Skip to main content

EXOC7 Antibody

Novus Biologicals, part of Bio-Techne | Catalog # NB100-94901

Novus Biologicals, part of Bio-Techne
Catalog #
Availability
Size / Price
Qty
Loading...
NB100-94901

Key Product Details

Species Reactivity

Validated:

Human

Predicted:

Canine (100%), Mouse (100%), Porcine (100%), Rat (100%). Backed by our 100% Guarantee.

Applications

Immunohistochemistry, Immunohistochemistry-Paraffin, Western Blot, Peptide ELISA

Label

Unconjugated

Antibody Source

Polyclonal Goat IgG

Concentration

0.5 mg/ml

Product Specifications

Immunogen

Peptide with sequence C-DNIKNDPDKEYN corresponding to internal region according to NP_001013861.1, NP_056034.2, NP_001138769.1, NP_001138771.1, NP_001138770.1.

Epitope

C-DNIKNDPDKEYN

Specificity

This antibody is expected to recognise all five reported isoforms (NP_001013861.1; NP_056034.2; NP_001138769.1; NP_001138771.1; NP_001138770.1).

Clonality

Polyclonal

Host

Goat

Isotype

IgG

Description

Novus Biologicals Goat EXOC7 Antibody (NB100-94901) is a polyclonal antibody validated for use in IHC, WB and ELISA. Anti-EXOC7 Antibody: Cited in 1 publication. All Novus Biologicals antibodies are covered by our 100% guarantee.

Scientific Data Images for EXOC7 Antibody

Western Blot: EXOC7 Antibody [NB100-94901]

Western Blot: EXOC7 Antibody [NB100-94901]

Western Blot: EXOC7 Antibody [NB100-94901] - (0.5ug/ml) staining of Human Lung lysate (35ug protein in RIPA buffer). Primary incubation was 1 hour. Detected by chemiluminescence.
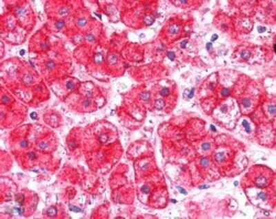
Immunohistochemistry-Paraffin: EXOC7 Antibody [NB100-94901]

Immunohistochemistry-Paraffin: EXOC7 Antibody [NB100-94901]

Immunohistochemistry-Paraffin: EXOC7 Antibody [NB100-94901] - (0.5ug/ml) staining of paraffin embedded Human Pancreas. Steamed antigen retrieval with citrate buffer pH 6, AP-staining.

Applications for EXOC7 Antibody

Application
Recommended Usage

Immunohistochemistry

5 - 10 ug/ml

Immunohistochemistry-Paraffin

5 - 10 ug/ml

Peptide ELISA

Detection limit 1:16000

Western Blot

0.5 - 1.5 ug/ml
Application Notes
WB: Approx. 70 kDa band observed in human lung lysates (calculated MW of 74.7 kDa band according to NP_056034.2). IHC-P: Human adrenal gland shows staining of cytoplasm membranes and cytoplasm of secretory cells in the medulla.

Formulation, Preparation, and Storage

Purification

Immunogen affinity purified

Formulation

Tris saline (20 mM Tris pH 7.3, 150 mM NaCl), 0.5% BSA

Preservative

0.02% Sodium Azide

Concentration

0.5 mg/ml

Shipping

The product is shipped with polar packs. Upon receipt, store it immediately at the temperature recommended below.

Stability & Storage

Store at -20C. Avoid freeze-thaw cycles.

Background: EXOC7

EXOC7 is a component of the exocyst, which is an evolutionarily conserved octameric protein complex essential for exocytosis. The exocyst targets secretory vesicles at specific domains of the plasma membrane for cell surface expansion and protein secretion (Zuo et al., 2006 [PubMed 17086175]).[supplied by OMIM]

Alternate Names

EX070, EXO702-5-3p, Exo70p, EXOC1, exocyst complex component 7, Exocyst complex component Exo70, FLJ40965, FLJ46415, KIAA1067DKFZp686J04253, YJL085W

Entrez Gene IDs

23265 (Human); 53413 (Mouse); 64632 (Rat)

Gene Symbol

EXOC7

Additional EXOC7 Products

Product Documents for EXOC7 Antibody

Certificate of Analysis

To download a Certificate of Analysis, please enter a lot number in the search box below.

Product Specific Notices for EXOC7 Antibody

This product is for research use only and is not approved for use in humans or in clinical diagnosis. Primary Antibodies are guaranteed for 1 year from date of receipt.

Loading...
Loading...
Loading...
Loading...