date of receipt.

Loading...
Loading...
Loading...
Loading...
Loading...