Skip to main content

EYA1 Antibody - Azide and BSA Free

Novus Biologicals, part of Bio-Techne | Catalog # NBP3-04365

Novus Biologicals, part of Bio-Techne
Catalog #
Availability
Size / Price
Qty
Loading...
NBP3-04365-100ul
NBP3-04365-20ul

Key Product Details

Species Reactivity

Human, Mouse, Rat

Applications

Immunohistochemistry, Immunohistochemistry-Paraffin, Western Blot

Label

Unconjugated

Antibody Source

Polyclonal Rabbit IgG

Format

Azide and BSA Free

Concentration

Please see the vial label for concentration. If unlisted please contact technical services.

Product Specifications

Immunogen

A synthetic peptide corresponding to a sequence within amino acids 200-300 of human EYA1 (NP_000494.2). NSLTNSSGFNSSQQDYPSYPSFGQGQYAQYYNSSPYPAHYMTSSNTSPTTPSTNATYQLQEPPSGITSQAVTDPTAEYSTIHSPSTPIKDSDSDRLRRGSD

Clonality

Polyclonal

Host

Rabbit

Isotype

IgG

Description

Novus Biologicals Rabbit EYA1 Antibody - Azide and BSA Free (NBP3-04365) is a polyclonal antibody validated for use in IHC and WB. All Novus Biologicals antibodies are covered by our 100% guarantee.

Scientific Data Images for EYA1 Antibody - Azide and BSA Free

Western Blot: EYA1 AntibodyAzide and BSA Free [NBP3-04365]

Western Blot: EYA1 AntibodyAzide and BSA Free [NBP3-04365]

Western Blot: EYA1 Antibody [NBP3-04365] - Western blot analysis of extracts of various cell lines, using EYA1 Rabbit pAb (NBP3-04365) at 1:1000 dilution. Secondary antibody: HRP Goat Anti-Rabbit IgG (H+L) at 1:10000 dilution. Lysates/proteins: 25ug per lane. Blocking buffer: 3% nonfat dry milk in TBST. Detection: ECL Basic Kit. Exposure time: 90s.
Immunohistochemistry-Paraffin: EYA1 Antibody - Azide and BSA Free [NBP3-04365]

Immunohistochemistry-Paraffin: EYA1 Antibody - Azide and BSA Free [NBP3-04365]

Immunohistochemistry-Paraffin: EYA1 Antibody [NBP3-04365] - Immunohistochemistry of paraffin-embedded Rat brain using EYA1 Rabbit pAb (NBP3-04365) at dilution of 1:100 (40x lens).
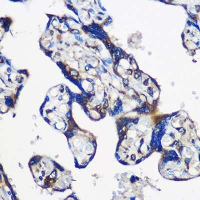
Immunohistochemistry-Paraffin: EYA1 Antibody - Azide and BSA Free [NBP3-04365]

Immunohistochemistry-Paraffin: EYA1 Antibody - Azide and BSA Free [NBP3-04365]

Immunohistochemistry-Paraffin: EYA1 Antibody [NBP3-04365] - Immunohistochemistry of paraffin-embedded Human placenta using EYA1 Rabbit pAb (NBP3-04365) at dilution of 1:100 (40x lens).

Applications for EYA1 Antibody - Azide and BSA Free

Application
Recommended Usage

Immunohistochemistry

1:50-1:200

Western Blot

1:200-1:2000

Formulation, Preparation, and Storage

Purification

Affinity purified

Formulation

PBS (pH 7.3), 50% glycerol

Format

Azide and BSA Free

Preservative

0.01% Thimerosal

Concentration

Please see the vial label for concentration. If unlisted please contact technical services.

Shipping

The product is shipped with polar packs. Upon receipt, store it immediately at the temperature recommended below.

Stability & Storage

Store at -20C. Avoid freeze-thaw cycles.

Background: EYA1

The EYA1 gene encodes an eyes absent homolog 1 protein that exists in three isoforms: isoform 1: 592 amino acids long, 64 kDA; isoform 2: 559 amino acids long, 61 kDA; and isoform 3: 557 amino acids long; 60 kDA. The protein coded by the EYA1 gene functions in the development of the kidney, brancial arches, eyes, and ears. Mutations in the EYA1 gene lead to branchiootorenal dysplasia syndrome, congenital cataracts and ocular anterior segment anomalies, and branchiootic syndrome. The EYA1 gene is also linked to fraser syndrome, microphthalmia, cataracts, enlarged vestibular aqueducts, townes-brocks syndrome, and anophthalmia.

Alternate Names

BOP, BOR, EC 3.1.3.48, eyes absent (Drosophila) homolog 1, eyes absent homolog 1, eyes absent homolog 1 (Drosophila), MGC141875

Gene Symbol

EYA1

Additional EYA1 Products

Product Documents for EYA1 Antibody - Azide and BSA Free

Certificate of Analysis

To download a Certificate of Analysis, please enter a lot number in the search box below.

Product Specific Notices for EYA1 Antibody - Azide and BSA Free

This product is for research use only and is not approved for use in humans or in clinical diagnosis. Primary Antibodies are guaranteed for 1 year from date of receipt.

Loading...
Loading...
Loading...
Loading...

⚠ WARNING: This product can expose you to chemicals including Methotrexate, which is known to the State of California to cause reproductive toxicity with developmental effects. For more information, go to www.P65Warnings.ca.gov