ETS2 Antibody (OTI2A3)
Novus Biologicals, part of Bio-Techne | Catalog # NBP2-45543
![Western Blot: ETS2 Antibody (OTI2A3) [NBP2-45543] Western Blot: ETS2 Antibody (OTI2A3) [NBP2-45543]](https://resources.bio-techne.com/images/products/ETS2-Antibody-OTI2A3-Western-Blot-NBP2-45543-img0010.jpg) 
      Conjugate
              Catalog #
              
            Forumulation
              Catalog #
              
            Key Product Details
Species Reactivity
                  Human, Mouse, Rat
                
                                                                                        Applications
                  Immunocytochemistry/ Immunofluorescence, Immunohistochemistry, Immunohistochemistry-Paraffin, Western Blot
                
                                                              Label
            Unconjugated
          
        Antibody Source
            Monoclonal Mouse IgG1 Clone # OTI2A3
          
        Concentration
            1 mg/ml
          
        Product Specifications
Immunogen
                          Human recombinant protein fragment corresponding to amino acids 90-349 of human ETS2(NP_005230) produced in E.coli.
                      
        Reactivity Notes
                          Please note that this antibody is reactive to Mouse and derived from the same host, Mouse. Mouse-On-Mouse blocking reagent may be needed for IHC and ICC experiments to reduce high background signal. You can find these reagents under catalog numbers PK-2200-NB and MP-2400-NB. Please contact Technical Support if you have any questions.
                      
        Clonality
                          Monoclonal
                      
        Host
                          Mouse
                      
        Isotype
                          IgG1
                      
        Theoretical MW
                          52.8 kDa.
Disclaimer note: The observed molecular weight of the protein may vary from the listed predicted molecular weight due to post translational modifications, post translation cleavages, relative charges, and other experimental factors.
        Disclaimer note: The observed molecular weight of the protein may vary from the listed predicted molecular weight due to post translational modifications, post translation cleavages, relative charges, and other experimental factors.
Description
                          Novus Biologicals Mouse ETS2 Antibody (OTI2A3) (NBP2-45543) is a monoclonal antibody validated for use in IHC, WB and ICC/IF. All Novus Biologicals antibodies are covered by our 100% guarantee.
                      
        Scientific Data Images for ETS2 Antibody (OTI2A3)
Western Blot: ETS2 Antibody (OTI2A3) [NBP2-45543]
Western Blot: ETS2 Antibody (OTI2A3) [NBP2-45543] - Analysis of HEK293T cells were transfected with the pCMV6-ENTRY control (Left lane) or pCMV6-ENTRY ETS2.Immunohistochemistry: ETS2 Antibody (OTI2A3) [NBP2-45543]
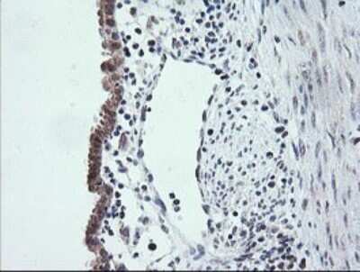
Immunohistochemistry: ETS2 Antibody (OTI2A3) [NBP2-45543] - Analysis of Carcinoma of Human thyroid tissue.Western Blot: ETS2 Antibody (OTI2A3) [NBP2-45543]
Western Blot: ETS2 Antibody (OTI2A3) [NBP2-45543] - Analysis of extracts (10ug) from 2 different cell lines.Applications for ETS2 Antibody (OTI2A3)
          Application
        
        
          Recommended Usage
        
      Immunocytochemistry/ Immunofluorescence
                                                1:100
                                                            
                  Immunohistochemistry
                                                1:150
                                                            
                  Western Blot
                                                1:2000
                                                            
                  Formulation, Preparation, and Storage
Purification
                          Immunogen affinity purified
                      
        Formulation
                          PBS (pH 7.3), 1.0% BSA and 50% Glycerol
                      
        Preservative
                          0.02% Sodium Azide
                      
        Concentration
                          1 mg/ml
                      
        Shipping
                          The product is shipped with polar packs. Upon receipt, store it immediately at the temperature recommended below.
                      
        Stability & Storage
                          Store at -20C. Avoid freeze-thaw cycles.
                      
        Background: ETS2
Alternate Names
            ETS2IT1, human erythroblastosis virus oncogene homolog 210protein C-ets-2, oncogene ETS-2, v-ets avian erythroblastosis virus E2 oncogene homolog 2, v-ets avian erythroblastosis virus E26 oncogene homolog 2, v-ets erythroblastosis virus E26 oncogene homolog 2 (avian)
          
        Gene Symbol
            ETS2
          
        Additional ETS2 Products
Product Documents for ETS2 Antibody (OTI2A3)
Product Specific Notices for ETS2 Antibody (OTI2A3)
This product is for research use only and is not approved for use in humans or in clinical diagnosis. Primary Antibodies are guaranteed for 1 year from date of receipt.
    Loading...
  
    Loading...
  
    Loading...
  
Loading...
![Immunohistochemistry: ETS2 Antibody (OTI2A3) [NBP2-45543] Immunohistochemistry: ETS2 Antibody (OTI2A3) [NBP2-45543]](https://resources.bio-techne.com/images/products/ETS2-Antibody-OTI2A3-Immunohistochemistry-NBP2-45543-img0009.jpg) 
              ![Western Blot: ETS2 Antibody (OTI2A3) [NBP2-45543] Western Blot: ETS2 Antibody (OTI2A3) [NBP2-45543]](https://resources.bio-techne.com/images/products/ETS2-Antibody-OTI2A3-Western-Blot-NBP2-45543-img0011.jpg) 
              ![Immunohistochemistry: ETS2 Antibody (OTI2A3) [NBP2-45543] Immunohistochemistry: ETS2 Antibody (OTI2A3) [NBP2-45543]](https://resources.bio-techne.com/images/products/ETS2-Antibody-OTI2A3-Immunohistochemistry-NBP2-45543-img0002.jpg) 
              ![Immunohistochemistry: ETS2 Antibody (OTI2A3) [NBP2-45543] Immunohistochemistry: ETS2 Antibody (OTI2A3) [NBP2-45543]](https://resources.bio-techne.com/images/products/ETS2-Antibody-OTI2A3-Immunohistochemistry-NBP2-45543-img0003.jpg) 
                  ![Immunohistochemistry: ETS2 Antibody (OTI2A3) [NBP2-45543] Immunohistochemistry: ETS2 Antibody (OTI2A3) [NBP2-45543]](https://resources.bio-techne.com/images/products/ETS2-Antibody-OTI2A3-Immunohistochemistry-NBP2-45543-img0004.jpg) 
                  ![Immunohistochemistry: ETS2 Antibody (OTI2A3) [NBP2-45543] Immunohistochemistry: ETS2 Antibody (OTI2A3) [NBP2-45543]](https://resources.bio-techne.com/images/products/ETS2-Antibody-OTI2A3-Immunohistochemistry-NBP2-45543-img0005.jpg) 
                  ![Immunohistochemistry: ETS2 Antibody (OTI2A3) [NBP2-45543] Immunohistochemistry: ETS2 Antibody (OTI2A3) [NBP2-45543]](https://resources.bio-techne.com/images/products/ETS2-Antibody-OTI2A3-Immunohistochemistry-NBP2-45543-img0006.jpg) 
                  ![Immunohistochemistry: ETS2 Antibody (OTI2A3) [NBP2-45543] Immunohistochemistry: ETS2 Antibody (OTI2A3) [NBP2-45543]](https://resources.bio-techne.com/images/products/ETS2-Antibody-OTI2A3-Immunohistochemistry-NBP2-45543-img0007.jpg) 
                  ![Immunohistochemistry: ETS2 Antibody (OTI2A3) [NBP2-45543] Immunohistochemistry: ETS2 Antibody (OTI2A3) [NBP2-45543]](https://resources.bio-techne.com/images/products/ETS2-Antibody-OTI2A3-Immunohistochemistry-NBP2-45543-img0008.jpg) 
                  ![Immunofluorescence: ETS2 Antibody (OTI2A3) [NBP2-45543] Immunofluorescence: ETS2 Antibody (OTI2A3) [NBP2-45543]](https://resources.bio-techne.com/images/products/ETS2-Antibody-OTI2A3-Immunofluorescence-NBP2-45543-img0001.jpg)