Skip to main content

ERK2 Antibody (2K9N9)

Novus Biologicals, part of Bio-Techne | Catalog # NBP3-15826

Recombinant Monoclonal Antibody
Novus Biologicals, part of Bio-Techne
Catalog #
Availability
Size / Price
Qty
Loading...
NBP3-15826-20ul
NBP3-15826-100ul

Key Product Details

Species Reactivity

Human, Mouse, Rat

Applications

Immunohistochemistry, Immunohistochemistry-Paraffin, Western Blot, ELISA

Label

Unconjugated

Antibody Source

Recombinant Monoclonal Rabbit IgG Clone # 2K9N9 expressed in HEK293

Concentration

Please see the vial label for concentration. If unlisted please contact technical services.

Product Specifications

Immunogen

A synthetic peptide corresponding to a sequence within amino acids 200-300 of human ERK2ERK1/2 (P27361/P28482). FLTEYVATRWYRAPEIMLNSKGYTKSIDIWSVGCILAEMLSNRPIFPGKHYLDQLNHILGILGSPSQEDLNCIINMKARNYLQSLPSKTKVAWAKLFPKSD/LNSKGYTKSIDIWSVGCILAEMLSNRPIFPGKHYLDQLNHILGILGSPSQEDLNCIINLKARNYLLSLPHKNKVPWNRLFPNADSKALDLLDKMLTFNPHK

Clonality

Monoclonal

Host

Rabbit

Isotype

IgG

Theoretical MW

41 kDa.
Disclaimer note: The observed molecular weight of the protein may vary from the listed predicted molecular weight due to post translational modifications, post translation cleavages, relative charges, and other experimental factors.

Description

Novus Biologicals Rabbit ERK2 Antibody (2K9N9) (NBP3-15826) is a recombinant monoclonal antibody validated for use in IHC and WB. All Novus Biologicals antibodies are covered by our 100% guarantee.

Scientific Data Images for ERK2 Antibody (2K9N9)

ERK2 Antibody (2K9N9)

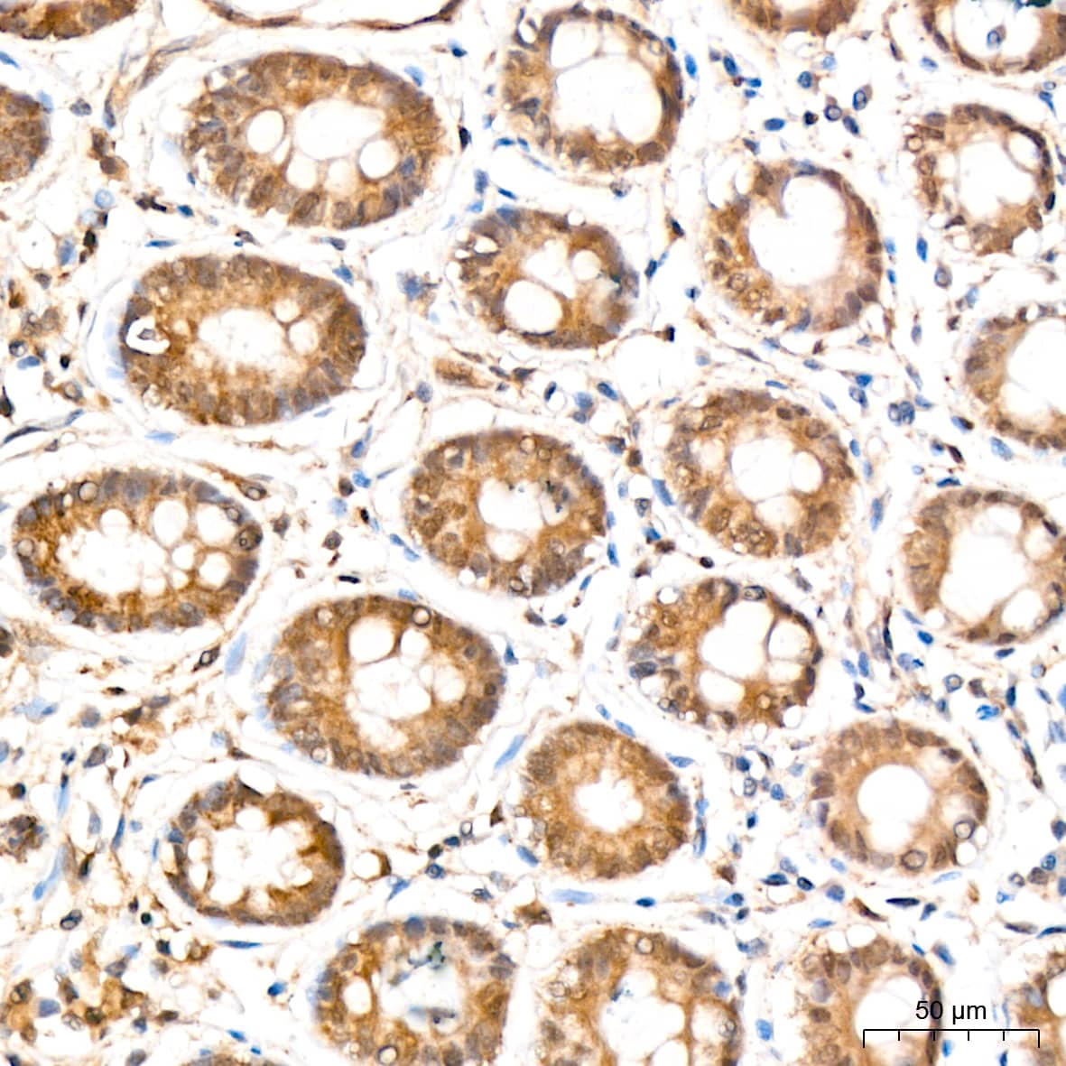
Immunohistochemistry: ERK2 Antibody (2K9N9) [ERK2] -

Immunohistochemistry: ERK2 Antibody (2K9N9) [ERK2] - Immunohistochemistry analysis of paraffin-embedded Mouse intestin tissue using ERK2 Rabbit mAb at a dilution of 1:200 (40x lens). High pressure antigen retrieval performed with 0.01M Citrate Bufferr (pH 6.0) prior to IHC staining.
ERK2 Antibody (2K9N9)

Immunohistochemistry: ERK2 Antibody (2K9N9) [ERK2] -

Immunohistochemistry: ERK2 Antibody (2K9N9) [ERK2] - Immunohistochemistry analysis of paraffin-embedded Rat brain tissue using ERK2 Rabbit mAb at a dilution of 1:200 (40x lens). High pressure antigen retrieval performed with 0.01M Citrate Bufferr (pH 6.0) prior to IHC staining.
ERK2 Antibody (2K9N9)

Immunohistochemistry: ERK2 Antibody (2K9N9) [ERK2] -

Immunohistochemistry: ERK2 Antibody (2K9N9) [ERK2] - Immunohistochemistry analysis of paraffin-embedded Human colon tissue using ERK2 Rabbit mAb at a dilution of 1:200 (40x lens). High pressure antigen retrieval performed with 0.01M Citrate Bufferr (pH 6.0) prior to IHC staining.

Applications for ERK2 Antibody (2K9N9)

Application
Recommended Usage

ELISA

Recommended starting concentration is 1 μg/mL

Immunohistochemistry

1:50 - 1:200

Immunohistochemistry-Paraffin

1:50 - 1:200

Western Blot

1:1000 - 1:4000

Formulation, Preparation, and Storage

Purification

Affinity purified

Formulation

PBS (pH 7.3), 50% glycerol, 0.05% BSA

Preservative

0.02% Sodium Azide

Concentration

Please see the vial label for concentration. If unlisted please contact technical services.

Shipping

The product is shipped with polar packs. Upon receipt, store it immediately at the temperature recommended below.

Stability & Storage

Store at -20C. Avoid freeze-thaw cycles.

Background: ERK2

Extracellular signal regulated kinase 2 (ERK 2) also known as maturation or mitogen

Long Name

Extracellular Signal-regulated Kinase 2

Alternate Names

ERT1, MAPK1, MAPK2, p41mapk, p42mapk, PRKM1, PRKM2

Gene Symbol

MAPK1

Additional ERK2 Products

Product Documents for ERK2 Antibody (2K9N9)

Certificate of Analysis

To download a Certificate of Analysis, please enter a lot number in the search box below.

Product Specific Notices for ERK2 Antibody (2K9N9)

This product is for research use only and is not approved for use in humans or in clinical diagnosis. Primary Antibodies are guaranteed for 1 year from date of receipt.

Loading...
Loading...
Loading...
Loading...